院長の小笠原です。
40代女性。検診で虫歯が見つかった患者さんです。
自覚症状はありませんでした。
お口の中を見てみると、

何やら治療の跡があるのがわかります。
だいぶ昔に治療したようですが、レジンというプラスティック樹脂で埋めてあります。

レジンは経年劣化で変色してくるので、色がくすんでいますし、
何より、歯と接着が剥がれて浮いているのが分かると思います。
つなぎ目がはっきりわかり、つなぎ目に沿って茶色く周囲も色が暗くなっています。
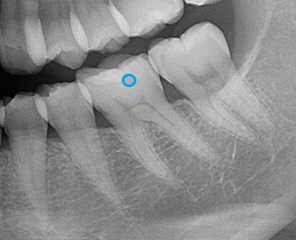
エックス線検査(レントゲン写真)で内部を見てみると、

このような状態です。よくよく見てみると、黒く抜けた影が見えます。

ここですね。
虫歯になると歯の内部が溶けてきます。レントゲン写真で黒い影が出てくるので、虫歯があると分かります。
治療に入りましょう。
早速、古いレジンを削り取って見ます。
すると、

中に茶色い虫歯が広がっているのが分かります。

隣の歯を削らないようにセパレターを入れて丁寧に虫歯だけを削っていきます。
虫歯を染色する「う蝕検知液」を使って虫歯の箇所を染め出します。

茶色く色がついている所の周囲にも虫歯が広がっているのが分かります。
染色しなければ分からなく、取り残してしまう可能性もあります。
しっかりとチェックしながら丁寧に虫歯を取っていきます。

染色されないところまで虫歯を取りきった状態です。
案外大きな穴になっています。
以前治療された状態の、さらに内部に虫歯が広がっています。再治療になるとどんどん大きく歯を削る必要が出てきます。
今回は神経まで進行はありませんでした。
まだ歯の残量が残っていることと、患者さんの希望もあり、今回は同じくレジンを使ってダイレクトボンディングで修復を行います。
自費でダイレクトボンディングを行った場合、同じレジン材料なのですが、保険治療とは施術工程や精度が違い、より長持ちしやすくなります。(※担当医の技術力が大きく影響されます)

歯に装置を取り付けていきます。隣の歯と隔離をして治療を行います。
治療が終了した状態です。

どこを治療したか分からないくらいに綺麗に仕上がっていますね(^^)/

歯の形が元に戻り、色も歯と同じ色に仕上げています。


治療前後の状態です。
経年的な劣化はありますが、歯にレジンを詰める際に、歯と確実に接着させ、磨き上げて仕上げることにより、予後が変わってきます。
歯科治療は技術職です。同じ材料を使ったとしても担当する医師によって仕上がりは全く異なります。
例えば、木材で家具を作ったとしても、メーカーによって値段は違い、より良いものは丁寧確実に仕上がっており、長持ちすることでしょう。
レジンは歯の残量が多く、あまり負担がかからない場所への治療に用いられます。
しかしレジンの材質として、歯よりは柔らかい材料(耐久性が弱い)で、水分を吸収する材料(変色する)ではあります。丁寧に仕上げるとレジンの寿命は延びますが、経年的に劣化はする材料です。
歯の残量が少なく、負担がかかる所にも無理にレジンを用いると、レジンもしくは、残っている歯に負担がかかり、後に大きくやり直さなければならない可能性があります。
保険で白い材料として使われるため、担当医によっては適応範囲外にもレジンを使って治療をされる場合も多くあります。
担当医と相談して、治療材料の選択をしていきましょう。
当院では歯により良い治療を提供しています。
そのため当院での虫歯治療は保険適応外です。
【治療費】
・ダイレクトボンディング
費用:16,500~44,000円 (税込)
(範囲によって決まります)
【施術の副作用やリスク】
治療中または治療後に軽い出血や痛みを伴う場合があります。また治療により歯がしみることもあります。