院長の小笠原です。
今回の患者さんは「前歯をセラミックで綺麗に治したい」という希望の40代女性の患者さんです。
前歯について気になることが何点かあり、
- 若い頃に前歯の神経を取って差し歯にしてある
- 金属のメタルコアが入っていて、外せないと他院で言われた
- 被せ物の歯ぐきがメタルタトゥーのように黒くなっている
- 歯並びが悪く、左の前歯がねじれて傾いている
と問題点が何点かある患者さんでした。
歯並びに関しては、矯正治療の希望はありませんでした。現状で審美的に綺麗な前歯にしていきます。
早速ですが、治療前と治療後のビフォーアフターの写真を見てみましょう。

当院で治療を行い、綺麗な前歯に仕上げました(^^)/
ホワイトニングはしていませんが、全体的に明るい口元に改善しました。
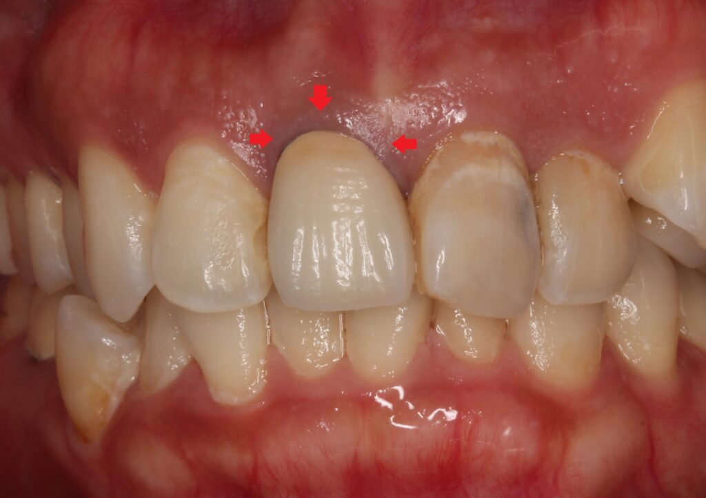
青い矢印の前歯2本をセラミッククラウン(ジルコニアセラミック)で治療してあります。
青い矢印左側は、金属を使ったクラウン(被せ物)がされています。
裏側から見ると金属が見えます。

金属を使った被せ物は、金属の色が歯ぐきに透けるために、
歯ぐきが黒く見えます。

これは患者さんが最初に言っていた「メタルタトゥー」とは違い、被せ物をやり直すことで改善が見込めます。
メタルタトゥーは歯ぐきに金属が入り込んでいるために、被せ物を変えるだけでは改善しません。
また青い矢印の左側の歯は、歯並びの関係でねじれて、歯の向きが変わってしまっています。
こちらはクラウンにより歯の並びと、歯の色を改善させています。
今回患者さんが不安だったのが、
太い金属のメタルコアを取ることが出来るのか?という所でした。
当院では日常的に行っている治療で、安全にメタルコアを外して再治療を行います。(※治療を確実に保証するものではありません)
当院の以前のYotube動画でも説明していますし☟
以前のブログでも紹介しています☟
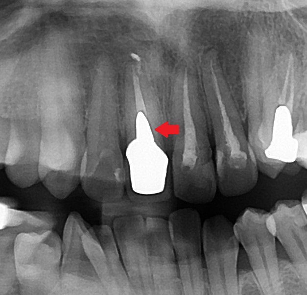
今回の患者さんもエックス線写真で確認してみると、

白く金属が写っていますが、歯の中に差し込んであるメタルコアが見られます。
メタルコアは外して、

ファイバーコアを使って土台を立て直します。

クラウンが入るように整えたら準備は完了です。

後日、歯型を取って、歯を製作する工程に入ります。

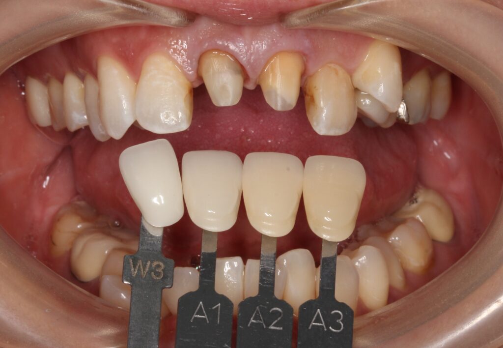
歯の色見本を合わせて、写真で記録しています。
その方によって歯の色は違うために、歯の色見本で歯の色を選んでいきます。
専門の歯科技工士にセラミックを製作してもらい、後日最終的な出来上がったセラミックをセットします。

綺麗に歯がそろいました(^^)/
歯ぐきの黒い色もなくなり、全体的に明るく審美的に仕上がりました。
再度、最初のビフォーアフターの写真です。

患者さんの希望通りに治療が進み、見た目も改善して喜んでいただきました(*^-^*)
【治療期間】4回
【費用】¥424,600(税込)
【リスク】治療中または治療後に軽い出血や痛みを伴う場合があります。
また治療により歯がしみることもあります。
仮歯は強固ではないので取れる可能性や、稀に欠ける場合もあります。
この記事の著者・監修者:院長・歯科医師 小笠原慶一