世田谷・目黒区、自由が丘駅南口徒歩3分の歯医者
デンタルアトリエ自由が丘歯科の院長の小笠原です。
今回は前歯の審美治療の紹介です。
40代女性の患者さんです。
・「かぶせ物をしている歯の歯ぐきが黒く、笑うと見えるので人前で笑えない」
・「何件か歯医者に相談にいったが、治療出来ない、治療しない方が良いと言われた」
を主訴に当院を来院されました。
前歯はお口の中ですぐに見える場所で、その人の印象も左右されます。
コロナ禍が過ぎて、マスクを外すことが一般的となった今では、歯の見た目も重要となります。
歯のコンプレックスで「人前で笑えない」「笑う時に口元を隠している」という方は今でも多くいらっしゃいます。
また歯医者で治療した影響で、歯ぐきが黒く見えるのが残ってしまったとなると残念です。そして別の歯医者に何件か相談に行くも、治療が出来ない、治せないとなると切ないですよね。
当院で出来る限り、希望にこたえられるように治療を行ないました(^^)
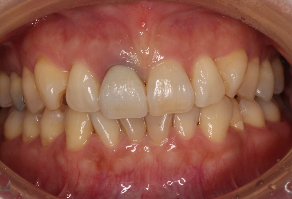
お口の中の状態を見てみましょう。

よくみると左側の前歯が不自然な感じで、歯の根元が暗く見えます。

矢印の歯ですね。
以前の治療で歯の神経を取り、かぶせ物をしたとの事です。
歯の根元が黒くなっています。
歯の根元が黒く見える原因は?
①神経を取った(死んだ)歯が黒く変色してくるため(歯が原因)
②かぶせ物や詰め物に金属が含まれる場合に、金属の色が透けて黒く見える(かぶせ物が原因)
③金属を含む材料を使用した場合、メタルタトゥーといって金属イオンが歯ぐきに沈着が起こる場合がある(歯ぐきが原因)
④上記の混合
が考えられます。
今回のケースは何が原因でしょうか?
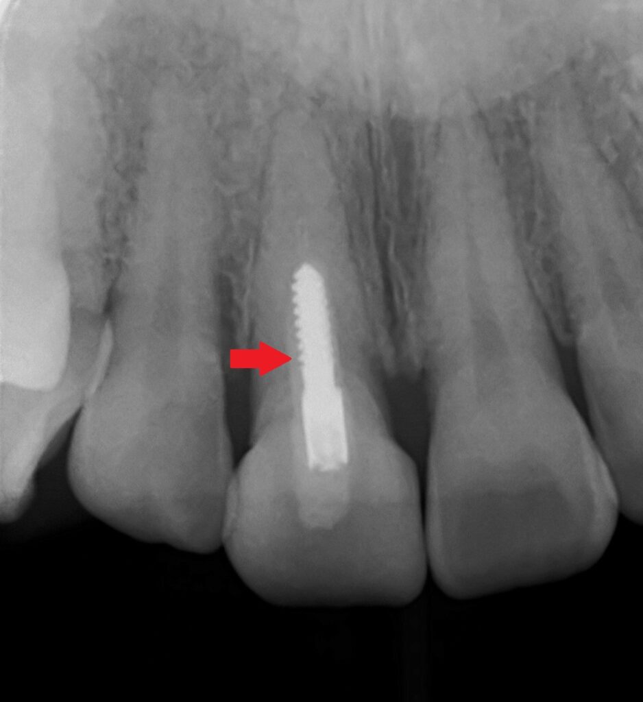
レントゲン写真(エックス線検査)で歯の中の状態を確認してみましょう。

今回の歯の内部が確認できます。
すぐに分かるのが、歯の中にネジ?のような金属が埋め込まれています。
これはスクリューピンと言って、神経を取った歯の土台として使用します。
またかぶせ物(クラウン)は金属を使用していない事も分かるので、黒く見える原因は、かぶせ物の影響やメタルタトゥーでは無い事が分かります。
今回の根元の黒い原因は、かぶせてある歯の内部が変色して黒く見えているのだと推測されます。
先ほどの①の歯が原因で黒く見えている状態ですね。
ですので、
歯の黒さをカバーするように治療が出来れば、綺麗に仕上がります。
また今回の歯は、歯の深くにスクリューピンが埋め込まれていることと、神経を取った歯に根管充填がされていないことが分かります。
根管充填とは、神経を取った場所にお薬を入れて密閉する治療です。
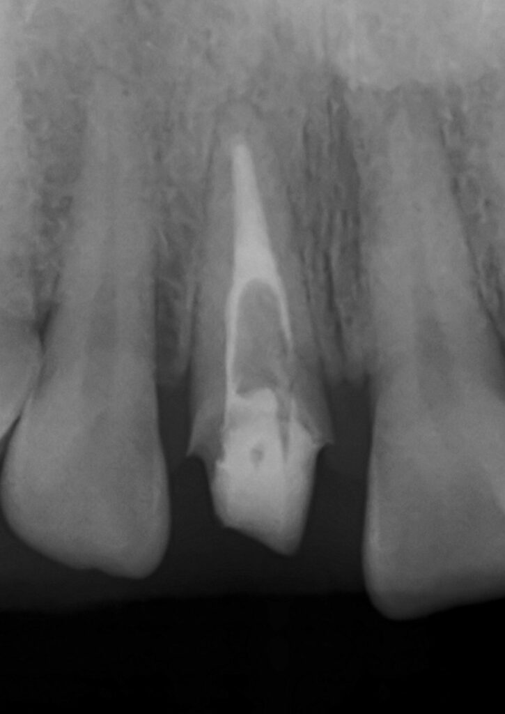
その後当院で根管治療をやり直したエックス線写真です。

歯の根の中に白いお薬が、根の先端に向けて入っているのが見えます。
もちろんスクリューピンも取り除きました。
これが本来ちゃんと神経治療を行なった歯の状態です。
・スクリューピンが深く埋め込まれていたこと
・根管治療がしっかりとなされていないこと
上記の2点から、他院で治療を断られて可能性があります。
まずスクリューピンを取り除くこと。歯の中深くに埋め込まれた金属を取り除く際に、歯が割れてしまうリスクがあります。
そして通報通りの根管治療がされていないために、歯の中の状態が不明で、患者さんの希望通りに治らない可能性もありますので、治療の難易度が高いと言えます。
治療したことで、歯がより悪くなってしまう。という事も多くありますので、再治療を嫌がる歯医者は多くいます。
以前のブログでもメタルコアを外して治療を行なったケースを紹介しています☟
・太いメタルコアを外して、前歯をセラミックで綺麗に
・太いメタルコアが入っているので抜歯?メタルコアを取り外して歯を残す
・審美歯科ホワイトニング。銀歯をセラミックに。60代男性
当院では安全に高い技術の治療を行なうことが出来ます(※成功を保証する訳ではありません)
当院で治療を開始しました。治療を見てみましょう。
まずクラウンを外してみると、

土台が出てきました。歯が黒く変色しています。
これが歯ぐきが黒く見える原因です。
きちんと根管治療がされていないために、歯髄が壊死して血液成分が黒く変色し沈着しています。
変色がより強くなる可能性もありますし、ちゃんと正式な治療を行なう必要がありますので、根管治療を行ないます。
まずはスクリューピンも外していきましょう。

歯の内部に金色に輝くネジが埋め込まれています。

除去しました。
通法通り根管治療を行ないました。先ほどのエックス線写真でお見せした通りです。
後はファイバーコアという金属を使用しない土台を立て直して、
ジルコニアセラミックのクラウンを装着します。
元々の黒く変色してしまった歯の色を考慮して治療を行ないます。
治療前後の状態をお見せします。

歯ぐきの黒い変色が目立たなくなり、治療した歯がどれか分からないくらいになりました。
歯の色や形も審美的にそろえて、天然の歯のように仕上げています。
綺麗に仕上がり、見た目が気にならなくなったと喜んでいただきました(^^)/
原因に応じて、それに対応した治療が必要となります。
メタルタトゥーなら歯ぐきの処置を、歯自体の変色なら歯の処置を。
まずは状態の把握が必要となります。
【治療期間】6回
【費用】¥314,600(税込)
(根管治療を含む)
【リスク】治療中または治療後に軽い出血や痛みを伴う場合があります。
仮歯は強固ではないので取れる可能性や、稀に欠ける場合もあります。