今回は歯の移植の患者さんです。
40代女性
主訴:何度も根管治療をした歯が良くならない。
まず今回の治療内容の説明です。
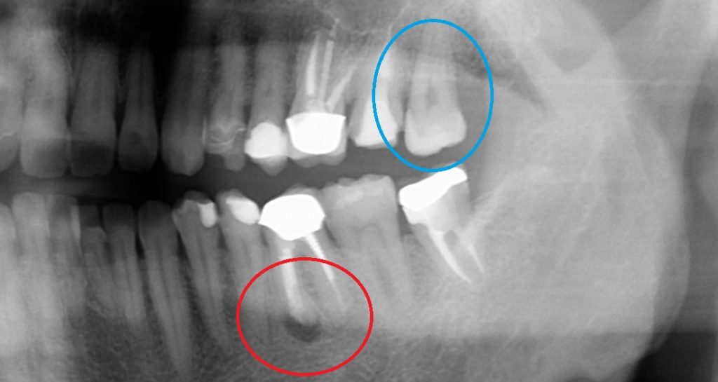
赤い丸の、左下6番目の歯です。
歯の根っこに黒い像が見えます。今回は保存が難しいので、
抜歯した後に、
青い丸の、左上の親知らずを移植します。

初診時のお口の写真です。
赤い丸の歯が、根の先が膿んで、レントゲン写真で黒くなっていました。
かぶせ物の歯なのですが、見た目が変な感じですね。
前の先生が、かぶせ物をしたまま、中を削って、削った穴にレジン(プラスティック樹脂)で埋めてあるためです。
何度も根管治療を行うも、治らず、
外側の歯ぐきを切って、外科的に膿んでいる所を治療したが経過は悪く、当院に来院されました。
根管治療において、外科処置は最終手段です。
担当した先生の腕もありますが、外科処置で治らなければ完治は難しいと言えます。(その方の状態によります)
患者さんと相談して治療方針を決めます。
抜歯、移植を希望されたために、歯牙移植を行いました。
移植の治療内容は割愛します。

【移植・根管治療終了後】
左下の移植、3か月後のレントゲン写真です。
まだレントゲンで黒い影はありますが、黒色が薄くなってきています。
お口の中では揺れはなく、しっかりとくっついています。
歯の内部が白くなっているのは、根管治療をして、材料が入っているからです。
移植した歯は神経が死んでしまうために、根管治療を行います。

歯が生着した後に、セラミックによるかぶせ物をして治療は終了です。

歯牙移植×1
根管治療(大臼歯)×1
セラミッククラウン×1
費用(税別):320,000円
当院では歯牙移植は自由診療です。
治療が完了するまでは保険適応外となります。
保険でも移植治療を行っている医院はあると思いますが、
当院では移植の手術には、時間をかけて丁寧に行い、
その後の根管治療もマイクロスコープを使用して、治療の成功率を上げるために、保険の範囲内では行うことができません。
今回の患者さんは選択しませんでしたが、
インプラントという選択肢もあります。
インプラントの費用は相場で30万~50万円でしょうか。
インプラントで治療することもいいと思いますし、
人工物は入れずに、ご自身の歯を使う方法もいいと思います。
治療はそれぞれメリット・デメリットがあります。
しっかりと相談したうえで治療を決めていかれることが重要です。
歯医者あるあるですが、担当の先生の得意分野にて治療の方向性が決まってしまうことがあります。
歯の保存治療が出来ない先生や、
インプラントが得意な先生は、歯をすぐに抜きたがります。
歯を保存する治療は難易度が高いのですが、インプラントよりも費用が低いのが現状です。抜いてインプラントを入れた方がお金が儲かるのも現状です。
治療の選択肢をしっかりと聞いて決めていきましょう。
大切な歯をしっかり残していきたいですよね(^^)/
【施術の副作用やリスク】
治療中または治療後に出血や痛みや腫れを伴う場合があります。