院長の小笠原です。
40代女性
主訴:できれば歯を抜かずに残してほしい。
・右上7番目の歯
・前の歯医者で根管治療(歯の神経の治療)を行っていたが、痛みが強く、治らないため、某大学病院へ紹介された。大学病院では「歯を抜かないといけない」と言われた。その後、歯医者を探して当院に来院。
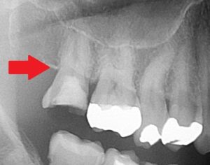
赤い矢印の歯です。
初診時のお口の中は・・・

このような状態です。
根管治療の途中なので、歯の中に白い仮蓋がしてあります。
仮蓋を外してみると・・・

歯の中は黒く、良い状態ではありません(^^;
残っている歯は割れてはいなかったので、
当院で治療を進めました。
治療の流れは、根管治療→支台築造→補綴(ほてつ)処置です。
歯茎の中の虫歯を取り除き、隔壁を立てて根管治療を進めました。
根管治療が完了しました。その後のCT撮影での確認です。

根管治療が終わって、土台まで立てた歯の状態です。

内部を埋めてぶせ物が入るように、小さく形を整えてあります。
きれいな状態ですね!
あとは型取りをして、セラミックの歯を作製し、取り付けます。

一番右側の歯です。
最終的な歯が入り、治療は終了です。
その後特に症状はなく、経過良好です。
自費根管治療(大臼歯)×1本 100,000円
セラミッククラウン×1本 135,000円
費用(税別):235,000円
「根管治療を長くしているが治らない」
「虫歯が大きく、抜かないといけないと言われた」
「保険では抜かないといけない」
など、「抜く(抜歯)」を宣告されても抜かなくて済む場合があります。
しかし歯を保存する治療は、保険が効かない場合が多いです。
それはなぜでしょうか?
・保険治療では、より良い材料が使えません。
→全国どこでも、誰でも同じ医療を受けられる皆保険制度では、最低限の治療内容しか受けられません。日本の財政も厳しく、医療に贅沢にお金を使えません。「良い治療は自己負担でお願いします。」これが現在の国の現状です。
・保険治療では、一人一人の治療に時間がかけられません。
→日本の保険制度では、一人の患者さんにかけられる時間が限られています。
治療内容に費用が決まっており、行政からどんどん費用が下げられている歯科では、沢山の患者さんを診なければ病院経営ができなくなっています。
精度の高い丁寧な治療は時間がかかります。
保険治療を希望した時点で暗黙の制限がかかっています。
歯は一生使う、体の一部です。
歯は無くなってから後悔するものです。
ご自身の歯を守るために良い治療選択ができるといいですね。
【施術の副作用やリスク】
治療中または治療後に軽い出血や痛みを伴う場合があります。また治療により歯がしみることもあります。仮歯は強固ではないので取れる可能性や、稀に欠ける場合もあります。