世田谷目黒区、自由が丘駅南口徒歩3分の歯医者
デンタルアトリエ自由が丘歯科の院長の小笠原です。
今回はマイクロスコープを使った根管治療の患者さんです。
右下奥歯の歯ぐきが腫れて、前の歯医者で、精密な根管治療が必要と言われた。
当院を検索して来院された患者さんです。
お口の中を見てみると、

歯ぐきにできものがあります。
その場所の歯はセラミックのかぶせ物がされており、以前に神経を抜いた歯です。歯の直下にできた、小さい腫れたできものができた場合、ほとんどが歯の根の先に膿がたまっているのが原因です。
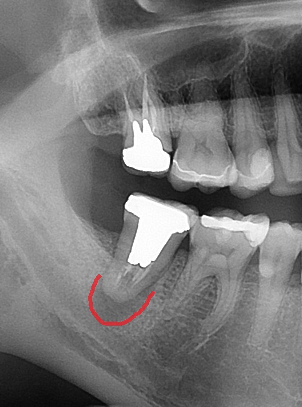
レントゲン写真を撮ってみると、

右下7番目の歯です。根っこの中に白いスジがあり、神経治療がされています。
そして、赤い枠の中が黒く抜けて見えます。膿で顎の骨が溶けています。
CT撮影の画像です。

CT撮影は、様々な方向から歯を立体的に確認することができます。
つまり3Dですね。

輪切り方向から見ても、

正面から見ても、赤枠の場所が黒く抜けています。
CT撮影で、膿んで骨が溶けている範囲が詳細に分かります。
診断名は根尖性歯周炎といい、
歯の根の内部に細菌が繁殖し、膿んでいる状態です。
体調の変化により、歯ぐきの腫れを繰り返します。
再度、根管治療を行い、根管内部を清掃し、細菌を殺菌しなければ、一生治りません。
歯科用顕微鏡(マイクロスコープ)を用いて、精密な根管治療を行っていきます。
☟参考動画です。
https://www.youtube.com/watch?v=0p1pqFUiMg4
根管治療をしました。
根管内の感染物の除去、細菌の殺菌を行います。
治療後、症状が無くなったところで、歯のかぶせ物までを行い、
治療が終了します。
治療2年後の状態です。
その後、特に症状は出ず、全く気にならず生活しているとの事です。

お口の中はセラミックのかぶせ物が入り、
できものは無くなりました。

エックス線写真でも、黒い膿が無くなり、
周りの骨が均一に再生しています。
治療前後の比較です。

しっかりと治療することで、歯の症状がなくなり、
歯の寿命が延びるとともに、今後の不安が無くなることで、
生活の質を上げることができます。
良くなって良かったですね(*^_^*)
【治療費】
・自費根管治療(マイクロエンド・顕微鏡根管治療)
費用:大臼歯 1本110,000円
・ファイバーコア(土台) 22,000円
・セラミッククラウン 148,500円
(将来的に値段が変わる場合があります)
【施術の副作用やリスク】
治療中または治療後に出血や痛みや腫れを伴う場合があります。