根管治療の症例

太いメタルコアが入っているので抜歯?メタルコアを取り外して歯を残す

こんにちは。院長の小笠原です。

今回は太いメタルコアが入っている歯の治療です。
他院で「歯の根の先に膿が溜まっているが、太いメタルコアが入っているので治療ができない。抜いてインプラントにしましょう。」と言われた患者さんです。
歯を抜かずに治療できないかと、当院を来院されました。

症例を通して説明しています。

メタルコアとは?

メタルコアとは何でしょうか?

メタルコアとは、神経を取った歯に使う土台のことです。昔でいう「差し歯」ですね。

メタルコア

メタルコア(金属の土台)が埋め込まれた歯です。

メタルコアレントゲン

レントゲン写真でみると、金属は白く写ります。歯の中に金属の棒が刺さっているのが分かります。

上の写真にもあるように、歯の中に金属の棒が埋め込まれています。神経を取った歯には「コア(土台)」という土台を立ててから、クラウンと呼ばれる人工歯の冠を被せることが一般的に行われます。

神経を取った歯はもろくなり、割れやすくなるために、この土台を入れる治療はほぼ必須となってきます。現在も日常的に行われている治療方法です。

近年ではメタル(金属)ではなく、グラスファイバー素材の「ファイバーコア」と呼ばれる材料がよく用いられます。

メタルコアとファイバーコア比較

参考図ですが、金属は硬い材料なので、歯を痛めやすいという理由からファイバーコアが使われるようになりました。

メタルコアで割れた歯

抜歯された歯。メタルコアの影響で歯が割れてしまっている。

30年以上前から使われていメタるコアです。今現在でも保険適応で使われる治療方法です。

メタルコアはダメなのか?

誤解してはいけないのが、メタルコアが入っているから割れるわけではありません。
※ファイバーコアが入っている歯でも割れることは多くあります。
上手な先生が行うと、メタルコアで何十年も問題ないケースもありますし、
下手な先生が行うと、ファイバーコアで数年で歯が割れることもあります。

施術する先生の技量も大きく関係しますが、それ以上に、
あくまで歯が割れるのは、その方の嚙み合わせであったり、噛む力の強さ、または施術不良や、その後の虫歯トラブルなどによって割れる可能性が出てきます。

太いメタルコアが入っている症例

今回の症例に戻りましょう。
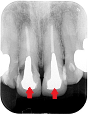
患者さんのレントゲン写真(エックス線検査)です。

太いメタルコア

赤い矢印が太いメタルコアが入っている歯です。歯の輪郭を線で書いてありますが、白く写るコアがめいっぱいに入っています。
青い矢印の歯にはスクリューポストというネジでコアが入っています。

メタルコアCT画像
メタルコアCT画像

CT撮影で見るとこのような状態です。

メタルコアの輪郭

赤は歯の輪郭で、青がメタルコアの輪郭です。
歯の幅の7割くらいのメタルコアが入り込んでいます。

メタルコア先の膿

そして根の先には膿が溜まっている像が認められます。(赤枠)

根の先の膿の治療をするには、根管治療が必要となります。
根管治療をするためにはメタルコアを外さなければなりません。

メタルコアを取る際に注意することがあります。それは・・・

「歯が割れる可能性がある」

ということです。
メタルコアの歯の破折については先ほどお話ししました。歯は割れてしまうと抜歯となります。

メタルコア=壊れない 歯=壊れる

ということが物理的に起こります。無理に楔のように歯に埋め込んだメタルコアを取ろうとすると、歯が割れてしまうことがあります。治療をしたために、歯が割れるということですね。

ですので、他院の担当医も「治療ができないので抜いてインプラントにしましょう」と最終宣告をしているのですね。

当院ではできる限り歯にダメージを与えないようにメタルコアを取る治療をしています。
治療に移っていきましょう。

患者さんに施術リスクをお話しした上で治療を開始します。
まずクラウンの被せ物を外します。
被せ物を外すとメタルコアが出てきました。

メタルコア
メタルコア

大きなメタルコアがしっかりと入っていますね。
こちらを安全に外すには技術的な腕が必要になります。出来ない先生は取ることはできません。

こちらが外した状態です。

メタルコア除去

メタルコアが刺さっていた残りの歯が見えます。汚れも入り込んでいますので綺麗にしていきましょう。
よく見てみると、

メタルコア除去後

歯は無事ですね。割れている感じもありません。
一部、う蝕検知液に染まる虫歯も見られます。

綺麗に整えてみると、

形成

綺麗になりましたね。まだまだ歯は抜く必要はなく無事です。

治療ができない先生は安易に「抜いてインプラントにしましょう」と言います。インプラント治療は根管治療に比べ通院も少なく、治療時間も少なく、歯医者は儲かります。
歯は残そうとすればするほど治療に時間がかかりますし、腕も必要となります。費用はインプラント程もらえません。
なんとも言えませんね(+_+)
大々的にインプラント治療の広告が多いわけです。

患者さん自身で、自分の歯の価値を考える必要があります。

除去したメタルコアです。

除去したメタルコア
除去したメタルコア

太いメタルコアが入っていましたね。刺さっていた部分は感染、腐食、酸化して真っ黒になっています。
無事とれてよかったですね(^^)

そして通常通り根管治療をすることで、歯を残して治療を終えることができます。

隔壁

隔壁という処置。残っている歯に壁を立てて根管治療ができるように補強します。

【隔壁を立てないと根管治療は失敗します】



根管治療は通院2回で終わりました。
根管充填といい、お薬で根管を密閉します。

根管治療レントゲン

根の先まで清掃消毒を行い、お薬を入れて密閉しています。

後は、土台を立てて、クラウンをセットすると治療は終わります。
今回はファイバーコアで土台を立て直します。

ファイバーコア

グラスファイバーの心棒。ファイバーコアが埋め固められています。

形成

形を整えてクラウンがセットできるように仕上げます。

歯型を取り、セラミッククラウンを製作します。

そして後日セラミッククラウンがセットされた状態です。

セラミッククラウンセット

どこを治療したか分からないくらいに綺麗に仕上がりましたね(^^)

セラミッククラウン

別の角度から見ても綺麗に歯が仕上がっています。

歯は抜かずに無事治療が終わりました。

《まとめ》

昔の治療では大きなコアを入れることが主流であったため、現在でもお口の中に残存している方も多くいらっしゃいます。

大きなメタルコアを除去することは難易度の高い治療です。成功を確約することはできませんが、出来る限り歯を痛めないように治療をすることはできます。まずは相談してみてはいかがでしょうか?
太いメタルコアの他の症例

歯医者さんによっては「状態の悪い歯=抜歯」とすぐに診断される場合もあります。すべてが悪いわけではありませんが、出来る限りご自身の歯を治療していくことが大切なこととも思います。
担当医の腕によって、出来る出来ないに違いがあるのが現状です。



当院では患者さんの歯を出来る限り抜かないように大切に治療を行っています。
お気軽にご相談ください。

【治療費】(税込)
 ・コア除去+隔壁処置料:8,800円
 ・根管治療マイクロエンド(小臼歯):110,000円
 ・ファイバーコア:22,000円
 ・セラミッククラウン:148,500円
 (+別途型取り代がかかります)
 ※この記事記載時の料金です。

ご相談をお気軽にお問い合わせください。

【施術の副作用やリスク】
治療中または治療後に出血や痛みや腫れを伴う場合があります。
メタルコア除去には破折リスクを伴います。

ご予約・お問合せ

dentalatelierロゴ

デンタルアトリエ自由が丘歯科

03-6715-6603
平日9:30-13:00 / 14:30-18:00 9:30-13:00 / 14:30-17:00 水日祝休診

〒158-0083
東京都世田谷区奥沢5丁目30−8
アプロード自由が丘 2階

診療時間
【水日祝】休診
【土】は17時まで

電車電車でお越しの場合

東急東横線・大井町線
「自由が丘駅」南口or北口(正面口)
より徒歩3分

お車お車でお越しの場合

  • 環七通りからは、柿の木坂陸橋を右左折し、目黒通り⇒自由通りへ、or南千束(長原陸橋)を右左折し、中原街道⇒自由通りへ
  • 環八通りからは、等々力不動前(等々力不動陸橋)を右左折し等々力通りへ、o玉川田園都市を右左折し学園通りへ

※駐車場はございませんので、自由が丘駅周辺の有料駐車場をご利用ください