根管治療の症例

  • Before
    No Image

    根管治療をしているが治らない。当院で治しました。治療動画です②

  • Before
    No Image

    根管治療をしているが治らない。当院で治しました。治療動画です①

  • Before
    After

    他院で神経を残してもらったが痛みが続く。再治療の治療動画を追加しました②

  • Before
    No Image

    根管治療で何か月も歯医者に通っているが、治らない。根管治療の動画です②

  • Before
    After

    根管治療で何か月も歯医者に通っているが、治らない。根管治療の動画です①

  • Before
    After

    以前治療した歯の違和感。根管治療やり直し。30代女性。

  • Before
    After

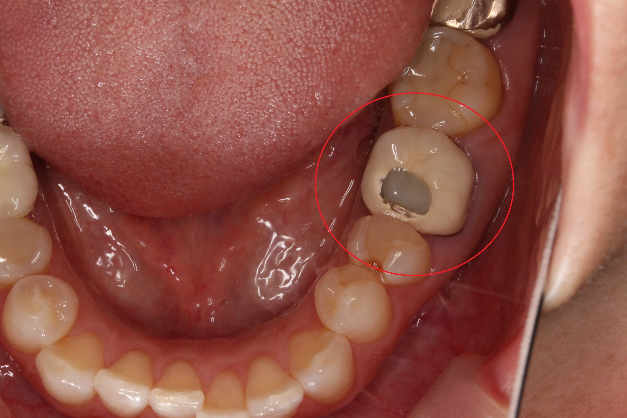
    歯ぐきの腫れ。専門的な根管治療が必要。40代女性。

  • Before
    After

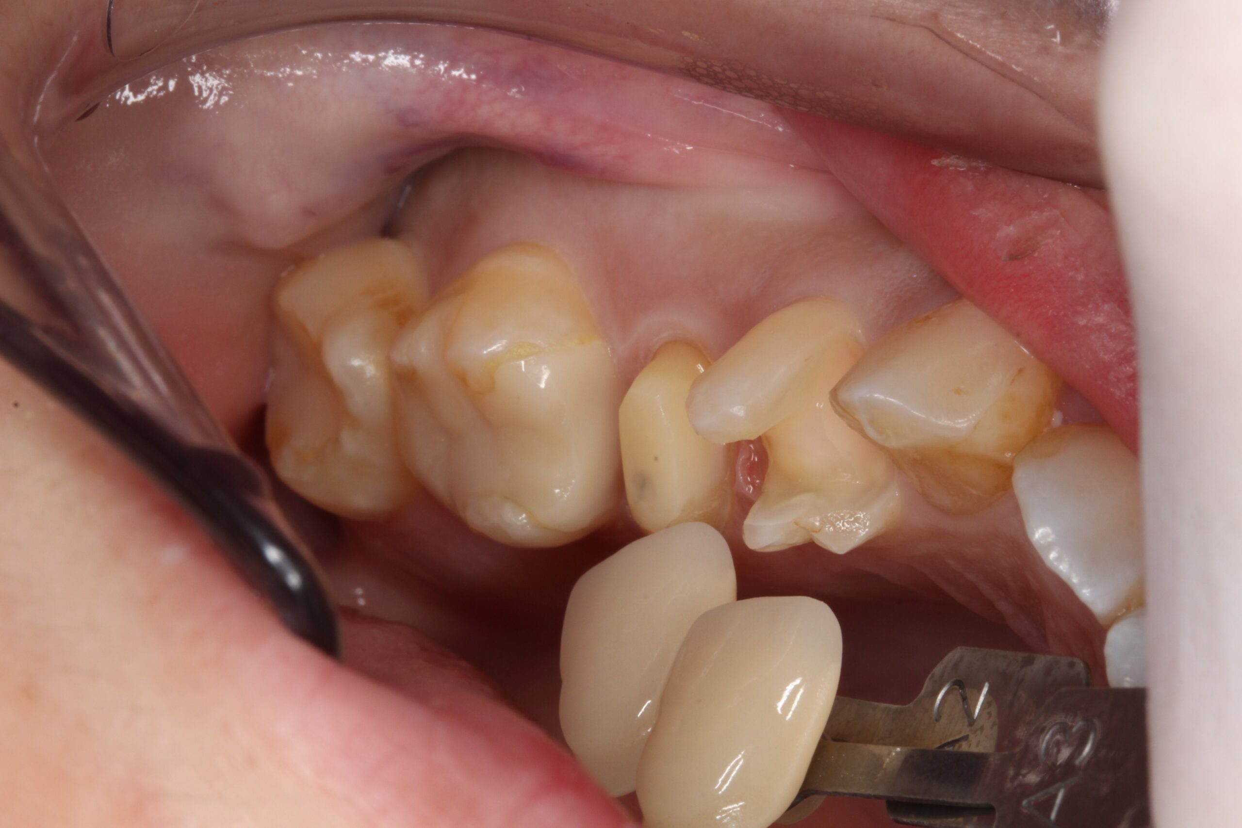
    30代女性 根管治療と虫歯治療を。その②

  • Before
    After

    30代女性 根管治療と虫歯治療を。その①

  • Before
    After

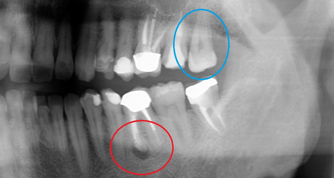
    30代女性 歯に違和感。神経死んでる。根管治療。

  • Before
    After

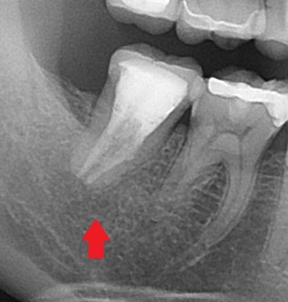
    40代女性 根の先に膿 根管治療

  • Before
    After

    「歯を抜かないといけない」と言われたが、当院で抜かずに終えました。

ご予約・お問合せ

dentalatelierロゴ

デンタルアトリエ自由が丘歯科

03-6715-6603
平日9:30-13:00 / 14:30-18:00 9:30-13:00 / 14:30-17:00 水日祝休診

〒158-0083
東京都世田谷区奥沢5丁目30−8
アプロード自由が丘 2階

診療時間
【水日祝】休診
【土】は17時まで

電車電車でお越しの場合

東急東横線・大井町線
「自由が丘駅」南口or北口(正面口)
より徒歩3分

お車お車でお越しの場合

  • 環七通りからは、柿の木坂陸橋を右左折し、目黒通り⇒自由通りへ、or南千束(長原陸橋)を右左折し、中原街道⇒自由通りへ
  • 環八通りからは、等々力不動前(等々力不動陸橋)を右左折し等々力通りへ、o玉川田園都市を右左折し学園通りへ

※駐車場はございませんので、自由が丘駅周辺の有料駐車場をご利用ください