院長の小笠原です。
今回は親知らず抜歯の症例についてお話しします。
20代女性、親知らずの抜歯希望の患者さんです。

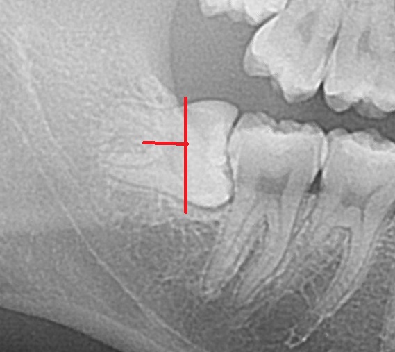
右下の親知らずで、横向きに生えています。
水平埋伏智歯と呼ばれる歯です。
親知らずは将来的に悪さをする恐れがあるので抜いておくことを推奨します。
抜く抜かないなど、親知らずについては、以前の記事をご参考にしてください。
☟
https://dental-atelier-jiyugaoka.com/cases/1024/

お口の中の写真です。
赤丸で囲まれた歯が親知らずです。歯の頭の部分が出ていますね。

横向きの親知らずは、歯を分割して取り出します。
赤線のように歯を切って、取り出します。
治療中は局所麻酔をして、痛みがでないようにします。
治療時間20分程度
抜けた歯です。
今回の親知らずは根が曲がっていたので、
抜くのが難しい歯でした。

抜けた根っこの部分です。
根は2本あり、

2つに割りました

矢印の方向に根の先が90度曲がっています。
顎の骨の中で引っかかるので、根が曲がった歯(弯曲根)は
治療の難易度が高くなります。
治療後、痛みは痛み止めでコントロール可能。
腫れは、気持ち腫れたかな?くらいとの事でした。
お疲れ様でした(^-^)
デンタルアトリエでは、
前の歯医者で抜歯できず大学病院など紹介されたが、
そちらには行かず当院に来院される方もいます(^^;
丁寧で安全な抜歯を心がけています。
親知らずのご相談お待ちしております(^^)/