デンタルアトリエ自由が丘歯科ブログ
デンタルアトリエ自由が丘歯科の院長の小笠原です。
今回は前歯の審美治療の紹介です。
40代女性。「差し歯の入っている歯の根元が黒く、綺麗に治したい」という希望の方です。
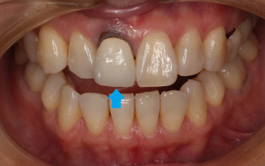
早速、お口の中を見てみましょう。

矢印の歯ですが、根元が黒いのがすぐに分かります。
こちらの歯は若い頃に差し歯になってしまったようで。年々、根元のが目立ってきたようです。
この黒い原因は、レントゲン写真を見ると分かります。

差し歯が埋め込まれています。

青い部分が白く写っており、メタルコアという金属の土台が埋め込まれています。
こちらの歯は神経がもう無いのですが、本来されていないといけない根管治療がされていません。

矢印の箇所ですが、神経のあった根管が黒く写っています。
本来は根管治療がしっかりされていると、材料が入るために白くレントゲン写真で写ります。
当院で根管治療をした後のレントゲン写真を載せておきますが

根管治療を行ない、消毒した根管を薬剤で密閉しています。材料がレントゲン写真で白く写るので、根管治療がしてあるのが分かります。
神経を治療した歯は茶色く、黒く変色してくるのですが、特にしっかりと根管治療がされていない歯は濃く変色します。
長くなりましたが、今回の黒い原因は
①根管治療が不十分で、元の残っている歯が黒く変色している
②経年的に歯ぐきが下がってきて、被せ物とのギャップが見えている
ということです。
他に根元が黒い原因に「メタルタトゥー」がありますが、今回はこちらではありません。
※メタルタトゥーは以前の記事がありますのでこちらを参考にしてください☟
30代女性 黒い歯ぐきの改善 前歯セラミック審美歯科
では治療に入ります。治療の流れは
①差し歯を外す
②根管治療をする
③ファイバーコアで土台を立てて
④新しいクラウンを装着
という流れです。
まずは被せ物をを削って外していきます。
被せ物を外した歯です。

歯が全体的に黒く変色しています。
根元は、被せ物を外すと良く分かりますが自身の歯の根元が出ていたのが分かります。
先端は銀色のメタルコアが見えています。
メタルコアを外します。

外すと根管の内部が見えます。
中の神経が合った箇所が黒くなっています。いわゆる中途半端に残っている神経が腐って変色しています。
※メタルコアを外す記事についてはこちらを参考にしてください☟
差し歯をやり直す、メタルコア(金属の土台)を外す実際の方法は?
先ほどレントゲン写真をお見せしたように、根管治療をしっかりと行い。
ファイバーコアで土台を立てます。

すでに変色してしまった歯の色は変えられませんが、メタルコアを使用することで白く綺麗に仕上がっています。
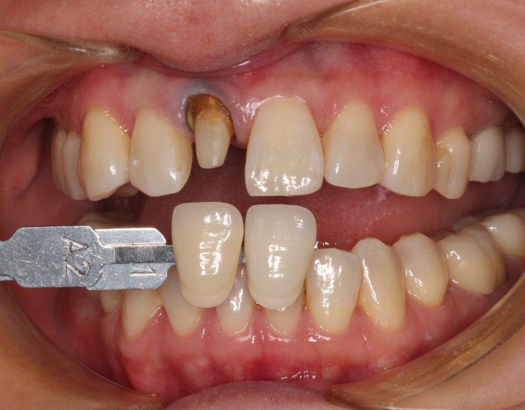
後は歯型を取って、ジルコニアセラミックのクラウンを製作します。

歯の色見本を合わせ、周囲の歯の色を確認、記録します。
専門の歯科技工士が人工歯を製作し、後日完成した歯を装着します。
歯が装着された状態です。

パッと見るとどこを治療したか分からないくらいになっています。
綺麗に仕上がっています(^^)/
元々の歯ぐき下がりや、元の歯の暗い色を完璧に治療することは困難ですが、患者さんは満足していただけました。
元の歯の状態は

治療で綺麗に審美的に改善しましたね。
前歯はその人の印象を左右する場所です。
前歯にコンプレックスがあると、人前で笑うのに気を使ってしまいます。
前歯の審美治療もご相談ください(^^)/
【治療期間】5回
【費用】¥306,900(税込) ※根管治療を含む
【リスク】治療中または治療後に軽い出血や痛みを伴う場合があります。
仮歯は強固ではないので取れる可能性や、稀に欠ける場合もあります。
ご相談をお気軽にお問い合わせください。
・公式ホームページ
・アメブロ
・デンタルアトリエYoutubeチャンネル