DENTIST in
JIYUGAOKA TOKYO
自由が丘駅より徒歩3分
皆さまの歯をできるだけ守る・残す
自費診療の歯科医院です
お気軽にご相談ください。
日本全国から
東京自由が丘へ来院する
当院6つの特長
-
01
自費診療で保険ではできない
高度な治療当院では「保険適応外の自費診療」とさせていただいております。これにより、保険では対応できない高度な治療、最新の医療材料を使うことが可能で、なるべく『削らず』『抜かない』施術を実現することで、歯の寿命を延ばすことが期待できます。日々、医学知識や技術力の向上に努め、CTやマイクロスコープを使った、より精度の高い歯科医療をご提供しています。
当院の自費診療の考え方 -
02
他院で
「抜歯」「神経を取る」と
言われた歯を残す日本の保険制度では『虫歯は削る』『神経は取る』『状態の悪い歯は抜く』『再発する』といった事が当たり前になっているのが実情です。現在では「神経温存療法」といって神経を抜かずに残す方法もあります。専門的な虫歯・根管治療を行うことで歯の神経を残し、抜かずに残します。これにより、より長く自分の歯で生活することが可能となります。これまでにも多くの皆さまの歯を残す施術をここ自由が丘で行ってきました。ぜひ一度ご相談ください。
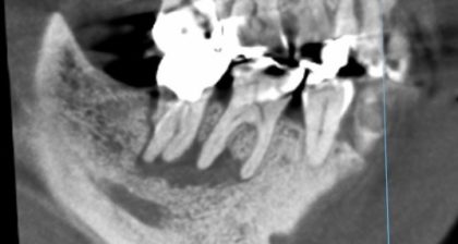
マイクロスコープによる精密根管治療 -
03
なるべく痛みの少ない
安心できる施術「歯科は痛いもの」と思っていませんか?いいえ、痛みなく施術することは可能です。実は歯科医師の技術の差で麻酔の効果は変わります。痛くないように針を打つ、麻酔液をコントロールする等、不快感を軽減させる技術はドクターの腕に左右されます。当院ではできる限り痛みを軽減できるよう取り組んでおります。
痛みを軽減する麻酔への取り組み -
04
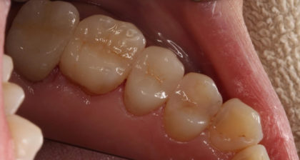
審美的に綺麗に
長持ちさせるただ治せばいいわけではなく、審美的に色を綺麗に、機能的にしっかりと噛めるように、予防的に虫歯にならないように、そして天然歯と同様に見た目を仕上げるには歯科医師と歯科技工士の技術力、良質な材料が必要となります。これらを自費診療で行うことで、より精度が高く綺麗なお口元に仕上げることが可能となります。
審美歯科セミラック -
05
再発させない
予防歯科ちゃんと磨かないから虫歯になる?いいえ、もしかしたら口腔内や生活習慣等に原因があるかもしれません。その原因を探り、専門的な予防歯科をきちんと受けることで、お口の症状で悩まない人生を送ることが可能となります。当院では患者さんの症状を明らかにし、予防できるように対応しています。
予防歯科 -
06
院長が全ての施術を
責任を持って担当院長の小笠原が全ての施術を担当しています。多くの歯医者では女性スタッフや勤務医の先生に患者さんを任せることで運営を行っています。当院では、勤務医の先生を雇うことはせず、院長が見れる範囲内ですべての診療行う自由が丘のクリニックです。同じ時間帯に何名も予約は取りません。お一人おひとりに責任をもって向き合っております。
ドクター紹介
症状・お悩みから探す
お知らせ・ブログ
公式インスタグラム
患者さんが安心できる自由が丘の
歯科医院をめざして
- 完全個室
- 徹底した衛生管理
- 最新設備
はじめまして、デンタルアトリエ自由が丘歯科の院長の小笠原慶一です。
「自分だったらどんな医療を受けたいか?」…もし自分が歯科医院を選ぶ場合、大切な身体を親身になって見てくれる先生に任せたいと思います。
そのために私は「お一人おひとりに時間を取って丁寧に対応できるように」と、ここ自由が丘に歯医者を構えました。さらに、より良い医療を目指し、保険ではできない高度な治療を提供するために、自費診療の歯科医院として2017年に開院いたしました。
今では全国、海外からも「自分の歯をしっかりと治してほしい」という希望の皆さまが多くいらっしゃいます。また他院で施術した後にトラブルが続く方もいらっしゃいます。
歯は一度削ってしまうと元には戻りません。大人の歯は抜いてしまうと、もう生えてきません。日本では安易に歯を削り、神経を取り、抜く歯医者が多いのが事実です。「勇気を出して相談して良かった、安心した」と思ってもらえるよう、日々患者さんに向き合っています。
そしてお悩みや不安を少しでも解消できるよう、開業当初から日々のブログや、YouTubeで実際の施術を公開しています。お口の症状でお悩みの方は、ぜひお気軽に当院へご相談ください。


よくあるご質問Q&A
-
自由が丘駅と奥沢駅、どちらが近いですか?どっちの駅でも徒歩圏内ですか?
どちらの駅でもお越しいただけますが、自由が丘駅が近く便利です。
当院の住所表記は奥沢ですが、自由が丘駅寄りに位置し、正面口(北口)or南口より徒歩3分です。ただ奥沢駅も徒歩9分と、どちらの駅でもご利用いただけます。九品仏駅方面からも歩いてお越しになる患者様もいらっしゃいます(こちらも徒歩10分)。詳しくは「自由が丘駅から当院までの道順写真」をご覧ください。 -
歯の神経を残せますか?神経を取らずに(抜髄せずに)治療できますか?
MTAという材料を使用した「歯髄温存療法(神経を取らない治療)」を行っております。
当院では「他院で神経を取ると診断された」「できれば神経は抜きたくない」とのお声で、今までに多くの皆さまに歯をなるべく残す治療によるご支持をいただいております。詳しくは当院の「歯髄温存療法(バイタルパルプセラピー)」の内容をご覧ください。 -
県外(遠方)ですが、来院しても大丈夫ですか?診てくれますか?
都内以外の他都道府県、海外からも数多くの方が来院されています。
当院は、東京・自由が丘にありますが、日本全国・海外からも患者様がご来院されております。特に、虫歯治療、根管治療(マイクロスコープ使用の歯内療法)においては、当院YouTubeやインスタグラム等を見られてからか、数多くの患者様がご自身の歯を抜歯せずに保存できております。*残念ながら、やむを得ない抜歯ケースもございます。まずはお電話、お問合せフォームにてご連絡いただき、ご予約をお取りください。
*自費診療(保険適用外)となります
*来院回数はなるべく最小回数で行わせていただきます
*通院回数の目安はこちら -
治療終了後は遠方(県外)在住でも、メンテナンスで自由が丘まで通い続けなければだめですか?
治療終了後は、お近くの歯科医院での定期健診でも大丈夫です。
当院では、治療終了後も術後経過を責任を持って診て行きたいと考えておりますが、遠方の患者様は、個人差はありますが少なからず通院の負担になることがあるかもしれません。もし距離の問題でメンテナンスによる通院が難しい場合は、お近くの歯科医院での定期健診でもOKです。有難いことに、当院を受診された遠方の患者様の中には「自由が丘のお買い物・観光のついでに」と楽しみながら通院されている方もいらっしゃいます。治療終了後も当院でのメンテナンスをお受けになられるかどうかは、患者様にお任せしておりますので、ご安心下さい。 -
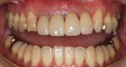
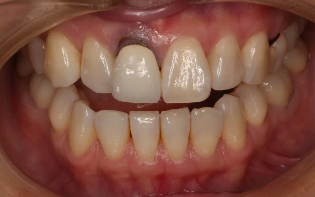
虫歯治療後は、白い詰め物・被せ物に、綺麗に交換可能ですか?
白く綺麗で自然なセラミックの審美歯科治療が可能です。
当院では「銀歯にしたくない」「金属の詰め物が取れたのでこの際白くしたい」とのご要望で、全国から患者さまが来院されております。奥歯の詰め物ではセラミックインレーやダイレクトボンディング、前歯・奥歯の被せ物では、オールセラミックスクラウンなどの見た目が自然でキレイな審美歯科をご提案しております。当院の実症例集もご参考になさってください。 -
歯内療法の患者さんのご紹介も可能ですか?(同業の歯科医院の先生より)
歯内療法(根管治療)に限りまして、受け入れが可能です。
当院では特にマイクロスコープ使用の精密根管治療に特化しております。歯内療法でお困りの歯科医院(先生方)との連携をはかり、双方で地域医療として貢献・協力できればと考えております。特に紹介状などは必要なく、患者さんご自身にて直接当院までご予約をお取りいただければと思います。材料や設備投資における初期導入コスト、根管治療分野の技術・知識の修得などの課題があり、なかなか自院では治療に踏み切れないのが現状かと思います。何より先生方の患者さまのお口の将来の一助となれば幸いです。 -
虫歯治療の通院回数はどれくらいですか?
約1~6回が目安。虫歯の範囲(深さ)、神経まで治療するかどうかで回数が異なります。
以下が当院の通院回数の目安です(ケースにより前後します)。- 小さな虫歯治療(ダイレクトボンディング):1回
- セラミックインレー等による修復処置:2回
- 歯髄温存療法:3~4回
- 根管治療:2~4回(通常その後詰め物・被せ物処置があるので+2回)
ご参考になさってください。
ご予約・お問合せ
03-6715-6603
平日9:30-13:00 / 14:30-18:00
土9:30-13:00 / 14:30-17:00
水日祝休診
〒158-0083
東京都世田谷区奥沢5丁目30−8
アプロード自由が丘 2階
電車でお越しの場合
東急東横線・大井町線
「自由が丘駅」南口or北口(正面口)
より徒歩3分
お車でお越しの場合
- 環七通りからは、柿の木坂陸橋を右左折し、目黒通り⇒自由通りへ、or南千束(長原陸橋)を右左折し、中原街道⇒自由通りへ
- 環八通りからは、等々力不動前(等々力不動陸橋)を右左折し等々力通りへ、o玉川田園都市を右左折し学園通りへ
※駐車場はございませんので、自由が丘駅周辺の有料駐車場をご利用ください











