矯正歯科治療(歯列矯正)とは矯正装置を用い、歯並びを、見た目を美しく、機能的に正しい咬み合わせに治す治療です。
当院では安心して矯正治療を行っていただくために、しっかりとした検査・説明を行い、矯正医による確かな治療をご提供することで、きれいな歯並びへとサポートいたします。
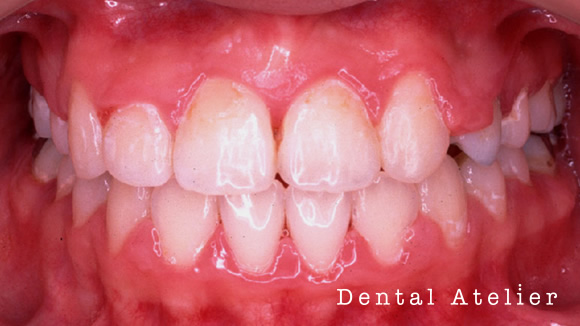
初診時
治療後
大人の矯正
大人の矯正治療は、出っ歯や受け口、八重歯や歯のガタガタなど、不正咬合を改善し、美しく機能的な歯並びをもたらします。
歯並びが悪いと見た目の問題だけではなく、歯磨きが難しいため、虫歯や歯周病にかかりやすく歯の寿命を減らしてしまいます。また、うまく咬み切れないといった機能面でも問題となります。
今後何十年と使っていく歯並び、咬み合せを良くすることは、今後の生活に大きなメリットをもたらします。
矯正治療をしようか何年も悩まれている方、「歯を抜かないといけないと言われた」「費用が気になる」「装置が目立つのが嫌だ」など、なんでもお気軽にご相談ください。
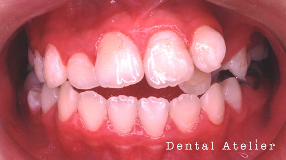
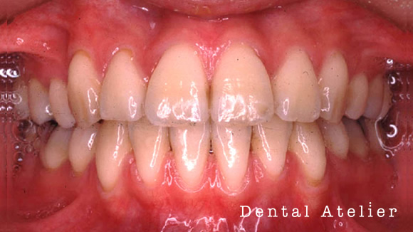
初診時
治療後
装置は目立つの?
当院では、目立たない矯正治療を心がけております。 通常の金属色の装置は、特別な場合を除き使用せず、白いワイヤーも用意しております。
また表側からは見えない裏側(舌側)矯正も行っております。
ワイヤー矯正歯科治療の注意事項(リスク・副作用など)
- 治療中は違和感や痛みが起こることがあります。
- 歯並びの状態により、抜歯が必要な場合があります。
- 治療装置が付くことにより、歯磨きがしにくくなり、虫歯や歯周病になりやすくなります。
- 矯正治療後の保定が不十分だと後戻りをする可能性があります。
- 自由診療(保険適応外)となります。


歯は必ず抜かないといけないの?
できるだけ歯を抜かない治療を目指しています。しかし患者さまの顎の状態よっては、抜歯が必要なケースもあります。
当院では抜歯しなかった場合と抜歯した場合の、メリット、デメリットをお話しし、最終的には患者さまにお選びいただくようにしています。
子どもの矯正
「前歯がガタガタしている…」「うちの子は受け口かもしれない…」
お子様の歯並びにお悩みの方はいらっしゃいませんか?
悪い歯並びをそのままにしていると、将来たくさんのリスクにつながります。
子供の時から矯正治療を始めるメリットは?
永久歯を抜かないで矯正できる可能性が格段にあがります。永久歯が生えるスペースが足りない場合、顎の成長を促したり、奥歯を後ろへ移動させることでスペースを作ります。
一般的に、大人になってから矯正治療を希望される方でスペースが足りない場合、70%は抜歯が必要という報告もあります。
成長期の子供のうちなら本格矯正(ワイヤー矯正)で歯を抜かずにすむ可能性が格段に上がります。顎の成長のバランスを整え、美しい顔だちに導くことができます。正常な成長を妨げる悪い歯並びや癖を改善し、顎の成長のバランスを整えます。
顎の成長のアンバランスを放置すると将来、外科手術が必要になることもあります。
お顔つきや顎の成長のコントロールは、成長期の子供にしかできない矯正治療です。
子供の矯正はいつから始めたらいいの?
一般的には6歳から7歳、永久歯の前歯と奥歯が生えてくる時期に、一度ご来院をお勧めしています。
子供の歯や顎の成長は、個人差があります。
早い時期に矯正を始めたほうがい方もいれば、しばらく成長を待ってから始めたほうが良い方もいます。
当院では、適正な時期に治療を開始することで、治療期間の短縮と、お子様に余計な負担をかけず、また余計な治療費がかからないようにすることを目指しています。
顎の骨格のアンバランスを放置すると、5年後、10年後には更にひどくなり、その結果、矯正治療も難しく、外科手術が必要になる場合があります。
もし、お子さまの歯並びで気になる点があれば、お早めに、まずはご相談ください。
最も効果的な時期と治療方法のアドバイスをいたします。
当院での治療の特徴
歯並びだけでなく、口腔内全体の健康を考えた治療
矯正医による美しく機能的な歯並びの治療はもちろんのこと、虫歯の治療や歯周病の治療が必要な場合に専門の医師と連携することでお口の中を理想的な状態に導きます。
特に成人の方の場合、かぶせ物や欠損歯(歯が無いところ)などがある方が多く、矯正治療とともにそれらの改善も必要な場合があります。
矯正専門の医院では、かぶせ物や虫歯、歯周病の治療が必要となった場合、連携が難しく、虫歯の治療を行っている他の医院に通う必要が出てきてしまいます。当院ではそれぞれの分野の専門医が連携し理想的な咬合に導きます。虫歯や歯周病の治療のためにわざわざ他の医院に通っていただく必要がありません。
「矯正医」が治療を行っております
当院では日本矯正歯科学会の矯正医が患者様の治療を担当しております。大人の方には、できるだけ抜かない矯正治療、目立たない装置、お子様にはできるだけ負担の少ない矯正治療を心がけております。
子どもから大人まで安全で確実な治療を提供しております。
※ 矯正治療の診療日程については、お電話にてご確認ください。
矯正用の精密検査を行っております
矯正歯科専門の医院や、大学病院で必ず行う「セファロ分析」を行います。
「セファロ分析」とセファロ写真と呼ばれる横顔のレントゲンを撮影することで顎の骨のバランスや、前歯の位置、口元の出具合などを分析し、理想的な状態に近づけます。当院ではセファロ写真が撮影できる最新のレントゲンを完備しております。
分かりやすい治療費のご提案
当院では、診断時にお見積もりした基本料金が、治療が終了するまでの全ての料金となります。このため保定装置(矯正治療終了後に使用する歯並びを保つための装置)装着時、治療中の装置の変更・作り変え時に追加費用はいただいておりません。
装置の調整時に発生する処置料以外は、すべて基本料金にてまかなっております。
また、装置等に不都合が生じた場合の急患対応時の料金はございません。
※ 矯正治療は自費治療です
治療費全て税込み表記
治療前にかかる費用
| 初診相談 | お口の中を確認し、矯正治療の説明・相談をいたします。 | 無料 |
|---|---|---|
| 診査 | お口とお顔の写真、お口の型取り、レントゲン撮影、セファロ撮影など、必要な検査を行います。 *当院の診査料の料金には診断料も含まれております。 |
44,000円 |
| 診断 | 診査の結果を元に、治療の方法と費用の説明を行います。 最終目標(ゴール)を決める上で診断は最も重要であり、患者さまと一緒に治療方法の選択を行います。 ※治療を行わないという選択肢も決めることができます。 |
無料 |
成人矯正の費用
| 表側矯正 | 歯の表面に装着する標準的な矯正装置です。 | 858,000円 |
|---|---|---|
| 裏側矯正 (舌側矯正) | 歯の裏側に矯正装置を装着します。矯正していることが分かりにくい特徴があります。 ※高度な技術が必要です。 |
1,298,000円 |
| 表側・裏側矯正 | (ハーフリンガル矯正)上の歯を裏側矯正。 下の歯は表側矯正を行うことで、矯正をしていることが分かりにくく、費用が抑えられます。 |
1,078,000円 |
| マウスピース矯正 | インビザライン | 1,078,000円 |
| 保定装置 | 矯正治療後に歯並びを安定させる装置 | 0円 ※各装置の料金に含まれています。 |
お子さまの矯正費用
乳歯が残っている子どもの時期の矯正治療です。既に永久歯の場合は成人矯正となります。
| 小児矯正 | お一人おひとり、お子さまに合った矯正装置の提案をいたします。 | 385,000円 ※装置を何個使っても追加料金はありません |
|---|
※成人矯正・小児矯正ともに、部分的な治療で済む場合は治療費が下がることもあります。
処置および調整料など (約月1回)
乳歯が残っている子どもの時期の矯正治療です。既に永久歯の場合は成人矯正となります。
| 小児矯正・処置料 | (1~6か月に1回) | 5,500円 |
|---|---|---|
| 成人矯正・処置料(月1回) | 表側、マウスピース矯正 | 5,500円 |
| ハーフリンガル | 6,600円 | |
| 裏側 | 7,700円 |
※成人矯正・小児矯正ともに、部分的な治療で済む場合は治療費が下がることもあります。
お支払い方法
当院では現金でのお払いの他に、分割払い、クレジットカードでもお支払い可能です。
- 一括払い:直接ご持参ください。
- 分割払い:患者さまに合った分割の提案をいたします。まずはご相談ください。
- クレジットカード:クレジットカードでもお支払い可能です。
※矯正治療は医療費控除の対象となります。
矯正治療Q&A
何歳から矯正が出来ますか?
子どもだと早くて6歳くらいから始められます。
お子さんの歯並びを気にされるご家庭が増えてきました。早めに歯並びを治すことを考える親御さんがいますが、子どもの矯正は早すぎても意味がありません。まず乳歯だけが生えそろっている状態では矯正治療は始められず、早くても大人の歯が生えてくる時期、つまり6歳くらいから治療を介入することが可能となります。
また子どもはそれぞれ成長に差があり、性別によっても成長時期に差があるため、その子の成長に合わせた治療のスタートに違いがあります。
まずは永久歯が生え始めてきた6歳~7歳頃に矯正専門医にみてもらい、いつ頃治療を始めていくか相談することが望ましいです。
大人は年齢に関係なく矯正をすることが可能です。
矯正治療とセラミック矯正は何が違いますか?
矯正治療は歯の位置を動かす治療方法で、歯列矯正とも言います。セラミック矯正は矯正治療ではなく、人工歯のかぶせ物による修復治療です。
矯正治療は矯正装置を使い、歯の位置を整える治療方法です。
セラミック矯正は歯を削り、大きく歯の形を変えた上で、セラミックのかぶせ物により歯が並んでいる様に見せる方法です。セラミック矯正は医学的名称ではなく造語なので注意が必要です。
矯正にはどんな種類がありますか?
ワイヤー矯正、マウスピース矯正、部分矯正があります。
歯にブラケットという装置を取り付けて、その装置にワイヤーを入れ、ワイヤーの力で歯を動かす方法がワイヤー矯正です。装置を歯のどこに付けるかによって、表側と裏側に分けられます。
マウスピース矯正は、歯の動きが組み込まれた透明なマウスピースを装着し、段階で交換しながら歯を動かす方法です。マウスピースは自分で取り外しが可能ですが、食事と歯の清掃の時間以外は取り付けておくことが推奨されます。
部分矯正は、部分的に歯の並びをそろえる場合に言われ、装置はワイヤーもマウスピースも症例に合わせて用いられます。
矯正の治療期間はどのくらいかかりますか?
全顎矯正の場合は1年~3年程かかります。歯の状態や治療方法によって異なります。
歯並びが悪く矯正治療を行なう場合は約2年前後かかると説明があることが多いと思われます。しかし、骨格的な問題があったり、歯の並びのずれが大きかったりする場合など、症例によっては3年以上かかることもあります。部分矯正など、軽度な場合は約半年で終わることもあります。また使用する装置によっても期間に違いが出ますので注意が必要です。
矯正治療は始めてしまうと途中で止めることが難しいです。しっかりと担当医と相談して治療を始めましょう。
矯正治療の費用はどのくらいかかりますか?
全顎矯正で70万円~100万円程度が目安です。使う装置によっても費用が違います。
基本的な矯正費用が大きくかかりますが、他にも初回検査料金や、月々の調整料、医院によっては治療後の固定装置(リテーナー)の費用がかかる場合があります。ですので、トータルの治療費として100万円前後かかるのが一般的です。自由診療になるために歯科医院によって費用に違いがあることや、支払い方法に違う場合があるので確認が必要です。また治療に使う装置でも費用が違います。
費用の注意点として、安すぎる歯医者や、過大広告に注意が必要です。過去にマウスピース矯正の詐欺事件も起こっていますので、結局治らないという事も矯正では多くあります。
矯正治療は保険がききますか?
基本的に自由診療(自費)ですが、先天性疾患によるものは、一部保険適応される場合もあります。
日本では矯正治療は保険適応外の治療とされています。ですので、歯並びが悪い場合は自費で治療を受けなければなりません。しかし、顎変形症や先天性疾患による咬合異常の場合は保険適応で矯正治療を受けることも可能です。その場合は治療を受けられる歯科医院が決まっていますので調べる必要があります。
矯正治療は痛いですか?
装置を調整した直後は痛みを感じますが、数日でおさまってきます。
矯正治療中は歯を動かすために調整が必要となります。調整した直後は歯に負荷がかかりますので、痛みや違和感の症状が出ることが多いです。調整内容と人によって個人差はありますが、軽度な違和感から、持続した歯の痛みがあり、歯に触れると激痛が走る場合もあります。しかし、時間と共に痛みはなくなります。
歯を抜く必要がありますか?
抜く必要がある人もいます。
歯並びは、歯の大きさと、あごの大きさが関係し、調和がとれると適正に歯が並びます。人により歯の大きさとあごの大きさは違います。その方が綺麗に、かつ噛み合わせを正しく並べるには抜歯が必要な場合も多くあります。非抜歯矯正といって歯を抜かずに矯正することも言われますが、無理に歯を並べると、あごから歯がはみ出てしまう場合があります。また並びきらないスペースを抜歯ではなく、歯を削って並べる場合もあります。それぞれの利点と欠点をしっかりと担当医から聞いて、納得した上で治療を受けられるのがよろしいかと思います。
歯を抜かないで矯正をしたいです。
自分に合った治療方法を検討すればよろしいかと思います。
歯を抜くか、抜かないかは矯正科医でも意見が分かれる所です。どの方法が正しいということがないのが矯正治療とも言えます。
歯科医師として極力大切な歯を抜かずに治療をしたいところではありますが、その方の歯とあごのバランスが合わない場合は、抜歯も選択肢に入ります。
極端に非抜歯を正義とする歯医者は注意が必要かもしれません。一見歯が並んでいても、歯があごからはみ出して、正しく嚙み合わないこともあります。
矯正中は虫歯になりやすくなりますか?
装置が入ると磨きにくくなるために、虫歯や歯周病のリスクは上がります。
ワイヤー矯正に場合、歯に装置が取り付けられますので、装置周辺に汚れが溜まりやすいという欠点があります。そのために装置周辺や、歯と歯の間で虫歯になったり、歯周病リスクが上がる可能性はあります。そのため、丁寧に日々のケアをする必要があります。矯正中には、矯正用の歯ブラシやデンタルフロスなどの専用の清掃器具もありますので、清掃指導をしてもらいましょう。
マウスピース矯正では取り外して、普段通りにお手入れが出来るというメリットはありますが、何時間も歯に密着させておく必要があるためにマウスピースの中で虫歯になることもあります。
マウスピース矯正をよく聞きます。いいですか?
流行に流されず自分に合った方法を選びましょう。
最近の矯正治療ではマウスピースを使った歯並び矯正の方法が増えてきました。従来の金属ワイヤーを使った矯正と違い矯正をしていることが目立たないというメリットがあるので、取り組みやすいと考えている人も多くいらっしゃると思います。
結論を言うと、マウスピース矯正でも歯並びは治ります。しかし誰でも同じ結果になるとは限りません。歯並びや噛み合わせがうまく治るかは、その方の歯並びの状態や、担当医師の技術力によるところが多く、「治らなかった」という訴訟が増えてきています。
現在日本では「医療機器」として国に認められておらず、自己責任となりますのでよく考えましょう。