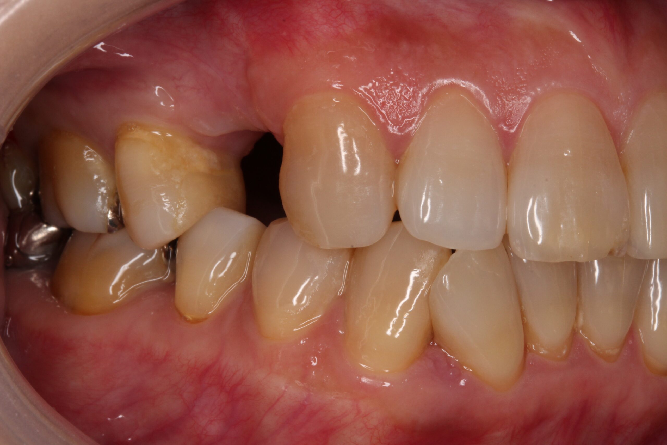
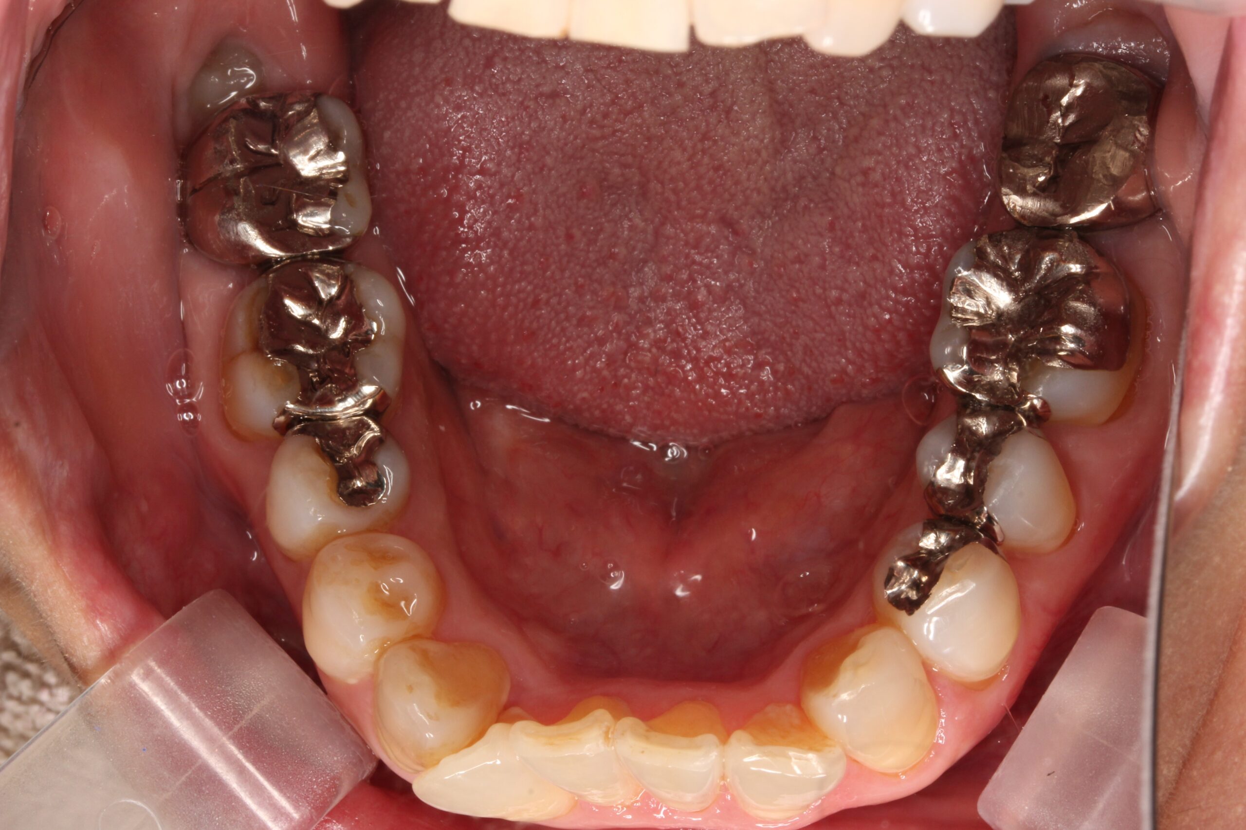
インプラントの症例
IMPLANT
ご予約・お問合せ
03-6715-6603
平日9:30-13:00 / 14:30-18:00
土9:30-13:00 / 14:30-17:00
水日祝休診
〒158-0083
東京都世田谷区奥沢5丁目30−8
アプロード自由が丘 2階
電車でお越しの場合
東急東横線・大井町線
「自由が丘駅」南口or北口(正面口)
より徒歩3分
お車でお越しの場合
- 環七通りからは、柿の木坂陸橋を右左折し、目黒通り⇒自由通りへ、or南千束(長原陸橋)を右左折し、中原街道⇒自由通りへ
- 環八通りからは、等々力不動前(等々力不動陸橋)を右左折し等々力通りへ、o玉川田園都市を右左折し学園通りへ
※駐車場はございませんので、自由が丘駅周辺の有料駐車場をご利用ください