PMTC

歯のクリーニング・エアフロー

PMTC歯のクリーニング

PMTC

PMTCとは、歯科医師や歯科衛生士が専用の機械とペーストを使って患者様へ提供する、お口のクリーニングです。

普段のブラッシングでは、完璧に磨き残しなく、歯の隅々まで汚れを取り去ることは非常に困難です。

そこで、PMTCによって歯ブラシの届きにくい歯の裏側や奥歯、歯と歯の隙間まで優しく丁寧に清掃していくことで、患者様のお口を虫歯や歯周病から守ります。

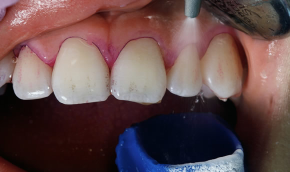
エアフロー

エアフロー

また、ご希望の患者様には、エアフローと呼ばれる専用の機器を使用して、細かなパウダー状のクリーニング材を強力なジェット水流で歯に吹き付け、汚れを落としていきます。

これにより、水圧とパウダーの力で、歯の表面に傷をつけることなく、短時間で本来の歯の色を取り戻すことができます。

PMTCの目的

当院が患者様へPMTCを提供する目的は、主に次の3つです

  • 虫歯や歯周病にかかるリスクを減少させ、将来残せる歯を増やす。
  • 歯磨きでは取れない口内の着色汚れを取り除く。
  • 口の中の嫌な臭い(口臭)を予防・改善する。

PMTCは、多くの患者様より「お口の中がスッキリして、とても気持ちいい気分になった」とお喜びいただく、当院で人気の診療メニューでもあります。

PMTCのリスク・副作用

  • 歯科医院でのクリーニングだけでは、虫歯・歯周病の予防はできません。ご自宅でのケアも必要となります。
  • 歯石が多く付着している方は、歯石除去後、多少の出血が見られることがあります。
  • 多くの場合出血はすぐにおさまり、1~2日で歯茎は治癒していきます。治療後に歯がしみる場合があります。
  • 歯茎の腫れや歯肉炎のある方は、器具があたることにより、痛みや出血をともなうことがあります。
  • 着色汚れ(ステイン)や歯垢・歯石はクリーニング後に再付着することもあります。

歯のクリーニングの重要性

なぜお口のクリーニングやメンテナンスが必要なのか?

歯科クリーニング

定期的に検査と歯石を取ることで、虫歯や歯周病にならない状態を維持することができます。

「予防」により、「治療」をしないですむ選択が可能となります。

それにより健康状態を保ち医療費を抑えることができます。

お口の状態によって治療の選択肢が変わります

歯の健康を維持する「予防」には保険が使用できません。

そのために日本の保険制度を使って 歯石や着色を取ると、2~3回ほど通院が必要となります。

虫歯のケアと、歯周病のケアの方法は違います。

その方に合った治療の方法を提案いたしますので、お気軽にご相談ください。

歯のメンテナンス・オプションメニュー

  • 1日クリーニング
  • レーザー虫歯検査(ダイアグノデントペン)
  • 唾液検査
  • 細菌検査 ・エアフロー
  • CT撮影、エックス

PMTCの料金表はこちら

ご予約・お問合せ

dentalatelierロゴ

デンタルアトリエ自由が丘歯科

03-6715-6603
平日9:30-13:00 / 14:30-18:00 9:30-13:00 / 14:30-17:00 水日祝休診

〒158-0083
東京都世田谷区奥沢5丁目30−8
アプロード自由が丘 2階

診療時間
【水日祝】休診
【土】は17時まで

電車電車でお越しの場合

東急東横線・大井町線
「自由が丘駅」南口or北口(正面口)
より徒歩3分

お車お車でお越しの場合

  • 環七通りからは、柿の木坂陸橋を右左折し、目黒通り⇒自由通りへ、or南千束(長原陸橋)を右左折し、中原街道⇒自由通りへ
  • 環八通りからは、等々力不動前(等々力不動陸橋)を右左折し等々力通りへ、o玉川田園都市を右左折し学園通りへ

※駐車場はございませんので、自由が丘駅周辺の有料駐車場をご利用ください