当院の審美歯科材料
歯を修復する材料のことを補綴物(ほてつぶつ)と呼び、補綴物にはクラウン(被せ物)とインレー(詰め物)があります。当院では、患者さまのご予算やご要望に応じて、さまざまな症例に適した補綴物をご用意しています。
セラミック
審美性に優れた材料です。
最新のセラミックは耐久性にもすぐれ、歯を同じ透明感とグラデーションを再現できるのが特徴です。
表面がつるっとしており、食べかすが付きづらく虫歯のリスクが低下します。
アレルギーの心配はありません。
ジルコニア
人工ダイヤモンドとも言われる材料です。
強度に非常にすぐれ、奥歯やブリッジなど咬み合わせの強い所に適しています。
金属を使わないためアレルギーの心配はありません。
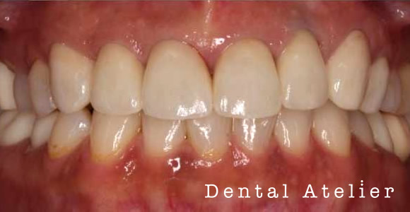
セラミックインレー(部分的なはめ込み)
虫歯で失った歯の一部を、セラミックで元の形に仕上げる修復治療。


| 施術の説明 | 治療した歯の形を整えてセラミック製の人工歯(クラウン)を被せる治療です。 |
|---|---|
| 施術の副作用やリスク | 治療中または治療後に軽い出血や痛みを伴う場合があります。また治療により歯がしみることもあります。 |
| 施術の価格 | 1本 110,000円(税込) |
セラミッククラウン(全体的なかぶせ物)
セラミックで歯を作り、元あった天然の歯同然に回復させる補綴(ほてつ)治療。


| 施術の説明 | クラウンは虫歯で大きく歯を失ったり、根管治療をした歯に行う補綴治療です。 |
|---|---|
| 施術の副作用やリスク | 治療中または治療後に軽い痛みを伴う場合があります。 また治療により歯がしみることもあります。 |
| 施術の価格 | 1本 148,500円〜198,000円(税込) |
ダイレクトボンディング(コンポジットレジン修復)


レジンを詰めて歯の形と色を自然な形に仕上げます。
| 施術の説明 | 銀歯を外して白いレジンに詰め直す治療です。 |
|---|---|
| 施術の副作用やリスク | 治療中または治療後に軽い痛みを伴う場合があります。 また治療により歯がしみることもあります。 |
| 施術の価格 | 1本 16,500~49,500円(税込) |
審美歯科とは
審美歯科とは、かぶせ物によって歯並びを良好に、そして白さを再現し、綺麗にする治療を意味します。
それは矯正歯科、ホワイトニング、歯冠修復に分けられ、内容は違うものの清潔で美しい歯にすることで見た目だけではなく、お口の健康や、生活の質の向上につながります。
現在、審美歯科治療は世界で最も注目されている分野です。
「Esthetic Dentistry」エステティックデンティストリーという言葉があります。
見た目の美しさだけではなく、お顔と口元との調和、白く健康的な歯の色と、そして 機能の回復と向上を考慮し、いかに自然に見せるか追及します。
当院の審美歯科の特長
当院で行う審美治療の目的
当院の審美歯科では、主に次の4つの目的のもとに、患者さまへ治療をご提供いたします。
- 自然な白い歯をつくります。
- 歯並びや噛み合わせを良好にします。
- 虫歯・歯周病や口臭の予防処置を行います。
- 将来的に歯を残せる可能性を高め、入れ歯やインプラントの可能性を減少させます。
治療の精度を高め、綺麗な状態を維持するために
咬み合わせの診査・診断、色合わせ

患者様のお口に合わせた、精度の高い補綴物をご提供するため
当院では、丁寧なかみ合わせの診査・診断を実施しております。
また、歯の色合わせについても患者様にご納得いただけるよう対応しております。
審美歯科治療動画
審美歯科よくあるご質問Q&A
審美歯科とは何ですか?
見た目の美しさを良くすることに焦点を当てた歯科治療です
歯の色、歯の形態、歯の並びを整えることを目的としています。
歯の色を綺麗にするホワイトニング、歯の形態を綺麗にするセラミック治療、歯の並びを整える矯正治療が主に言われます。これらの治療は、審美目的で行われる治療のため保険適応外となります。
一般歯科と審美歯科、何が違うのですか?
虫歯や歯周病など歯の病気を治すのが一般歯科、見た目の綺麗さを重視するのが審美歯科です。
一般歯科の治療は虫歯や歯周病など、歯に関連する病気になった際に、その病気の治療目的で行われます。病気を治すための治療は保険で認められています。一部、綺麗に仕上げるセラミック治療や、インプラント治療は保険適応外になる場合もあります。
審美歯科では病気ではない歯に、見た目を綺麗にする目的で治療が行われます。ホワイトニングやセラミックを使い、歯を白く仕上げるというものです。
セラミック治療とはなんですか?
セラミック材料を使い、歯を綺麗に仕上げる治療です。
セラミックは天然の歯に近い自然な色に加工することが出来る材料です。セラミックにより詰め物やかぶせ物を製作し歯に装着することで、治療した歯を透明感のある自然な歯の状態に仕上げることができます。また色の加工もできるため、白い歯にすることも可能です。
一般的に保険適応の材料では、銀歯やプラスティック材料が使われ、治療した跡が目立つことが多くあります。セラミックを使用することで治療した歯が目立たないように仕上げることができます。
セラミック矯正とはなんですか?メリット、デメリットは?
セラミックの人工歯をかぶせ歯並びを良く見せる方法です。造語であり医学的な名前ではありません。
歯並びを治そうとすると矯正治療を行うのが一般的です。しかし矯正治療は時間がかかるのが欠点の1つです。そこで短期間で歯並びを治すために行われる治療がセラミック矯正と呼ばれ、綺麗に並べたセラミックを歯に装着することで、無理やり歯並びや歯の色の見た目を審美的に仕上げます。
治療の方法は①歯並びから大きくずれている歯を抜歯する②方向が違う歯の神経を抜き、歯の形を小さく整える。③整えた歯にセラミックを装着する。という流れになります。
短期間でセラミックにより使い歯並びを綺麗にそろえることが出来るメリットがあります。しかし、自身の歯を大きく削ったり抜歯が必要になったりと、後戻りが許されない治療となります。また人工歯が無理やり入ることで、お手入れが難しくなり、将来的に虫歯や歯周病になるリスクが高くなる治療方法です。
審美歯科は保険がききますか?
保険適応外の治療です。
基本的に審美目的の治療は自由診療(自費)となります。日本の保険制度では、病気を治すための治療に保険が適応されます。審美歯科は見た目を良くするための治療は保険適応されません。美容整形の治療を同じと思ってください。
費用はどれくらいかかりますか?
治療の内容によって異なりますが、1本1万円~数十万円かかることもあります。
使う材料や治療の範囲によって治療費が異なります。例えばセラミックで歯を1本治療する場合、インレーという部分的な詰め物で5万円~10万円。クラウンという全体的なかぶせ物で10万円~20万円ほどかかります。自由診療は病院によって価格が異なりますので注意が必要です。
何本の歯を治すかによって100万円を超える高額な治療費になる可能性もあります。よく担当医と相談した上で決めましょう。
セラミックは割れやすいですか?
十分な強度がありますが、衝撃や噛み合わせなどで強い力が加わると割れる可能性もあります。
現在のセラミック材料は歯と同じか、それ以上の強い強度があります。しかし材料ですので、壊れないという事はありません。割れる原因としては歯ぎしり食いしばりなどの強い力がかかった場合や、噛み合わせの悪さによって負担がかかる場合、強い衝撃がかかった場合に割れることが考えられます。また忘れてはいけないのは、施術した担当医の技術力によってもセラミックの寿命が変わってきます。
保険で白い詰め物ができますか?
保険で白い詰め物はあります。
日本では保険制度のため、国が治療の方法や材料を決めます。日本では以前から歯の治療に銀歯を使い、今でも銀歯は使われます。銀歯は見た目が悪く、嫌な方も多くいらっしゃると思います。
近年、保険でも白い詰め物の導入が進んでいます。保険で使える白い材料は「レジン」というプラスティック樹脂です。最新医療では「セラミック」や「ジルコニア」という材料があるのですが、現在は保険適応外となります。
レジンは歯より柔らかい材料であるため耐久性には劣ります。白い材料ではありますが、長期間安定する材料ではないので、材料のデメリットも理解して使う必要があると思います。
他の歯医者で「ジルコニアが一番いい」って言われたのですがそうですか?
一番というわけではありません。自分に合った材料を選びましょう。
ジルコニアという現在、保険はきかない材料があります。2005年に国に認められたまだ比較的新しい材料です。
一般的に人工ダイヤモンドとも言われ「白く」「硬い」というメリットがあります。しかし壊れないというわけではないですし、「歯より硬いため」に噛み合わせや、噛み合う歯の材料に気をつけなければ逆に「歯に悪い」材料にもなります。ジルコニアのみ提案される場合は注意が必要です。
(※当院では他院でセットされたジルコニアを除去することが多くあります)
担当医が材料の特性と理解し、噛み合わせをしっかり管理してくれる先生にセットしてもらいましょう。