

| 施術の説明 | 歯科医院で行うホワイトニング治療です。 |
|---|---|
| 施術の副作用やリスク | 治療中または治療後に軽い痛みを伴う場合があります。 また治療により歯がしみることもあります。 |
| 施術の価格 | 22,000円(税込) |
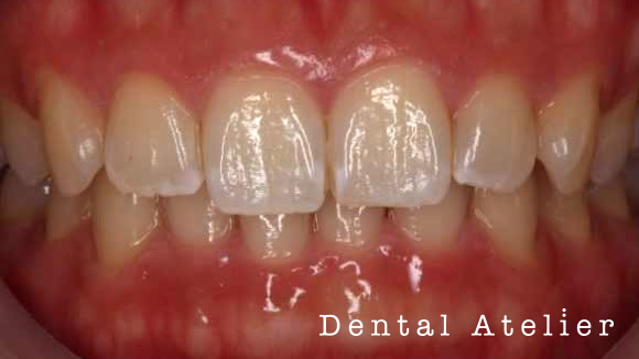
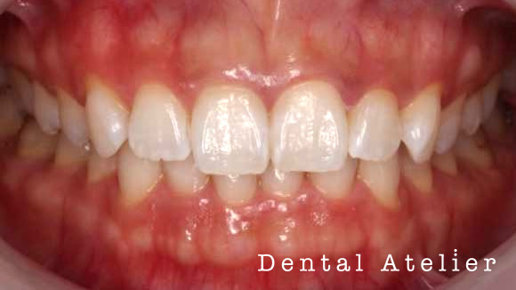
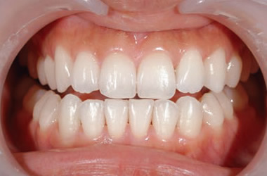
歯のホワイトニングとは薬剤を使って、歯にしみ込んだ着色成分を分解・漂白することです。クリーニングは表面についた着色を落とす事であり、内容が違います。ホワイトニングには、ご自宅でやるものと歯科医院でやるものがあり、どちらの場合も保険適応外のため、自費治療になります。
当院ホワイトニングの特徴
1) 専門の指導を受けた歯科医師、歯科衛生士が行います。
ホワイトニングは漂白するための薬剤を使用します。専門の監修のもと行わなければ歯や体に影響を及ぼす可能性があります。
また歯科医師、歯科衛生士が行うことで歯の色を均一にし、色の後戻りが少ないきれいな仕上がりにいたします。
2) 国内大手メーカー(ジーシー社)製品、「ティオン」を使用
ホワイトニングシステムは世界各国、様々なメーカーがあります。製品によっては薬剤の濃度が強く、歯を痛めてしまう原因となります。
当院では「ティオン」のホワイトニングシステムを導入しているため、高いホワイトニング効果を維持しながら、歯への低刺激性を両立させた身体に優しいホワイトニング材を使用しています。
オフィスホワイトニングの流れ当院でその日のうちに
ホワイトニングについての説明 / 歯の表面をクリーニング
オフィスホワイトニングについての説明と、現在の歯の色の確認を行います。そして、ホワイトニング効果を得やすくするために歯の表面のクリーニングを行います。
歯肉保護
ホワイトニングジェルが歯肉に触れないように歯肉を保護します。
ホワイトニングジェルの塗布
ホワイトニングジェルを塗布します。
光を照射
歯面に塗ったホワイトニングジェルに光を照射します。
効果の確認
ホワイトニングの効果を確認します。
ホームホワイトニングの流れご自宅で継続的に
<当院で>ホワイトニングについての説明 / 歯の表面をクリーニング
オフィスホワイトニングについての説明と、現在の歯の色の確認を行います。そして、ホワイトニング効果を得やすくするために歯の表面のクリーニングを行います。
<当院で>マウストレーの作製
歯の型をとって、ホワイトニングジェルを塗布するときに使用するマウストレーを作製します。 完成したマウストレーとホワイトニングジェルをお持ち帰りいただきます。
<ご自宅で>ホワイトニングジェルの注入
マウストレーへホワイトニングジェルを注入します。1歯あたり米粒2つ分を目安にします。
<ご自宅で>マウストレーの装着
ホワイトニングジェルが注入されたトレーを装着します。ホワイトニングジェルが歯面全体に行き渡っていることを確認します。装着時間は歯科医師の指示に従ってください。*装着中も自然です
<当院で>経過の確認
ホワイトニング効果の経過確認を行いますので、歯科医師に指示された日に来院してください。
ポイント: ホームホワイトニングで最大の効果を得るためのコツと注意点
ホームホワイトニングは、毎日継続して行った場合、およそ2週間で目に見える効果が現れはじめる傾向にあります。ここからさらに1~2週間続けることで、安定した結果を得ることができるでしょう。ホワイトニングで最大限の効果を得ていただくためにも、ホワイトニング直後の30~60分はなるべく飲食を控え、ホワイトニング期間中は下記のような着色性の強い飲食物にご注意ください。
- 飲み物
- コーヒー・紅茶・烏龍茶・抹茶・赤ワイン・ベリー系ジュース・コーラ・ココア
- 食べ物
- カレー・ミートソース・キムチ・コチュジャン・豆板醤・チョコ・醤油・ソース・味噌・ケチャップ・からし・わさび・その他色の濃いもの・合成着色料が入ったもの
- その他
- たばこ・うがい薬・口紅・色付き歯磨き粉
ホワイトニングよくあるご質問Q&A
ホワイトニングで白くなりますか?
適正に施術された場合は白くなります。
一般的に歯科医院で使用されるホワイトニング薬剤は科学的根拠があり、歯を白くすることが可能となっています。しかしよくあるホワイトニングサロンや、セルフホワイトニングと言った場所ではそうでない場合もあります。
また白くなりやすさは人によって違いがあり、その人の歯の性質によって白くなりにくい場合もあります。歯科医院によって使用する薬剤の商品にも違いがあるので、よく相談しましょう。
ホワイトニングは歯に悪いですか?
歯科医院で適正に行われた場合、歯が悪くなることはありません。
ホワイトニングを繰り返しても、歯が悪くなることは無いと言われています。薬剤により一時歯がしみる症状が出ることもありますが、神経が悪くなることはありません。安心して行ってください。
ホワイトニング歯磨き粉を使うと、家で歯が白くなりますか?
過度な期待はしない方が良いです。
「歯を白くしたいけど、歯医者へ行くのは面倒くさい」という方は多くいらっしゃると思います。インターネットを見ていると、歯を白くする広告も多く見られます。しかし騙される場合もありますので注意が必要です。
歯を白くするには「歯の表面の着色を取る」「歯を元から漂白する」の2つがあります。
基本的に「歯の漂白」は専門の薬剤を使いますので、歯医者さんでしか行えません。
「着色を取る」というのは歯磨き粉の成分でもある程度できますので、白くなる場合もあります。
まずは自分がどちらをしたいのかを明確にしましょう。おすすめとして商品に頼るよりかは、歯医者さんで相談すると間違いありません。