世田谷目黒区、自由が丘駅南口徒歩3分の歯医者
デンタルアトリエ自由が丘歯科の院長の小笠原です。
今回は前歯をセラミックを使った審美歯科治療です。
突然ですが、下の写真で、セラミックを使った歯が1本入っています。
どこか分かりますでしょうか?(^^)/

正解は・・・

ここの歯です(‘ω’)ノ
こちらは分かりやすいですかね!
今回の症例です。
30代女性の方で、虫歯が原因で、前歯の神経治療を行い、
審美的にセラミックを使い仕上げています。
神経を治療した歯は、もろくなるため、補強するためにも
クラウンというかぶせ物をしていきます。
また神経を治療した歯は、色が黒くなるため、かぶせ物で内部の色を見えなくします。前歯は他人から見える場所なので、審美的に治療が必要です。
よく聞く、「歯が黒いのは神経が死んでいるから」ですね(*_*)
では、かぶせ物をしないとどうなるの?
ですが、色が悪くなる他にも
「歯が割れる‼」ということがあります。
神経を抜くために内部をくり抜かれた歯は衝撃に弱く、
硬いものを噛んだら歯が割れた。。。というトホホなことも起こります(;´д`)
まれに、「神経を抜いた歯を、詰め物(レジン)で埋めて終わり。」という治療を行う歯科医師もいますが、おすすめはしません(^^;
「絶対に割れる」ということではないので、いろいろな考え方がありますが、
現在の医学の基準ではないですかねぇ。。
症例に戻ります。
神経を治療した歯は、かぶせ物ができるように土台を立てて(コア)、形を整えます。
そして、周りの歯と色を合わせて、セラミックの歯を作ります。

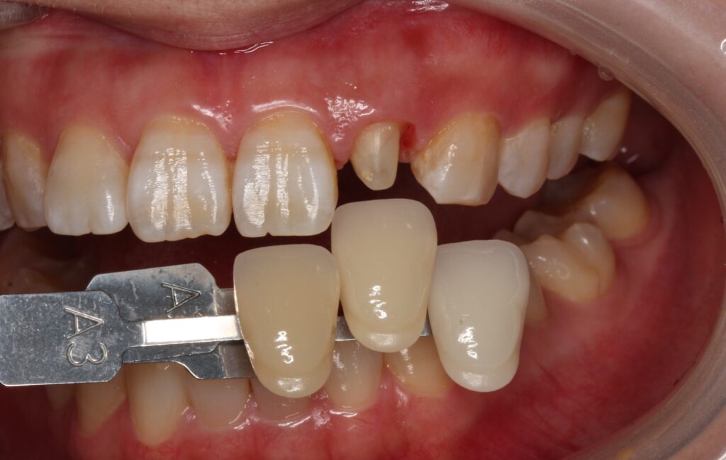
ひと回り歯が小さくなっています。
歯の色見本を合わせている写真です。
ここに歯がかぶさります。
歯型と、色見本を元に、歯科技工士が歯を作製します。
出来上がったセラミックです。

セラミックで作った歯は、色のグラデーションがあり、
透明感とツヤ感により、自然な仕上がりになります。
保険適応の歯は「レジン前装冠」とよばれる、金属とプラスチック樹脂をつかった、かぶせ物が出来上がります。
興味のある方は「レジン前装冠」で検索(・ω・)ノ
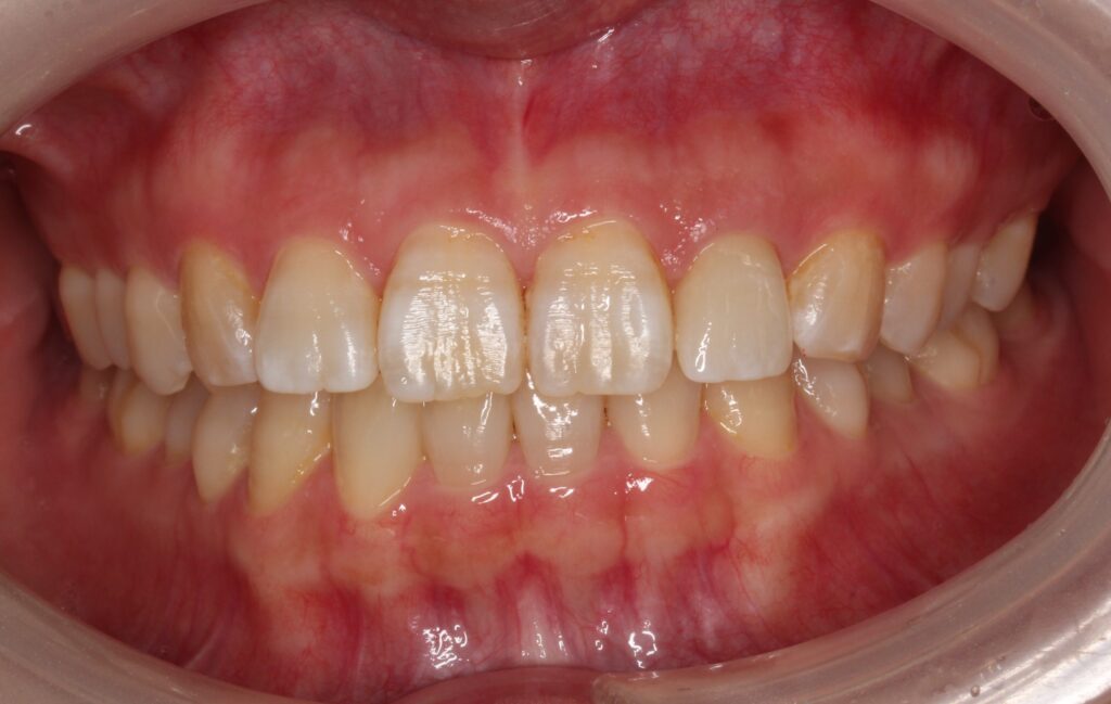
そして、セットした状態がこちらです。

治療したところが分からない仕上がりですね✨

周りの天然の歯よりピカピカしてます(*^^*)
このように、作った歯をかぶせる技術を用いて、
歯を綺麗にすることを芸能人はよくやります。
作ったセミラックは、作り手次第で、色や形を変えられます。
例えば、「陶器のように白い色に仕上げる」「歯の形をそろえる」などです。
しかし、今回のように「治療のために必要な場合」以外は、あまりおすすめしません(*_*)
なぜかというと、「歯は削ると、歯の寿命が短くなるからです」
「審美歯科目的」で「セラミック」を使用する場合は、歯科医師とよく相談しましょう。
もし行う場合は、治療における「欠点」をしっかりと説明してくれる歯科医院で行いましょう(^^)/
当院には、「治した前歯が合っていない」「治療した歯が悪くなった」などの自費治療のやり直しの患者さんが多くいらっしゃいます。
再治療にはさらに費用がかかります。
歯医者選びは慎重に検討してから受けることをおすすめします。
時間とお金を浪費することもあります。
お気軽にご相談ください(^^)/
【治療費】
・セラミッククラウン
費用(税別):1本135,000~180,000円 (別途型取り代)
(色のこだわりに応じて価格が変わります。)
【施術の副作用やリスク】
治療中または治療後に出血や痛みや腫れを伴う場合があります。