こんにちは。
自由が丘の歯医者、デンタルアトリエ自由が丘歯科、院長の小笠原です。
年末ですね!
正月前の駆け込みで、親知らずの検査、抜歯の希望が多いです(^^;
年末ギリギリですと、お正月休診になるので、何かあった時に対応できないのでおすすめしません(^^;
今回の治療例は高校生です。
受験シーズンでもあり、試験期間中に痛みなどでないように早めに対処することはいいことです(^^)
親知らずは、ストレス・睡眠不足・不規則な生活などにより免疫力が低下した際に痛みや違和感など、不快症状がでます。
忙しい時にかぎり痛みが出るのが「歯の症状」です。
早めの検診を心がけましょう(^^)/
【症例】
以前から違和感があり、今回受験前に抜いておきたいとの事です。

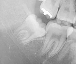
右下の親知らずです。
斜めに生えてきています。
まだ年齢が若いために、歯の根っこが未形成(作っている途中)です。
根っこが出来上がる前は抜きやすいので利点です!
欠点として、まだ歯ぐきの中にあるために切開が必要な事、治療後に腫れが出やすい事が挙げられます。
お口の中の写真です

赤丸の位置に親知らずが潜っています。
親知らずに押されて、手前の歯が矢印方向に動いてズレてきています。
早めの抜歯が推奨されます。
通法通り
切開→分割→抜歯→縫合の手順で進めます。
局所麻酔をしますので、治療中に痛みはありません。
治療時間20分程度。
抜けた親知らずです。

引っかかりが合った部分は削って、分割しています。
治療後の傷口です。

切開して取り出した部分の歯茎は4針縫ってあります。
治療後の感想です。
次の日に気持ち腫れがあったようです。
痛みは出ましたが、痛み止めを飲んでいれば大丈夫との事です。
1週間後に糸を取ります。抜糸します。

傷はきれいにふさがっています。
お疲れ様でした(^-^)
若いうちに抜いておいた方が後が楽ですね!
手前の歯が押されて、歯並びに影響する場合も早めの対応が必要です。
親知らずの相談を受け付けております(^^)/