こんにちは。
自由が丘の歯医者、デンタルアトリエ自由が丘歯科の院長の小笠原です。
今回は症例をご紹介いたします。
20代女性、金属アレルギーがあるために銀歯除去したい患者さんです。
銀歯をセラミックに審美歯科を希望でもあります。
当院の前に、銀座の歯科医院へ行くも、治療内容に不安があり、当院を検索して来院いただきました。ありがとうございますm(__)m
私も前医の治療計画と見積もり等を拝見させていただきましたが、
目が飛び出る料金と、そこまでする必要あるかな?という治療内容でした。
医師の考え方は人それぞれですので、特に異論はありません!
歯医者さん選びは難しいです(^^;
話を戻して・・・
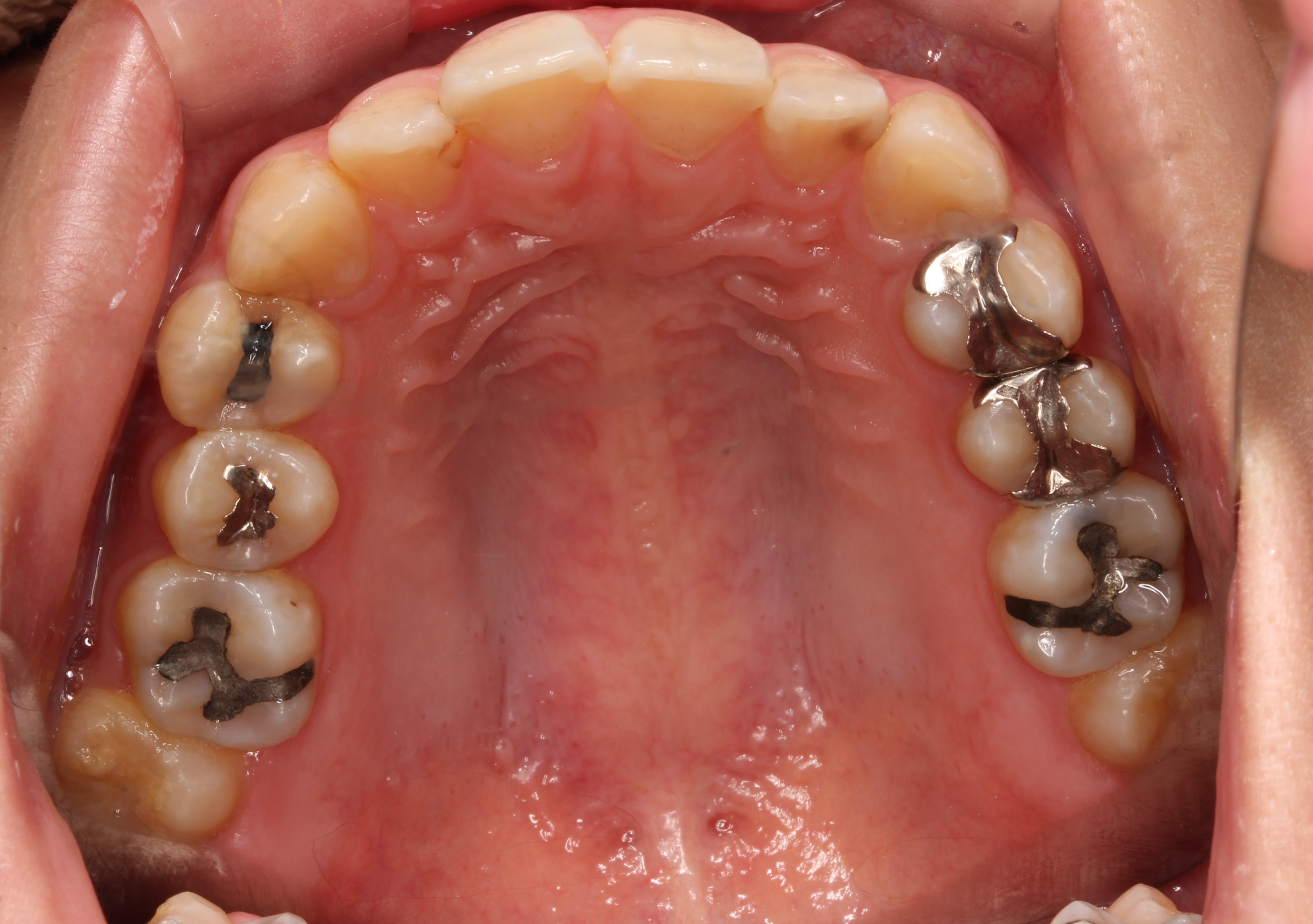
術前写真です。

上の歯には、3本のアマルガム金属と、3本のパラジウム合金が入っていました。
虫歯も数か所あります。

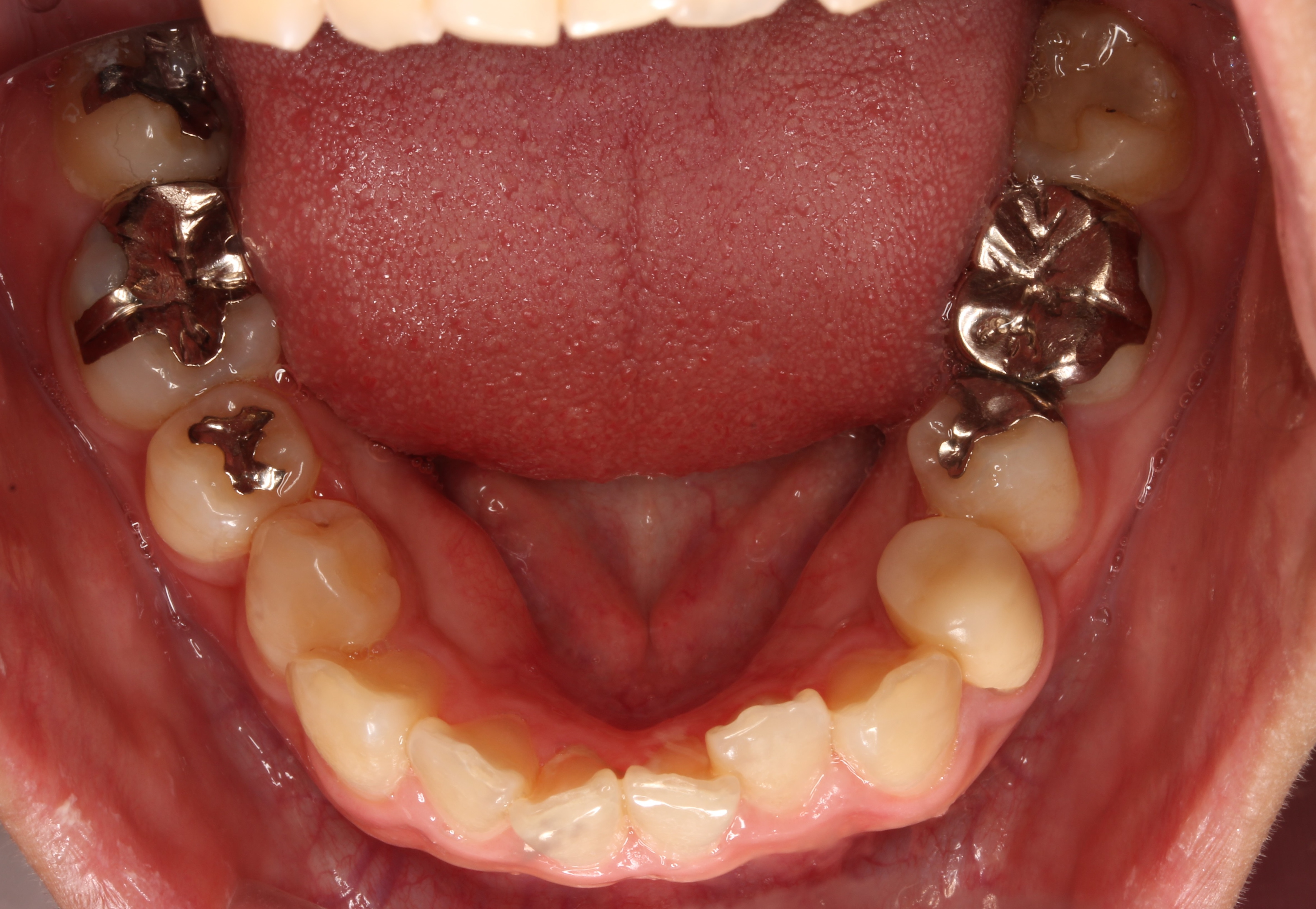
下の歯には、5本の銀歯が入っていました。
銀歯の除去と、虫歯治療を含めて、
治療する歯の本数は16本。
さらに、神経を取った歯の根っこに膿が溜まっていたので、神経の再治療が必要な歯が2本ありました。
患者さんは、治療回数を少なく(短気集中治療)が希望だったために、
治療計画をたてます。
保険治療の範囲では、週一回の通院で半年くらいかかるコースだと思います。
治療方針
虫歯・銀歯の治療は、治療の時間を長くとって、1回の治療本数を多くします。
回数がかかる根管治療に関しては、マイクロスコープ(歯科用顕微鏡)を用いて、確実かつ短期に治癒させます。

☝銀歯の除去後。
銀歯の平均寿命は5年ともいわれ、銀歯の中で虫歯が広がっていました。
治療内容・回数
小さい虫歯や、アマルガムの箇所は自費用のコンポジットレジンによる「ダイレクトボンディング」で1回で治します。
・10本のダイレクトボンディング:治療回数1回
大きい虫歯や、銀歯の箇所は、型取りを行い「インレー」タイプで修復。
神経治療の歯は、ファイバーコアで土台を作り「クラウン」タイプで被せ物をします。
・根管治療(マイクロスコープ):治療回数2回
・6本のセラミックインレーと、2本のセラミッククラウン:治療回数2回
治療回数の合計:5回の通院で治療終了
ダイレクトボンディング
部分的に樹脂の材料をつめて、その場で歯の形を整形します。
マイクロスコープ(根管治療)
神経治療は一番回数がかかる治療かもしれません。何度も歯医者に通って根っこをお掃除します。
マイクロスコープを使うことで、神経内部の汚染を肉眼で確認できるので、短期間で神経の治療を行うことが出来ます。
☟当院での治療動画です。
セラミック治療
虫歯の範囲が大きい場所や、神経治療の後は
型取りをして、つめものを歯科技工士に作製依頼をします。

当院の精密な型取りは、シリコン材料を使います。
シリコン材料が固まると、ほぼ変形をしない精密な材料です。高価です。
通常歯医者で用いる、ピンク色の型取り材料は「アルジネート」と呼ばれる材料で、温度や湿度、時間によって寸法が変化してしまう材料です。精密材料ではありません。

フェイスボウを行い。顎の動きと噛み合わせを記録します。
☟記事参考
https://dental-atelier-jiyugaoka.com/20181020/1124/

出来上がったセラミックです。
グラデーションがあるので、天然の歯と色を合わせる事が可能です。
色の変色はありません。


咬合器を用いて、噛み合わせと顎の運動を確認します。

フェイスボウを用いて診査を行う歯科医院は、日本では数が少ないです。
ビフォーアフター
☝上の歯
銀歯がなくなると口元がパッと明るくなります(^^)
患者さんも喜んでいただきました。
良くお話しを聞いたうえで、
分かりやすい説明と、よく相談をして治療を行っていきます。
銀座よりもかなり安価で終わりました(^^;
当院での精密治療は、
良い材料、しっかりとした検査、専門の歯科技工士による補綴物の作製など、
高品質で安価な治療を行っています。
またトップレベルの感染防止対策を行っている病院です。
歯のご相談をお待ちしております(^^)/