世田谷目黒区、自由が丘駅南口徒歩3分の歯医者
デンタルアトリエ自由が丘歯科の院長の小笠原です。
奥歯の部分的なセラミックの詰め物(インレー)の症例です。
50代女性。
「以前詰めた白い詰め物が欠けた」「ついでに銀歯も新しく白くいたい」という患者さんです。
お口の中の状態
左下奥歯の歯です。
お口の中を見てみると、

奥歯が2本銀歯が入っており、手前の歯(矢印)が欠けています。
白い詰め物が一部残っているところがありますね。
欠けてしまった白い詰め物の材料
ここに詰めてあった材料は、
一般的に「ハイブリッドインレー」と呼ばれる材料です。
インレーとは部分的な詰め物を言います。
材料の素材はというと、歯医者さんでよく言われる説明は「セラミックとプラスティック樹脂(レジン)の合わせたもの」とも言われます。
しかしセラミックとは違い、例えると「強化プラスティック」のようなものです。
名前に「セラミック」が入っていますが、オールセラミック(100%)とは違うものと考えた方が良いです。
強度は天然の歯より柔らかく、今回のように数年後に壊れるのをよく見かけます。。。
奥歯の銀歯も交換希望なので、すべてやり替えましょう(^^)/
しかしセラミックとは違い、例えると「強化プラスティック」のようなものです。
名前に「セラミック」が入っていますが、オールセラミック(100%)とは違うものと考えた方が良いです。
強度は天然の歯より柔らかく、今回のように数年後に壊れるのをよく見かけます。。。
詰め物を外します
まずは詰め物を全部外します。
銀歯は削り取って除去します。

外してみると、あまりきれいな感じではないですね(^^;
セメントという接着剤も残っているので、削って綺麗にしていくと、

内部に黒い虫歯が認められます。
う蝕検知液という虫歯を染色するお薬を使っています。
赤く色が残っている所が虫歯が残っています。

検知液で染まらない所まで丁寧に虫歯を取ります。
黒い場所が残っていますが、検知液で染め出しされないので、
長年虫歯や、銀歯があった影響で、歯に着色が入り込んだ箇所です。
全て削ると神経が出てきてしまうので、ここまでにしましょう。
虫歯が深かったところに、レジンでコーティングをします。

最終で形を整えて、型取りを行います。

色見本を照らし合わせて、その人の歯の色の色合わせを行います。
今回はセラミックでインレー(部分的な詰め物)を製作します。
セラミックは100%セラミックで、質が劣るハイブリットとは異なりますm(__)m

内部に黒い虫歯が認められます。
う蝕検知液という虫歯を染色するお薬を使っています。
赤く色が残っている所が虫歯が残っています。

検知液で染まらない所まで丁寧に虫歯を取ります。
黒い場所が残っていますが、検知液で染め出しされないので、
長年虫歯や、銀歯があった影響で、歯に着色が入り込んだ箇所です。
全て削ると神経が出てきてしまうので、ここまでにしましょう。

最終で形を整えて、型取りを行います。

色見本を照らし合わせて、その人の歯の色の色合わせを行います。
今回はセラミックでインレー(部分的な詰め物)を製作します。
セラミックは100%セラミックで、質が劣るハイブリットとは異なりますm(__)m
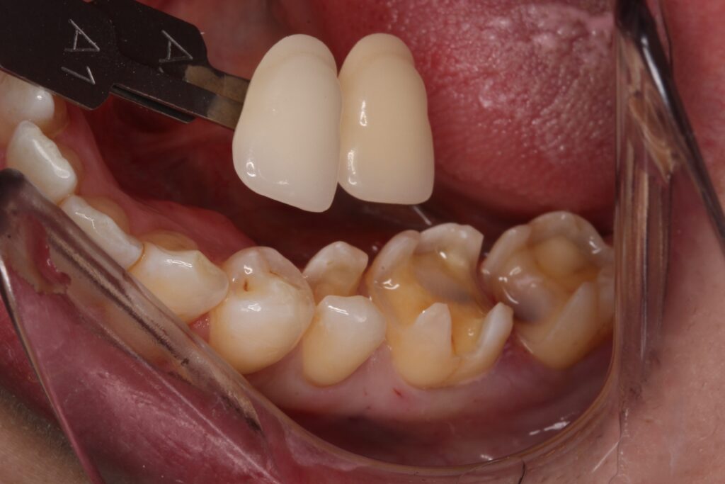
セラミックをセットします
セットした状態です。

銀歯がなくなり、本来の歯の色、、より明るくなったかな?
綺麗に仕上がりました(^^)/
患者さんも銀歯がなくなり喜びをいただきました。
セラミックは壊れる?
たまに、患者さんから
「セラミックも割れやすいと聞きます」と質問があります。
それは正解でもあり、不正解でもあります。
現在のセラミック材料は、本来の歯と同じかそれ以上の物理的強度があります。材質的に問題はありません。
しかし、材料の厚みや、はめ込む歯の状態を考慮しなければ割れてしまいます。
適切なセラミックと歯の形を整えて、材料の特性を理解して扱うことで、
壊れるのを防ぐことができます。
患者さんの中には、噛む力がものすごく強い方。歯ぎしりをされる方。など、
どうやっても壊れてしまう方も稀にいらっしゃいます。
その際は、「ジルコニア」を使用したり、「金合金」を使用したり相談をします。
当院には、前の歯医者でセラミック治療を受けたが、毎年壊れて、その都度お金を支払い、不審に思って転院されたという患者さんもいらっしゃいます。
その方は当院で同じようにセラミックで治療をしました。
しかし箇所は3年程経過しますが、未だやり直しをしていません。
セラミックの扱いは歯科医師の技量で差が出ます。
お気軽にご相談を(^^)/
しかし、材料の厚みや、はめ込む歯の状態を考慮しなければ割れてしまいます。
適切なセラミックと歯の形を整えて、材料の特性を理解して扱うことで、
壊れるのを防ぐことができます。
どうやっても壊れてしまう方も稀にいらっしゃいます。
その際は、「ジルコニア」を使用したり、「金合金」を使用したり相談をします。
その方は当院で同じようにセラミックで治療をしました。
しかし箇所は3年程経過しますが、未だやり直しをしていません。
お気軽にご相談を(^^)/
【治療費】
・セラミックインレー
費用:1本 88,000円
(将来的に値段が変わる場合があります)
【施術の副作用やリスク】
治療中または治療後に出血や痛みや腫れを伴う場合があります。