世田谷・目黒区、自由が丘駅南口徒歩3分の歯医者
デンタルアトリエ自由が丘歯科の院長の小笠原です。
審美歯科をしてもらいたいという60代、男性の方です。
昔治療した銀歯や、黒くなった前歯の差し歯を白く、ホワイトニングをしたいというお口の中を全体的に綺麗にしたいという患者さんです。
歯並び矯正の希望はありませんでした。
お口の中の銀歯や古い差し歯は、誰もが気にするコンプレックスとなります。
50代、60代になって、今後の人生を豊かに気持ちよく過ごしたいという方が当院には多くいらっしゃいます。
では、今回の治療にいきましょう(^^)/
早速、お口の中のビフォーアフターです。
正面からの見た目です。

まずパッと全体的に白く明るい口になりました。
ホワイトニングの効果で黄色い歯も白くなっています。
そして一番気になっていた、前歯の差し歯です。
差し歯、被せた歯の根元が黒くなっていましたが、治療したことにより自然な仕上がりになっています。どこを治療したのか分からないくらいですね。
患者さんは喜んでくれています(^^♪
口元を気にせず自信をもって大きく笑えますね!
マスクを外す生活になってきましたので、口元が綺麗だと印象がいいですよね。
後は奥歯の古い銀歯をセラミックに交換しました。
上の歯の全体ですが、

昔の治療なので、奥歯のほとんどが銀歯です。
銀歯を全て取り除き、セラミックに変えましたのでお口の中が白く綺麗になっています。
下の歯も同じように、

下の歯の銀歯は患者さんは自分で見えるところなので、
気になる方は多くいらっしゃいます。
全体的に白くなり患者さんも満足していただけました。
銀歯も悪いことだけではありません。
この方の銀歯は10年以上前の治療とのことです。
また前歯は30年も前のものとの事です。
それだけお口の中で「長持ちした」とも言えるでしょう。
銀歯のメリットは耐久性に優れた材料ということです。
昨今の治療のメインである「レジン」というプラスティック樹脂ですが、
白く手頃で良いのですが、耐久性は本物の歯の半分以下。
長年使用するとすり減りもあります。
今回の方は安定して銀歯が入っていた影響で噛み合わせも悪くならず安定していました。
今回とても苦労した治療がありました。
前歯の差し歯のやり直しです。
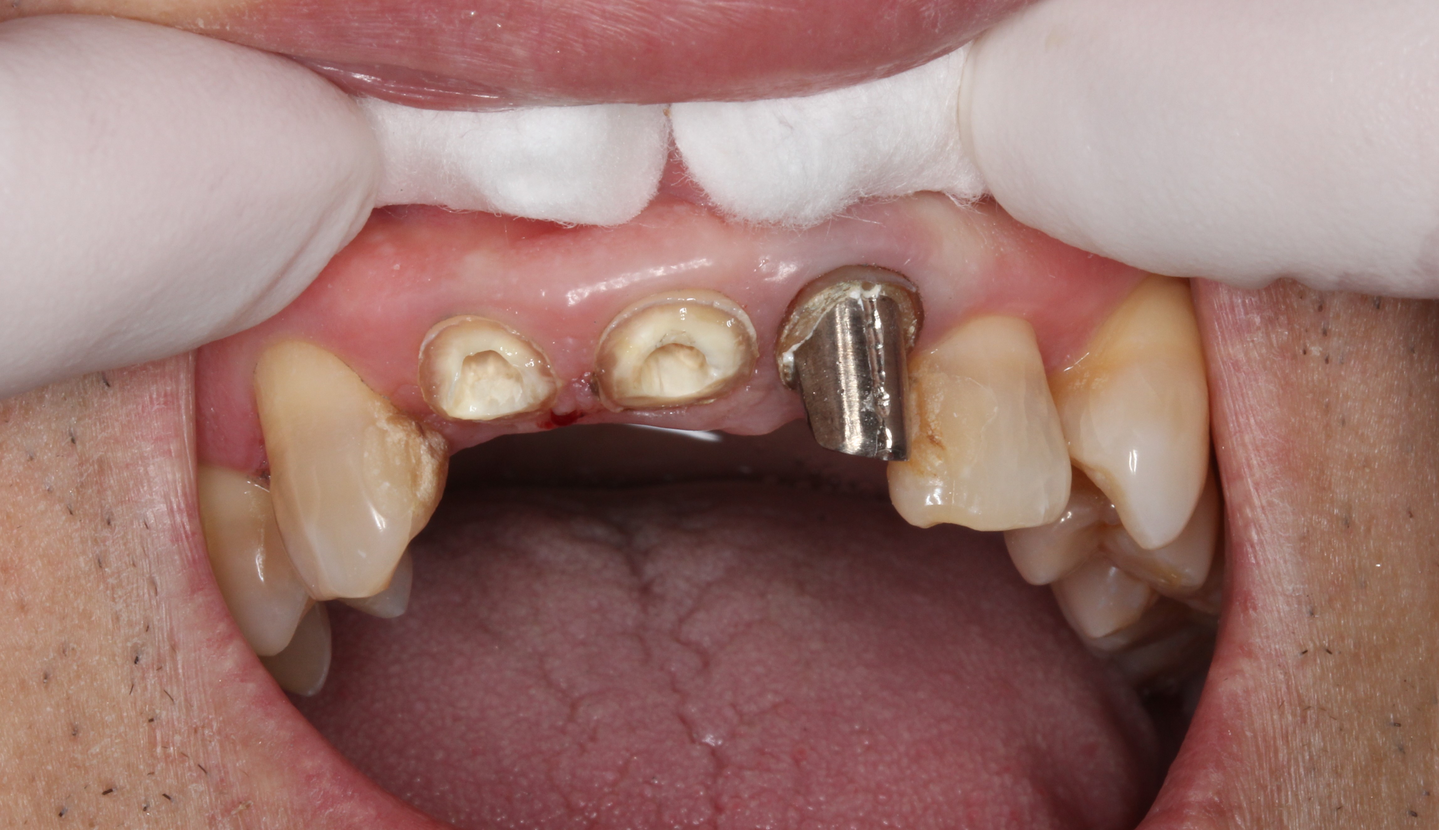
神経を取って差し歯にしてあるのですが、古い治療なので「メタルコア」と呼ばれる心棒が入っていました。そしてさらに太いメタルコアでした。
エックス線(レントゲン写真)です。

今回治療した前歯3本ですが、レントゲンで白く写っている

金属の心棒が太く長く差し込まれています。
メタルコアは金属で折れることがありません。
差し込んである歯は柔らかく、金属の心棒に負担をかけると歯が割れてしまいます。
実際に「歯根破折」は差し歯にしてある歯に多く、歯が割れたという方の理由の主な原因にもなっています。
歯が割れると、歯根破折といって歯を抜歯しなくてはいけません。
そのため太く長いコアが入っていると担当医から治療の断念を告げられることもあります。
当院でも患者さんにはリスクを説明し治療を行っています。
また今回の差し歯を外していくと、

スリットを入れて削って外していきます。
前歯は連結といって繋がっているのですが、

外れました。
1本だけメタルコアが残っています。
実は外した2本ですが、

歯冠継続歯(ポストクラウン)と呼ばれる、コアと歯が一体型になった差し歯です。歯が割れやすいため現在では保険でも適応外の治療となっています。
1本ずつばらばらに切断していますが、
実際は3本連結し、1本だけは被せ物(クラウン)で、2本は継続歯を全て繋げているという、何とも大変な治療になっていました。
そのおかげで歯が割れなかったのかもしれませんが(-_-;)
それを取るこちらの苦労。
少しでも力のかけ方を間違えると歯が折れます。
技術力が試される高難易度な治療でした。(もうやりたくありません)
しっかりと根を清掃し、今度はファイバーコアと呼ばれるグラスファイバー製の土台を立てます。
そして、歯の色を記録。

歯科技工士に、その方に合った自然な歯を製作してもらいます。
そして出来上がったセラミッククラウン。今度は1本ずつ単独です。

歯のグラデーションや色調を合わせ製作してもらいます。

ジルコニアセラミッククラウンといって、
ベースをジルコニアとよばれる材料(人工ダイヤモンド材料)
表面がセラミックで色調を合わせています。
そして最初にもお見せしましたが術前と術後になります。

今回は割愛していますが、歯周病の治療も行い歯ぐきも健康に改善させています。
そのため写真の矢印にもありますが
前歯の歯ぐきの段差を少なくし、自然な美しさに仕上げています(^^)/
ホワイトニングも行い全体的な歯の色も白くしているので、
白い歯が綺麗におさまっていますね。
治療お疲れさまでした(*^-^*)
【治療費】1,771,000円(税込)
・ジルコニアセラミッククラウン(前歯):3本
・セラミッククラウン(ジルコニアクラウン):3本
・セラミックインレー:8本
・ファイバーコア:3本
(+別途型取り代がかかります)
(ホワイトニング費用は表示していません)
※この記事記載時の料金です。
治療の計画や費用については、最初に患者さんとしっかりとお話をし、
無理のないように決めていきます。まずはお気軽に相談ください。
お口のコンプレックスでお悩みの方が多くいらっしゃいます。
頑張って治療することで今後の人生で生活の質を良くすることができます。
【施術の副作用やリスク】
治療中または治療後に出血や痛みや腫れを伴う場合があります。
※学術的内容ではなく、一般の方のための内容であり、簡略化して説明編集してあります。