虫歯は進行に応じて治療の方法が変わります。
患者さん自身が「このくらいの虫歯すぐ終わるでしょ?」と考えていても、実は虫歯が進行しており、「簡単に終わらない」ということもあります。
歯医者さんで虫歯と言われた際に、どのような治療があるのが気になりますよね。近年、虫歯の治療に使われる材料が多くあり、インターネットで検索しても「銀歯」「白い歯」だけでなく、「ジルコニア」や「CAD/CAM(キャドキャム)」など聞きなれない材料の情報が載っていて、正直何がいいのか分からない、という声をよく聞きます。
今回の記事の内容は
・虫歯の進行による治療方法
・使われる材料
・虫歯治療の費用と治療回数
についてお話します。
今回の記事で虫歯の治療方法について少しでもご理解いただければと思います。
💡虫歯の進行による治療方法
虫歯は放っておくと進行し、治療の内容も変わります。
そもそも虫歯とは「歯が溶ける病気」です。歯がどのくらい溶けているか?によって治し方が変わってきます。
一般的に虫歯レベルは「C0~4」と言われます。進行段階と治療を順を追ってみていきましょう。
初期の虫歯(C0~1)の治療法
虫歯でもC0~C1は、初期虫歯と思ってもらえば良いです。


左の図はC0、右の図がC1
C0は:歯の表面の虫歯
C1は:エナメル質に侵入した虫歯
とされます。実際にはエナメル質の厚みは2~3㎜ほどと、虫歯の進行を肉眼で確認するのも判別がつきずらいレベルです。もちろん患者さんには、痛いなどの自覚症状はありません。
この時期の治療は経過観察がメインです。歯ブラシなど日ごろのケアをしっかりと行い、歯医者さんではフッ素塗布をしてもらうことで、虫歯の進行を停止させることもできます。
ただエナメル質が溶けて凹んでいる、欠けているなど、汚れがたまり虫歯のリスクが上がってしまう場合は、治療することもあります。その際は、コンポジットレジン(プラスチック樹脂)で埋めるレジン充填が行われます。
軽度の虫歯(C2:範囲が小さい)の治療法
C1から進行が進むとC2の虫歯となります。

C2の虫歯はエナメル質より内部の、象牙質へ侵入した虫歯です。そして、C2でも虫歯範囲の小さいものを軽度な虫歯とされます。C1と違い、肉眼やレントゲン写真検査でも確認できるレベルになるために、この時期から治療がされることが多いです。
治療方法はレジン充填が主に行われます。

・象牙質に進行されている虫歯C2
黒く茶色いところが虫歯です。歯の内部に侵入されています。

・レジン充填(CR)
虫歯を取りきったあとに、コンポジットレジン(プラスティック樹脂)にて詰めてあります。
レジンは白い材料です。歯の形に合わせて成形して詰めると治療が終わります。
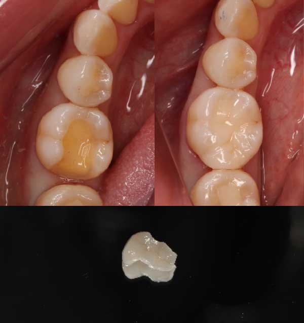
中等度の虫歯(C2:範囲が大きい)の治療法
軽度な虫歯に気づけなかった場合や、放置した場合は、さらに虫歯が侵入して歯が溶けていきます。前の記述の初期虫歯と同じC2なのですが、虫歯範囲が大きくなった分、広範囲に歯を修復しなければなりません。その場合、レジン充填では対応しきれないことが多いです。
治療法はインレー修復といって、部分的な詰め物を製作し、歯に取り付けることで治療が終わります。

さらに歯の内部に虫歯が侵入し、黒い虫歯の範囲が広がっています。虫歯により健康な歯の残量が少なくなり、歯の修復範囲も大きくなります。

・インレー修復
こちらは保険治療で銀歯が入っています。
虫歯を取り、歯を削ったところに、元の歯の形に合わせたインレーを製作し、歯に装着して治療が終わります。

・インレー修復
こちらは自費治療でセラミックの白い歯が入っています。
銀歯の時と同じように、歯の形に合わせて製作したセラミックインレーを歯に装着して治療が終わります。
※材料に関しては次の項目の「使われる材料」で説明します。
重度の虫歯(C3)の治療法
C2からさらに虫歯が進んでしまうと、歯の中にある歯髄(しずい)という神経の部屋にたどり着きます。

図では歯の中にある赤い場所、歯髄に虫歯が入り込んでいます。歯の神経が虫歯に感染した場合、感染した神経を治療しなければなりません。神経を治療しないと、後に神経に激しい痛みがでたり、膿んで周りの歯ぐきが腫れてきたりします。
治療方法は抜髄(ばつずい)といって、神経を取る(神経を抜く)処置がなされます。
神経を取る治療に関してはこち≫≫「虫歯で神経を取ると言われたがどうしたらいい?」で詳しく説明していますので参考にしてください。
歯は最終的にはインレー修復ではなく、クラウンという全体的な被せ物(冠)が入ります。
崩壊した虫歯(C4)の治療法
C3の虫歯をさらに放置しておくと、歯の大部分が虫歯で崩れてしまいます。C4といって歯の根だけ残っ他状態です。歯の神経も死んでしまい、もう痛みを感じることもなくなります。

虫歯で溶けて、歯の大部分が崩壊している状態です。どんどんと歯の中に細菌が入り込んで感染が広がっています。歯の根の先に膿が溜まってくると、歯ぐきが腫れを繰り返します。
治療方法は抜歯となります。歯を抜いた後は、入れ歯、ブリッジ、インプラントなど歯を入れる処置が必要です。
《虫歯のまとめ》
虫歯は早めに治療するほど、歯を削る量も少なく治療も早く終わります。しかし自分で初期虫歯に気づくことは難しいのが実際です。
C0~C1では痛みはなく、C2の虫歯でも痛みが無い場合も多くあります。注意しなければいけないことは「痛みが出た時には遅い」ということです。「痛みが出る=神経が反応している」という事ですので、かなり神経近くまで虫歯が進行してる可能性があります。中等度から重度の虫歯になっている状態ですので、治療範囲は大きくなると思われます。
歯医者さんで定期的に検査しなければ早い段階の虫歯は発見できません。虫歯にならないように予防するのが一番ですが、定期的に検診をして虫歯になっていないか確認してもらいましょう。
💡虫歯治療に使われる材料
歯を治す(修復する)ときに使われる材料には種類があります。近年医療の発展とともに様々な材料が新しく出てきました。そして材料が多いからこそ何にしたら良いのか悩んでしまいます。ここでは現在使われる材料について説明していきましょう。
・保険で使われる材料
・自費で使われる材料
・現在は使われないアマルガム
保険で使われる材料
銀歯
現在でも日常的に使われる「銀歯」です。通常用いられるのはパラジウム合金という混ぜ合わせた金属です。その銀歯には何が含まれているかというと、組成は金12%、パラジウム20%、銀50%、その他18%というのが一般的と思われます。
見た目が「銀色」ということで銀歯と言われますが、他にも使われる銀歯もあります。
・銀合金(銀をメインとした合金)
・チタン(チタン冠)
なども保険で使われる場合があります。
多くの割合ではパラジウム合金を使用されますが、パラジウムは近年の価格の高騰で材料費がかかるため、歯科医師から忌避されることが多くなってきました。保険治療では説明がないことも多く、実際に何の銀歯か分からない場合もあります。
【銀歯のメリット】
・耐久性がある
【銀歯のデメリット】
・金属アレルギーが起こる場合がある
・見た目が悪い
・汚れが付きやすい
銀歯のメリットである耐久性。保険の範囲内では奥歯やブリッジといった力のかかる歯では今でも銀歯が多用されます。
銀歯の持ちは5年~7年とも言われ、銀歯の隙間から虫歯になったり、銀歯が取れたという事が起こりやすいです。
レジン(コンポジットレジン):プラスティック樹脂
レジンは簡単に言うプラスティックの合成樹脂です。レジンは白い材料で、その場で埋め固めることができるので、現在では多くの虫歯の治療で使用されます。見た目が白いので銀歯が嫌な場合に使われることも多いです。
光を当てると固まる性質があるレジンなので、虫歯を取ったところに流し固めて形を成形することで簡単に虫歯の治療が済みます。小さい範囲の虫歯に使うにはメリットのある材料です。広範囲に使うと耐久性の無さから、すり減りや、壊れるといったことが起こるので注意が必要です。
【レジンのメリット】
・歯と同じように白い材料
・歯をあまり削らないで修復できる
【レジンのデメリット】
・耐久性が無い
・変色する
耐久性がないといことは経年的に劣化をするという事です。そのため、銀歯が嫌だからといって広範囲の虫歯でレジンを使用すると、逆に歯を痛めてしまうこともあります。あくまで小さい範囲の虫歯の修復に使用するのが望ましいです。
CAD/CAM(キャドキャム):ハイブリッドレジン
令和に入り保険に導入されたキャドキャムですが、成分はレジンです。従来のコンポジットレジンより強度があると言われてはいます。詰め固めるコンポジットレジンと違い、固まったレジンをを削って成形する作り方をします。コンピューターで設計、製作をするのでCAD/CAMという名前が付けられています。
コンポジットレジンより強度があると言われるので、インレーやクラウンといった、レジンより範囲の大きい虫歯の修復に使われることもあります。しかし使える範囲が決められています。
【CAD/CAMのメリット】
・白い材料で銀歯より目立たない
・適応によりインレー、クラウンにも使える
・アレルギーの心配がない
【CAD/CAMデメリット】
・白い材料だが透明感が無く、歯の色が合わない場合がある
・奥歯では使えないこともある
・金属やセラミックと比べ耐久性は低く、割れたり取れたりする可能性がある
・傷つきやすく汚れが付きやすい
近年の金属の高騰や、金属アレルギーの問題から導入された材料です。基本的に成分がプラスティックということもあり、奥の歯など力が強くかかる場所には使えないなど制限があります。制限があるということは、割れたり欠けたり、取れたりとトラブルが起こる可能性があるということです。治療のやり直しは歯に負担がかかります。あくまで保険で安価に使える材料です。担当医と相談して決めましょう。
自費で使われる材料(保険適応外)
ハイブリッドレジン(ハイブリッドセラミック)
ハイブリッド(インレー・クラウン)と呼ばれることが多く、病院によっては「自費レジン」「ハイブリッドレジン」「ハイブリッドセラミック」など呼び方が違う場合があります。ハイブリッドセラミックの場合「セラミック」と名前についているのですが、セラミックではなくレジンです。セラミックとレジンを混ぜた材料と説明をする歯医者もありますが、基本はレジン材料です。
「セラミックの歯を入れた」と思っていたが、セラミックではなくハイブリッドだったという事も多くあります。ハイブリッドに比べセラミックの歯は値段が2倍ほど高いです。
ハイブリッドレジンということで、後発的に製作されたCAD/CAMハイブリッドレジンと性質は同じようなレジン材料です。そのため自費のハイブリッドのメリットとデメリットは、上記の【CAD/CAMのメリット・デメリット】とほとんど同じです。
違う事とすると、使える範囲に制限はなく奥歯でも使用することができます。しかしあくまでレジン材料ということがありますので、耐久性を承知の上で使うことが必要です。また自費ハイブリッドレジンはオーダーメイドで歯の色を合わせて製作することが可能となります。より審美的に歯を仕上げることができます。
セラミック
歯医者さんでセラミック治療というと基本的にこちらのセラミックにあてはまります。
セラミックは昔から使われる材料で、素材は陶材です。陶磁器、つまりお皿などと同じ素材で作られます。また近年はガラスセラミックスといい、ガラス材から作られたセラミック(e.maxなど)もあります。輝きと透明感があり自然な歯の色を再現できるため、審美的に使われています。
セラミックは歯や金属、ジルコニアなどと接着させることができるため、セラミック100%の単体(オールセラミック)で製作することはもちろん、メタルボンド(金属と)や、ジルコニアセラミック(ジルコニアと)など、合わせて作られることもあります。そのため前歯から奥歯まで全ての歯に使うことができ、インレーやクラウンなどの範囲制限がありません。
陶器のお皿と同様に経年的な劣化がなく、体の中でも長い年月安定して使用できるために、より良い材料として選ばれています。
【セラミックのメリット】
・審美性に優れる
・アレルギーの心配がない
・変色や劣化がない
・汚れが付きにくい
【セラミックのデメリット】
・衝撃で割れてしまうことがある
・他の材料に比べ歯の削る範囲が多い
・費用が高い

セラミックで作られたインレーとクラウン
一見すると天然の歯のように見える。
自然の歯の仕上がりに作ることができる。

セラミックインレーが入った状態。
どこを治療したのか分からない仕上がりですね。
ジルコニア
近年よく使われるようになったジルコニア。人工ダイヤモンドとも呼ばれ、強い耐久性があります。
ジルコニアはセラミックス材料ですので、広義の意味でセラミックに含まれます。そのため上記の「セラミック」と性質は同じです。アレルギーの心配はなく、汚れも付きにくく、劣化をしない長期間安定する材料です。ジルコニアのメリット・デメリットは「セラミック」と比較して考えましょう。
【ジルコニアのメリット】
・セラミックに比べ壊れにくい(耐久性がある)
・ブリッジなど連結して歯が作れる
【ジルコニアのデメリット】
・セラミックに比べ色が合わない

ジルコニアインレーの入った歯
ジルコニアは透明感が無いため、部分的に詰めると白く浮いたように見える。
セラミックとジルコニア、とちらを選択したらよいか迷われる方が多くいらっしゃいます。どちらもセラミックス材料ですので、長期間の安定性には優れています。しかし、お口の中の状況はひとりひとり違います。歯ぎしりや食いしばりをする方や、噛む力が強い方。歯の大きさが小さい方など、その方に合った材料を選択する必要があります。
例えば、ジルコニアはその耐久性から、噛み合う歯に弱い材料が入っていると、そちらにダメージがくる場合もあります。安易に自分で決めずに担当医と相談し決めるのが良いと思います。
金:ゴールド、金合金、白金加金
金(ゴールド)を主な素材としています。
金合金は、配合される金の純度によって20k、18kと言われます。歯科で使われる場合18k、14kが主に使用され、合金の配合により硬さの性質が変わります。
20kを超えると柔らかく耐久性が低くなりますので、金の純度が多ければいいというわけではありません。
白金加金は、金合金にプラチナが配合され硬さと耐久性が上がっています。
どの金歯が使われるかは歯医者さんによって違いがあります。どれが一番優れているというわけではありませんので、ほとんどの場合、担当医の好き好みで選択されます。
【金合金のメリット】
・耐久性が高い(壊れることがない)
・歯を削る量が少ない
・アレルギーは少ない
【金合金のデメリット】
・金色なので審美的にはよくない
・金の相場で値段が変わる場合がある
金属系の材料はセラミック系の材料と違い割れるということはありませんので、耐久性が高く長持ちする材料です。歯ぎしり食いしばりが強い方、噛む力が強い方でもトラブルが少ない特徴があります。※ジルコニアでは割れることもあります
また金は馴染みが良く、噛み合う歯に負担をかけません。逆に噛み合う歯がジルコニアの場合、金が減りますので注意が必要です。

歯が欠けたと来院された患者さん。
他院で前に入れたセラミックインレーと、自身の歯の一部分が欠けてしまった。

ゴールドインレーで修復。
5年経過するがトラブルはまだない。
自費コンポジットレジン(ダイレクトボンディング)
レジン(コンポジットレジン)の治療でも自費で施術される場合もあります。その際、保険のレジン充填と違いをつけるため「ダイレクトボンディング」と言われることもあります。(意味としては「直接、歯に接着させる治療」ということで、レジンを詰めることと同じです)
保険のレジン充填と、自費のレジン充填の大きな違いは治療の精度の高さです。レジン充填では、歯の形や色を合わせる技術的な精度は担当する歯医者の腕によります。
レジン充填では、お口の中で直接レジンを成形し歯の形に仕上げていくので、正直、歯医者によって仕上がりに違いがあります。また、接着力を向上させるためにラバーダム防湿という水分を遮る器具を使用したり、使う薬剤を良いものにしたりと、治療の精度にコストと時間をかることで、レジンの持ちを良くすることができます。つまりレジンの耐久性が上がる、劣化しにくくなるとレジン充填をした歯の寿命が延びるということです。
もちろん保険のレジンとは別に、自費専用のレジンもあります。が、しかしどちらも同じレジン材料です。レジンはセラミックとは違い、いずれ経年劣化をする材料です。ですので自費のレジンを使ったら長持ちするというよりは、先生の技術力が直接影響します。そのため保険適応外で行われることが多いと思われます。

保険治療では仕上がりが良くても悪くても治療費が一律でかかります。(左図)
精度よく仕上がりを綺麗にするのには歯科医師の腕が必要です。(右図)
現在は使われないアマルガム
過去に保険適応され、虫歯の治療で主に使われていた金属材料に「アマルガム」というものがあります。
金属材料から耐久性があり、さらに抗菌性を有し虫歯になりにくい特徴があります。中高年のお口の中には現在も存在する詰め物です。つまり長い年月持っている材料ということです。
2000年に入り国内ではアマルガムの製造は中止され、現在一般的に使われることはほとんどありません。

アマルガムが充填されている歯
パラジウム合金と違い、光沢の無い銀歯。アマルガムの成分で歯が黒く変色している場合が多い。
「アマルガム=体に悪いもの」というネット記事が多く書かれているが、既にお口の中にあるアマルガムについては問題ありません。学会でも安全性に関して発表していますので、こちらをご覧ください☟
「アマルガムに関するQ&A」
💡虫歯治療の費用と回数
虫歯治療は虫歯の大きさ、進行度合いによって費用と治療回数が変わってきます。また保険適応外の材料や治療法を選択すると、自費治療となり費用が高くなります。
保険治療は全国一律で国から料金が決められており、その時に行った治療費が請求されます。その内容は会計時にもらえる診療明細書に記載があります。
保険適応外の治療費は、歯医者さんのホームページに料金表の記載があります。ホームページに料金表が無い場合も多くあります。その際は、来院時もしくは事前に聞くのが良いと思います。
🦷保険治療の虫歯治療の治療費と回数
保険診療は全国どこで受けても治療費は同じです。保険診療にはルールがあり、国に決められた治療に沿って行われます。
現役世代は負担割合が3割となります。3割負担の治療費目安を記載してあります。
国で決められた治療内容では、歯石取りなどの衛生指導を行うことも決められています。治療費と歯石取りの料金、または通院の管理費なども一緒に請求されますので、目安として参考になさってください。
また保険診療の料金は定期的に厚生労働省により改定がされます。
小さい虫歯の場合
C1~C2の軽度な虫歯の場合、虫歯を取ったところにレジンを詰めて終了します。そのため1本の歯の治療にかかる回数は1回。1回でまとめて2,3か所行われる場合もあります。
レジンを詰めて終わる場合の治療費は1本1000円~2000円ほど。
※同日に歯石取りなど別の処置を行った場合は追加費用がかかります。
中等度~大きい虫歯の場合
C2の中等度から大きい虫歯の場合、大きさや範囲によって変わります。治療にかかる回数は2~3回。
1回の治療費は1000~2000円前後。(虫歯処置や型取り代金として)
最終的にインレーやクラウンといった被せ物が入るとその時に費用がかかります。
インレー(詰め物)1本2000円~3000円前後。
クラウン(被せ物)1本5000円~7000円前後かかります。
つまり初診から数千円~1万円ほどかかります。
※銀歯の場合、金属の相場によって変動があります。
※同日に歯石取りなど別の処置を行った場合は追加費用がかかります。
重度虫歯の場合
虫歯が神経に達しているC3の虫歯の場合、根管治療が必要になります。治療にかかる回数は、根管治療で2回~4回。さらにクラウンの歯を作る治療で2回~3回かかります。根管治療が必要になるとトータルで4回~8回前後の通院がかかります。
根管治療の治療費はトータル4000円~7000円ほど。クラウンも合わせると1万円~2万円前後かかります。
前歯と奥歯によって違いがあり、歯の神経の本数や難易度によって回数や治療費が増えることがあります。
🦷自費治療の虫歯治療の治療費
自費診療は自由診療とも呼ばれ、治療に制限がなく、治療費もその医院で自由に決められます。そのため医院によってかなりばらつきがあります。自費の治療には保証制度を設けていることが多く、その年数によって治療費の違いある場合もあります。詳しい料金は医院のホームページや問い合わせで確かめる必要があります。
自費治療の回数に関しては医院によって内容で差がありすぎるため、治療する医院で確認しましょう。
インレーの治療費
白いセラミックやジルコニアを使う場合は4万円~8万円(+消費税)くらいでしょうか。ハイブリッドの場合、この半分くらいの価格となることが多いです。
金(ゴールド)もセラミックと同じくらいですが、金の相場によって変わる可能性もあります。
クラウンの治療費
クラウンは費用にかなりばらつきがあります。例えば審美的に色合わせが難しい前歯の費用は高くなります。色合いをあまり気にしない場合、費用が安かったりします。そのためクラウン1本8万~20万円(+消費税)が値段の相場です。インレー同様ハイブリッドの場合、半分くらいの価格帯です。
医院によっては本数が多くなるとキャンペーンで安くなったり、相場よりあまりにも安すぎる場合もあります。世の中には適正な価格帯があります。医療において安すぎる場合は注意が必要です。
ダイレクトボンディングの治療費
ダイレクトボンディングの場合、詰める範囲によって変わります。虫歯が小さく詰める範囲が小さい場合、使う材料の量も少なく、技術的にも時間的にも早く治療が済みます。逆に虫歯が大きい場合、治療にも技術と時間がかかります。そのため治療費は1万円~5万円(+消費税)が相場となり、治療範囲によって変わります。
根管治療(マイクロエンド)の治療費
根管治療も自費で行われることが多くなってきました。日本の保険制度では使える材料や治療時間に制限があるため、自費で根管治療を行うことで世界的な基準の元治療が行われます。根管治療にはラバーダム、マイクロスコープ(歯科用顕微鏡)、ニッケルチタンファイルなどの他、マイクロスコープ用の専用器具が用いられます。治療費は神経の数によって差があり、前歯や奥歯など歯の場所により違います。相場は7万円~15万円(+消費税)。
根管治療は繰り返すほど成功率が下がるため、難易度が高くなる2度目以降の根管治療と、最初の根管治療で費用に違いがあることがあります。
インプラントの治療費
抜歯になった場合、その歯は根っこまで抜いてしまいます。歯を抜いた場所に人工の歯を入れる治療をインプラントと言います。歯が無くなった顎の骨に、インプラント(人工歯根)を埋めて歯を作ります。
費用の相場は1本トータルで30万円~60万円かかります。

インプラント治療の値段は医院によって差があります。インプラント製品にはクオリティーがあり、使われるメーカーによってその品質に違いがあります(例えるなら車のメーカーと一緒ですね)。それにより製品の値段、その医院の保証制度、歯科医師の手術の技術代などトータルで値段が決められます。
インプラント治療では失敗も多くあります。あまり安価な医院で安く治療するのは避けた方が良いかもしれません。
ブリッジの治療費
インプラント同様、歯が抜歯になった際にブリッジを使う選択肢があります。条件としては前後の隣同士の歯がある場合です。両サイドの歯を削って、クラウンを繋げて被せる方法です。橋渡しするのでブリッジと言います。

保険の場合は銀歯ですが、自費の場合はジルコニアで連結をして歯を作ります。費用はクラウンが3本分となります。そのためクラウン1本8万~15万×3本として、トータル30万円前後(+消費税)が相場と思います。
前後の歯が治療されておらず綺麗な歯の場合は、削る必要がありますので要注意です。そしてインプラント治療と費用が同じくらいになる可能性がありますので、メリットデメリットを担当の歯医者さんと相談して決めるのが良いと思います。
《虫歯の治療費と治療回数の注意点》
誰でも歯医者に長くは通いたくありません。しかし、しっかりと通院しなければ「治療したけど治っていない」「後で症状が出てくる(トラブルが起こる)」という事も多々あります。やはり必要な治療の回数というものがあります。長年かけて虫歯でボロボロになった歯を数日で完璧に治すという事は難しいでしょう。全体的に歯が悪い場合、1年以上の通院で治療が終わる場合も多くあります。
根管治療など1本の歯の治療に何回か通院が必要ですが、逆に長すぎる場合も注意が必要です。なぜ治療に時間がかかっているのかを担当医が明確に説明してもらえない場合、その医院に通っていても治らない可能性があります。転院することは悪いことではありません。セカンドオピニオンといって別の医師に意見を聞くことも推奨されます。
料金に関しては、保険診療でも歯医者によっては請求額が違うこともあります。治療した内容によって変わりはしますが、明らかに毎回料金が高い場合や、治療費に疑問をいだく場合、次の治療費のおおよその金額を聞いても濁される場合は考え様です。「診療明細書」を確認しましょう。領収書とは別にもらえる用紙で、その日の治療内容が記載されています。そもそも、こちらから言わなければ診療明細書をもらえない医院は注意が必要です。
自費の治療費ですが、保険診療と違い高額となります。なぜ高額になるかというと、そもそも海外の医療費は高額です。国民皆保険制度の日本では、誰もが平等に医療を受けられるように制度が作られていますので治療費が安くすみます。つまり最低限治療される医療費です。
自費の料金は海外の先進国と同じくらいの治療費なので、先進医療を受ける代価としては妥当と言えます。また材料も海外から輸入されるものが多いので世界で一般的なの医療の価格となります。
セラミック治療、インプラント治療、矯正治療など医院によって値段にかなりばらつきがあり、なかにはとても安い値段で治療を受けられる医院もあります。正直安すぎる場合は注意が必要です。医療には適正な価格があります。安い場合は何かしら採算を合わせるために手を抜いている所があります。過大に広告やキャンペーンを出しているところに行かない方が安全と言えるでしょう。
特に歯の治療に関しては、すぐに症状が出ずに、数年後にトラブルが起こってくる場合が多くあります。治療を繰り返すほど歯はボロボロになってきます。値段だけではなく信頼できる先生を見つけることが大切になってきます。
まとめ

虫歯は放っておくと余計ひどくなり治療に時間やお金がかかります。治すときにしっかりと治して、もう虫歯にならないように予防することが最善策となります。現在は虫歯にならない予防方法も確立しており、虫歯予防に取り組むことも大切です。歯医者さんで虫歯予防方法を教えてもらい、定期的に歯のチェックで早期発見に努めましょう。
歯医者さんの数は多くどこへ行ったらよいか分からないという悩みが多くあります。そして歯医者さんでは治療の選択によって通院回数や治療費に違いがある場合もあります。今回の記事の内容も是非参考にして歯科医院選びをしてください。
デンタルアトリエ自由が丘歯科の虫歯治療
日本の保険診療の歯医者では治療時間に制限があり、多くの患者さんを同時に治療をするスタイルが主です。デンタルアトリエ自由が丘歯科では一人一人の患者様に時間をかけて、丁寧に治療を行う診療スタイルを取っております。虫歯を綺麗に治すのはもちろん、その後も虫歯になりにくい歯を安定させるためには、より良い最新医療の提供が重要となります。そのために当院は虫歯治療が自由診療の医院となっております。
セラミックで歯を綺麗にしたい、虫歯をしっかりと治したいとお考えの方は、当院にご相談ください。虫歯治療の専門家である院長がしっかりとチェックした上で、その方に合った治療を提案いたします。ちゃんと歯を治してくれる信頼できる歯医者をご希望の方はお気軽にご相談ください。
当院の虫歯治療の内容を動画で見ることができます☟