こんにちは。院長の小笠原です。
当院では虫歯治療を保険適応外で専門的に行っている歯科医院です。他院では対応できなかった患者さんが来院されます。
そして当院ではセカンドオピニオンを推奨し提供していますので、歯の治療で悩んでいる患者さんが全国や海外からも患者さんがお越しになります。
そんな虫歯に悩んでいる患者さんで不安に思われていることがあります。それは「歯医者によって診断が違った」ということです。
どういうことかというと、「A歯科医院では2本、B歯科医院では5本虫歯があると言われた。見てもらった歯医者によって虫歯の本数が違う」という事です。また、「銀歯の中で虫歯があるかもしれないが、銀歯を外してみないと分からない」と言われる事も多いです。
なぜ歯医者によって虫歯の検査結果が違うのでしょうか?
診断に違いがあるという事は、治療される=歯を削られる、歯の本数が変わるという事です。歯医者選びの参考になるかもしれません。
今回は虫歯の検査についてお話ししようと思います。
目次
虫歯は分からない?
結論、正直なお話をしますが、虫歯は検査で分からないことも多くあります。日々患者さんを治療していての経験ですが、
大きい虫歯と思っていざ治療してみると、そうでもなかったり。
軽度な虫歯と思っていざ治療してみると、かなりに進行していたりと、
私事で申し訳ないのですが、経験を積んでも「想定外」であることが多くあります。
ですので、担当の先生によっては虫歯の見逃しや、逆に治療しなくても良い歯を削られたりと、このようなことは日常茶飯事になっています。
実際に、当院にセカンドオピニオンでお越しになる患者さんですが、
①「前の歯医者に虫歯で治療が必要と言われたが、本当に虫歯か?」という患者さん。検査をしてみると、削る必要はなかったり。
②当院で検査すると虫歯が沢山見つかったが、「先日行った歯医者では虫歯は言われなかったです。。。」という患者さん。
担当する先生によって言われることが違うことが多いです。
今現在、世界的にも虫歯の診断基準はありますし、虫歯を検査する器械は開発されています。
診断基準は、
- Nyvad基準☞https://pubmed.ncbi.nlm.nih.gov/29506010/
- ICDAS基準☞https://www.ncbi.nlm.nih.gov/pmc/articles/PMC5030492/
検査する器械は、
近年ですと、オーラルスキャナーというお口用のカメラ。ダイアグノデントというレーザーを用いたものや、ダイアグノカムという光を用いたもの、またサーモグラフィーを用いた検査などもあります。
しかしこれらの検査が世界基準として、確実性をもって導入されているわけではありません。
またこれら器械を使った検査は日本では保険治療で認められていなく、さらに検査に時間を要します。
それよりも「エックス線(レントゲン)検査したほうがすぐ分かるじゃん?」
という、保険で認められており、より簡便に歯の状態が検査できるエックス線検査が一般的です。世界的にもエックス線が基本となっています。(問題のない微量なエックス線被ばくはありますが有用性が勝ります)
※ですので、今回は診断やレーザーなどの話はせずに、一般的な歯医者での事情をお話します。
では、最近よく聞く「CT」はどうでしょうか?こちらは後でお話したいと思います。
①虫歯の大きさ?
そもそも歯の大きさはご存じでしょうか?
歯というのは、
お口の中の、

歯が1本づつ、

小さい前歯から、大きい奥歯まで、

約5mm~1cm前後の大きさであります。
例え話ではありますが、
もし虫歯が3mm以上あれば、歯の半分くらい溶けているという事になります。
歯という物はミクロ単位で調整したり、詰め物をしたりと、本当に細かい作業が多いのが特徴です。
そして歯の内部で進行する虫歯は、表面から分かりませんので、ある程度推測しなければなりません。
しかし人間の限界として、見えない場所のミリ単位の大きさを認識することはできないと思われます。
「虫歯が0.35mmありますね」
などと診断できる歯医者はいないのではないでしょうか?
ですので、聞いたことがあるかもしれませんが、虫歯の大きさの診断名として「C1」「C2」と言われる☞虫歯の進行状態について
「どこまで進行しているか?」というレベルで診断されます。
虫歯がある程度大きく進行している場合は分かりやすいのですが、軽度な進行の場合は分からない場合も多くあり、それだけ「歯」という小さい臓器を扱っているのが歯科治療です。
②レントゲンで虫歯はどう見えるのか?
実際にレントゲン写真で虫歯はどう見えるのでしょうか?
虫歯は歯が溶けてしまう病気です。歯の中で歯が溶けるとレントゲン写真で溶けた箇所が黒く写ります。

どこが虫歯かわかりますでしょうか?
この虫歯は大きいので分かりやすいです。

そうです。赤い丸の場所が虫歯です。隣の健康な歯と色を比べると全く違います。
この虫歯は「C3」です。神経まで達している虫歯なのでレントゲンでも分かりやすいと思います。
実際にこの虫歯はどのくらい大きかったのかはこちらの動画にあります。ご興味のある方はどうぞ。
では、小さい虫歯はどうでしょうか?

奥歯の虫歯なのですが、どこにあるかわかりますか?
正解は・・・

こちらが全て虫歯です。
よく見れば大きい「C3」の虫歯もありますが、小さい虫歯だらけの状態です。
虫歯は歯と歯の間から虫歯になっているために、患者さん自身では気づいていませんでした。
ここで「C1~C2」とあります。虫歯はが大きくなると判別つきやすいのですが、小さいものは正確に範囲が分からないことが多いです。
ですのでレントゲンからでは、虫歯があるのは分かりますが「C2まで進行しているかなぁ?」と推測することまでしか出来ません。
実際に治療をすると「C2」だったと後で分かります。
正直、虫歯は分かりにくい場合も多くある。ということは、歯医者の先生によって見逃される場合も多くあるともいえます。
では、「CT検査」では虫歯は分かるのでしょうか?
③歯科用CTで虫歯は分かるのか?
最近ではレントゲン検査ではなく、CT撮影による検査も一般的になってきました。
お医者さんで撮ることもあると思いますが、身体の輪切り像を撮影する検査で、3次元的に体の内部を詳細に検査できます。
患者さんから、「先生、CTが優れていると調べましたが、虫歯が見つかりますか?」と聞かれることもよくあります。
CTは歯を輪切りにして、歯の内部を検査できるのですが、
結論を言うと「分からない場合も多い」です。
早速、検査写真を見てみましょう。

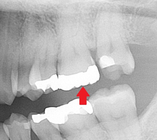
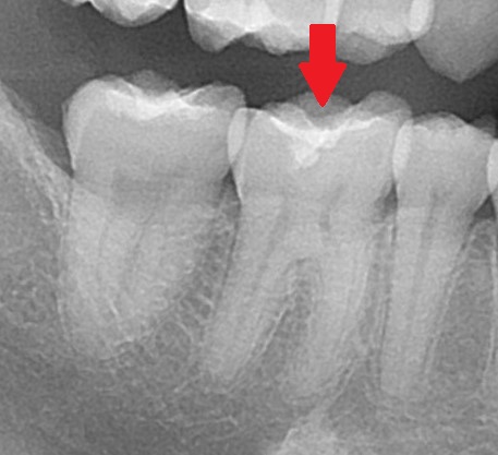
こちらの大きい銀歯の中に虫歯が広がっています。
まずはレントゲンを見てみましょう。

赤い矢印の歯が写真の銀歯の歯です。
この歯に虫歯があるのでしょうか?
正直、私でもレントゲン写真から虫歯がどのくらい広がっているか分かりません。
虫歯があるように見えないかもしれません。
※次の項目で銀歯の下の虫歯が分かりにくい理由を説明しています。
実際に虫歯があったのは、

青い矢印の所に虫歯が広がっていました。(後で銀歯の下の状態もお見せします)
では、レントゲンでも分かりにくい、この歯の虫歯をCT検査だったら分かるのでしょうか?
こちらの歯のCT写真をお見せします。

先ほどの青い矢印の所に黒い丸い影が出てきました!
「なんだ、CTで分かるじゃん!」
そうです。CTで分かる場合もありますが、しかし、
黒い影は手前の歯にもありませんか?
少し見る断面を変えてみましょう。

手前の歯に大きな黒い影が出てきました。さらに他の歯にも!
これは虫歯でしょうか?
いいえ、他の歯は虫歯になっていません。
CTの検査では、周りの歯に金属が入っていると、金属が画像で反射してしまい、
白い光が強調されたり、周囲に黒い影が出てきます。
ですので、黒い影が虫歯なのか、金属の反射の影響によるものなのか判別がつきません。
CT検査だけで虫歯の診断をすることはできませんし、レントゲン検査より優れた精密検査ができるわけではないのです。
CTが必要になってくるのは顎の骨の中を検査する場合です。
- 顎の中の親知らずなどの歯の位置や、神経の位置の確認
- 歯の根の先で膿んでいる場合(根管治療の検査)
- 歯周病の状態の確認
など、骨の中の状態の診断には欠かせないものとなっています。
海外の論文にもありますが、虫歯への検査には劣ります☞虫歯へのCT診断精度の評価
このCTでも確認しました歯の、実際の虫歯治療の動画を載せておきます☟
銀歯の中でどのくらい虫歯が広がっていたが分かります。
なぜ銀歯は外してみないとわからないのか?
いよいよこの記事のタイトルの説明に入ります。
ここまでの記事を読んでいただいていると、なんとなく分かってきたかと思います。
現在の医学でも、それだけ小さい歯を取り扱うことは難しいのが実際の所です。
- 検査をした担当医の技術・知識力
- 検査した器械の性能
など、結果に差が出る要因が歯医者によって違います。
ただ、銀歯の中の虫歯に関しては診断が難しいことが多く挙げられます。なぜでしょうか?
それは、「銀歯はレントゲン写真で銀歯が真っ白に写る」ためです。
CTの説明の時にも少しお話をしたのですが、金属の材料はエックス線検査で白く写ります。
金属の他にも「ジルコニア」という材料も白く写るので、虫歯が分かりにくいとも言えます。
「セラミック」は真っ白に写らないので、定期検査で虫歯が見つけやすい材料とも言えます。
実際のお口の中での状態を説明しましょう。

同じ患者さんのお口の中で、分かる虫歯と分からない虫歯があります。
銀歯を外して説明します。
ナンバリングしてあります、①番と、②番の歯を見てみましょう。
①銀歯の中で分かった虫歯
お口の中の状態を見てみると、

①番、②番ともに銀歯が入っています。
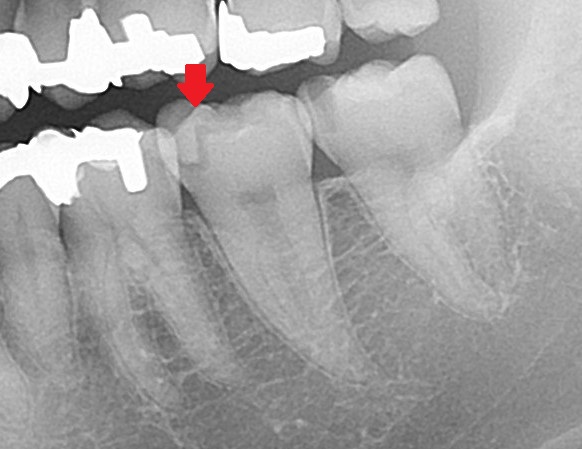
レントゲン写真を確認してみると、


銀歯の下に黒く、丸い影が出ているのが分かりますでしょうか?
この記事の最初の方で説明したように、銀歯の下でも虫歯が大きければ虫歯の影を確認できます。
銀歯を削って外してみましょう。

一つ手前の銀歯も外していますが、銀歯を外してみると、なんだか綺麗ではありません。接着剤の残りカスもついているので、削って綺麗にしてい行きます。
そして、虫歯を染色する「う蝕検知液」のお薬を使うと、

銀歯の中で赤く色が染まる虫歯が確認できました。レントゲン写真から想定出来たように、虫歯が大きく広がっています。
手前の歯の中にも虫歯がありました。
虫歯は綺麗に取り除きまして、

染色液が染まらない所まで虫歯を削ると、虫歯が広がっていたのが分かります。
この歯は通常通りに、治療を行います。
セラミックインレーによる修復をすると、

このように歯が綺麗に仕上がり、治療が終わります。
今回の歯は銀歯の下で虫歯が広がっているのが確認できました。
では、次の歯はどうでしょうか?
②銀歯を外してみて分かった虫歯
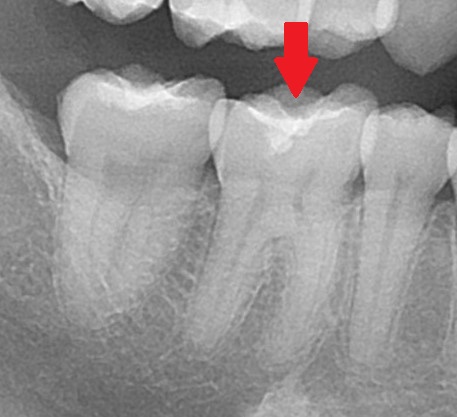
先ほどの続きで、②番の歯を見てみましょう。

同じように銀歯が入っている歯ですが、①番のように黒い虫歯の影が認められません。
では、②番目の歯の銀歯を外して中を見てみましょう。

銀歯の下には、う蝕検知液で染まる虫歯がありました。
虫歯を取ってみると、

染色されないところまで虫歯を取り除きました。
①番の歯ほど虫歯の侵入はなかったですが、
銀歯のつなぎ目から虫歯が侵入し、虫歯になっていました。
ここから分かるように、
銀歯はレントゲン写真で真っ白に写ってしまいます。
その銀歯直下で虫歯が広がっている場合は、虫歯が写らないので分かりません。

矢印の箇所の虫歯です。
つまり銀歯の下の虫歯は、大きく広がって進行している場合は確認できるが、銀歯の直下で小さく広がっている場合は確認できないと言えます。
しかし、大きく広がっている場合はすでに手遅れで、歯の中の神経まで進行している場合があります。
早めに虫歯を確認したいのですが、やはり銀歯を外してみないと分からず、外すことで確定的な診断ができるというわけです。
銀歯を外す場合は、削って壊して外します。
同じ銀歯を使うことはできず、新しく作り直す必要があります。
そのために、治療をするか?しないか?
銀歯を外してやり直すか?は患者さんの希望が重要になるので、歯医者さんで「銀歯は外してみないと分からないですが、どうしますか?」と言われるのです。

レジンの下の虫歯は分かるか?
ではレジンはどうでしょうか?
レジンとは白いプラスティック樹脂の材料で、虫歯を削った所に直接詰めて固められる材料です。
また最近ではCAD/CAM(キャドキャム)という材料も保険で使うことが出来ます。基本的にこちらもレジン材料です。
最近は昔ほど銀歯を使わないようになってきましたので、レジン材料の場合もお話しておきます。
実際のレジンの中の虫歯を見てみましょう。

ここまでの話を理解している方は一目瞭然だと思いますが、赤い矢印の歯に虫歯があります。
また、レジンは銀歯と違いレントゲン写真で、真っ白に写りません。
そのため、今回の虫歯も分かりやすいと思います。
うっすら詰めてあるのが分かりますので、スケルトンじゃないですが、レジンの下に黒い虫歯があるのがわかります。
周囲の他の歯には真っ白な銀歯が入っていますね。
お口の中はというと、

矢印の歯がレジンで詰めてあります。白い色の材料なので分かりにくいでしょうか。

こちらの詰め物の中に虫歯があります。
レジンを削って行くと、

(手前の銀歯も削っていますが)
レジンの下に黒っぽい虫歯がでてきます。
う蝕検知液を使いながら虫歯を取っていきます。

レジンはレントゲン写真でうっすらと写るために虫歯が確認できます。
また「セラミック」も同じようにうっすらと写るので、詰め物の下で虫歯になっている場合分かりやすい材料であると言えます。
虫歯の侵入方向によって分からない場合もある
レジンの中の虫歯は分かるとお伝えしましたが、こちらも分からない場合もあります。
それは歯の側面から水平方向への虫歯の侵入です。
どういうことかというと、実際に見た方が分かりやすいのでまた写真を出していきましょう。

こちらの歯ですが、レントゲン写真で見ると、白く詰め物が入っているのがわかります。
虫歯になっている大きな影は認められません。
お口の中を見てみると、

歯の横側にレジンで詰め物がされています。

青枠のここの場所ですね。
この歯のレジンを削って行きますと、

何やら茶色い虫歯が出てきました。
う蝕検知液で虫歯を染め出ししてみると、

染色される虫歯が出てきました。
レントゲン写真では黒い影は写っておらず分からなかった場所です。
今までの銀歯の時の説明では、噛む面から、歯の神経に向かって下に掘り進むように虫歯の進行がありました。
今回のケースでは、歯の側面の頬っぺた側から虫歯が進行していました。
どういうことかというと、

歯の検査のレントゲン写真は2次元の写真で歯を真横から撮影します。
そのため、歯の軸の下に進行している虫歯は分かりやすいのですが、真横に進行している虫歯は分かりにくい特徴があります。
ただこの症例では虫歯を見つけて治療をしています。
専門家である私は、様々な検査を行い、見逃しの無いように歯をチェックしていきます。
レントゲン写真だけでは分からないことも多く、担当医によって診断が違う事もあります。それだけ歯の診断は難しいこととも言えます。
歯医者によって検査結果が違う。歯医者選びで注意すること。
歯医者はどこでも一緒と思っている人たちが多いのが日本です。日本は国民皆保険制度で、皆一律に医療を受けることが出来ます。どの病院でも国から費用が定められており、治療された内容により患者さんの支払い料は基本同じです。そこに担当医の技術力は考慮されません。
正直、患者さんからすると歯医者の腕の良し悪しを図ることはできません。特に歯の治療は受けてみないと分かりませんし、「歯の治療を受けた」という事は「歯を削られた」という事でもあり、実は取り返しのつかない所まで進んだという事とも言えるので注意が必要です。
近年ではGoogle(グーグル)のクチコミ投稿があり、歯医者を調べると、星の数と、クチコミの内容が出てきます。これは現在、病院に限らず、飲食店や美容院など店舗があれば同じように評価されています。グーグルの評価が高いといい歯医者なのでしょうか?
もちろん評価が低い所はそれだけ不満をもっている方が多くいるので、良いわけではないと思いますが(笑)
最近では評価を上げないとお客さんを獲得できないので、クチコミ集めや評価集めに必死になっているという、本来の目的とは違う競争が行われているのが事実です。患者さんへの報酬(プレゼント)と引き換えに良い口コミを書いてもらう事や(※本来はいけない行為です)、担当のインターネット業者や自院のサクラ投稿により評価が高いということも実際にあります。さらに報酬を支払うと悪いクチコミを消してくれる業者もあるようで、悪い投稿を消してもらっているという話もよく聞きます。
さらには民間の会社による評価サイト、つまり「〇〇地区のおすすめの歯医者」というサイトについては、店舗がその会社にお金を支払って、紹介してもらっている場合も多く、正当に評価されているわけではありません。(報酬をもらっている店舗の評価を下げるわけにはいきません笑)
食べ〇グや、ホット〇〇パーなども同じでしょうか?
つまり、昔のように院長先生がどこも同じように治療を行っているわけではなく、多くの患者さんを治療するために、多くの先生を抱える病院では、その病院の方針や担当医の技量によって、患者さんへの対応や、検査内容、治療内容には差があります。
そして忙しい病院程、患者さんを診ることを世話しなく行っています。患者さんをチェックするのを歯科医師でなく、女性スタッフに任せている歯医者も多くあり、先生に診てもらってない(会っていない)でその日の診察が終わる。なんてことが多いのを最近よく耳にします。
本来そんなことはあってはいけないのですが、忙しい病院では先生が時間に追われて、全ての患者さんに時間を割くことができません。
虫歯の誤診で良くあるのが「歯科衛生士が虫歯のチェックをしている」という事です。
歯科衛生士とは、お口の指導や、歯石の除去を行う専門の資格を有する人です。女性が行うことが多いのですが、現在は男性の歯科衛生士もいます。また歯医者には「歯科助手」という女性スタッフもいます。歯科助手は国家資格ではないので、誰でも名乗ることができます。
歯科衛生士にしろ、歯科助手にしろ、患者さんの歯の治療は行うことができません。虫歯の診断をすることはできませんので、歯科医師ではなく女性スタッフにしか虫歯のチェックをしてもらっていないということは、虫歯が見逃されてしまっても当然と言えるでしょう。
多くの歯医者では患者さん対応を女性スタッフに任せているのが日本の現状です。
《まとめ》
難しい内容だったと思いますが、最後までお読みいただきありがとうございます。
最初にもお話ししましたが、専門家である私でも実際に治療をしてみると、虫歯の状態が想定外であることもあります。
詰め物の中は見ることが出来ません。詰め物の中で虫歯が進行していることは多くあります。
虫歯の検査を行い、その担当医の裁量によって治療が決められます。
治療をするかしないか、担当医とよく相談して決めていきましょう。
また治療した歯が再度虫歯になったということは、虫歯予防が出来ていないという事でもあるかもしれません。虫歯予防の知識もつけて虫歯に悩まない人生を送るようにしましょう!
そのような手助けができるように、これまでずっとブログを書き続けています。過去の記事も是非読んでみてください(^^)/
当院ではセカンドオピニオンを推奨しています。
お気軽にご相談ください。
「デンタルアトリエ自由が丘歯科」小笠原院長の書籍

『歯のトリセツ』
誰もが嫌いな歯の治療。虫歯になる人には共通点があります。基本的な「歯」の扱い方がわかる1冊。あなたの歯の取扱説明書です。
書籍購入のURLはこちら>>>https://amzn.to/2ISey4G

『ホワイトニングはまだやるな!』
ネックになりやすい治療費の話も含め、一般の目線に立って、実践できる歯の守り方、歯医者との向き合い方を具体的に解説してくれる一冊です。
書籍購入のURLはこちら>>>https://amzn.to/3aFwYif
この記事の著者・監修者:院長・歯科医師 小笠原慶一