世田谷目黒区、自由が丘駅南口徒歩3分の歯医者
デンタルアトリエ自由が丘歯科の院長の小笠原です。
今回は前歯の審美的な改善の治療内容です。
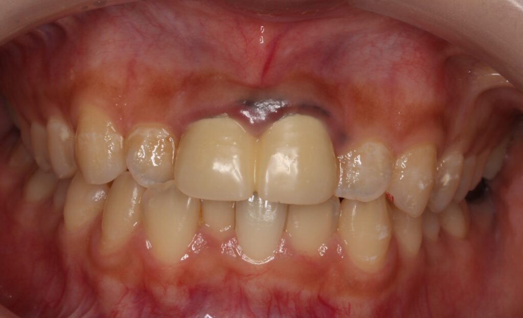
30代女性。ずっと前に治療した前歯の見た目が悪いとの事でした。
お口の中を見ると

前歯2本にかぶせ物が入っており、その歯ぐきが黒く変色しています。
これは金属が溶け出し歯ぐきの中に入り込んでしまった状態で、「メタルタトゥー」と呼ばれます。
前歯のかぶせ物は「レジン前装冠」といい、内部に金属を使用しています。
表面はレジンというプラスチック樹脂を張り付けています。
裏側を見ると。。。

黒く見えるのが金属で、酸化して黒く変色しています。
現在でも全国どこでも毎日使われる、保険適応内の治療方法です。
歯ぐき内部に入り込んだタトゥーは、銀歯を外しても残り続けます。
治療方法としては、
「切除」と「レーザー」を併用して行います。
治療を検索すると「薬剤」も挙げられますが、歯肉に入り込んだメタルタトゥーにはほとんど効果が期待できません。タバコが原因の黒ずみとは原因が違います。
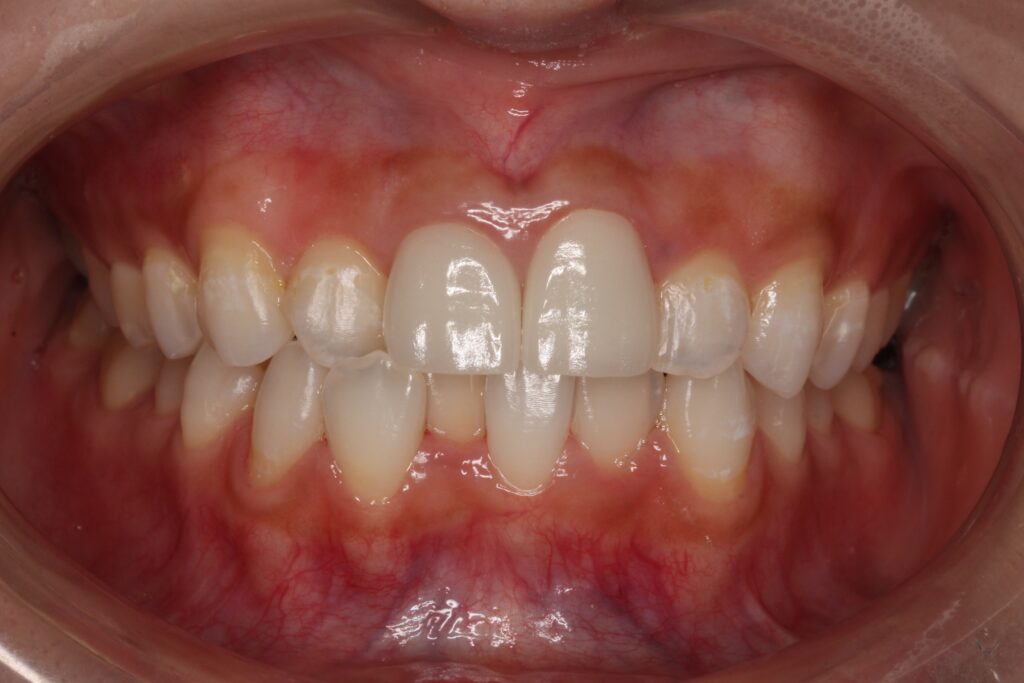
治療後の写真です。

メタルタトゥー黒い歯肉が無くなりました。
今回はメタルタトゥーの除去と、
レジン前装冠をセラミックへの交換。
ホワイトニングを行っています。

同じ方のお口の中とは思えないですね(*_*;
ホワイトニングをしたことによっても全体的に明るくなりました。
【治療費】
・セラミッククラウン
費用:前歯1本165,000円×2(別途型取り代)
・ホワイトニング
費用:オフィスホワイトニング:20,000円
ホームホワイトニング:16,500円
・メタルタトゥー除去
費用:22,000円~(施術範囲による)
(将来的に値段が変わる場合があります)
【施術の副作用やリスク】
治療中または治療後に出血や痛みや腫れを伴う場合があります。