【治療費】
・セラミックインレー
費用:752,400円 (税込)
【施術の副作用やリスク】
治療中の仮の状態では食事がしにくく、仮歯が外れる可能性があります。
治療中または治療後に歯のしみや痛みを伴う場合があります。
当院ではセカンドオピニオンを推奨しています。
お気軽にご相談ください。≫セカンドオピニオンはこちら
「デンタルアトリエ自由が丘歯科」小笠原院長の書籍

『歯のトリセツ』
誰もが嫌いな歯の治療。虫歯になる人には共通点があります。基本的な「歯」の扱い方がわかる1冊。あなたの歯の取扱説明書です。
書籍購入のURLはこちら>>>https://amzn.to/2ISey4G

『ホワイトニングはまだやるな!』
ネックになりやすい治療費の話も含め、一般の目線に立って、実践できる歯の守り方、歯医者との向き合い方を具体的に解説してくれる一冊です。
書籍購入のURLはこちら>>>https://amzn.to/3aFwYif
Youtubeチャンネルでは当院の治療の内容が見られます
≫デンタルアトリエYoutubeチャンネル
ご相談をお気軽にお問い合わせください。
院長の小笠原です。
今回は前歯の審美治療の紹介です。
40代女性の患者さんです。
「昔に保険で治したブリッジの差し歯を綺麗にしたい」
と当院を来院されました。
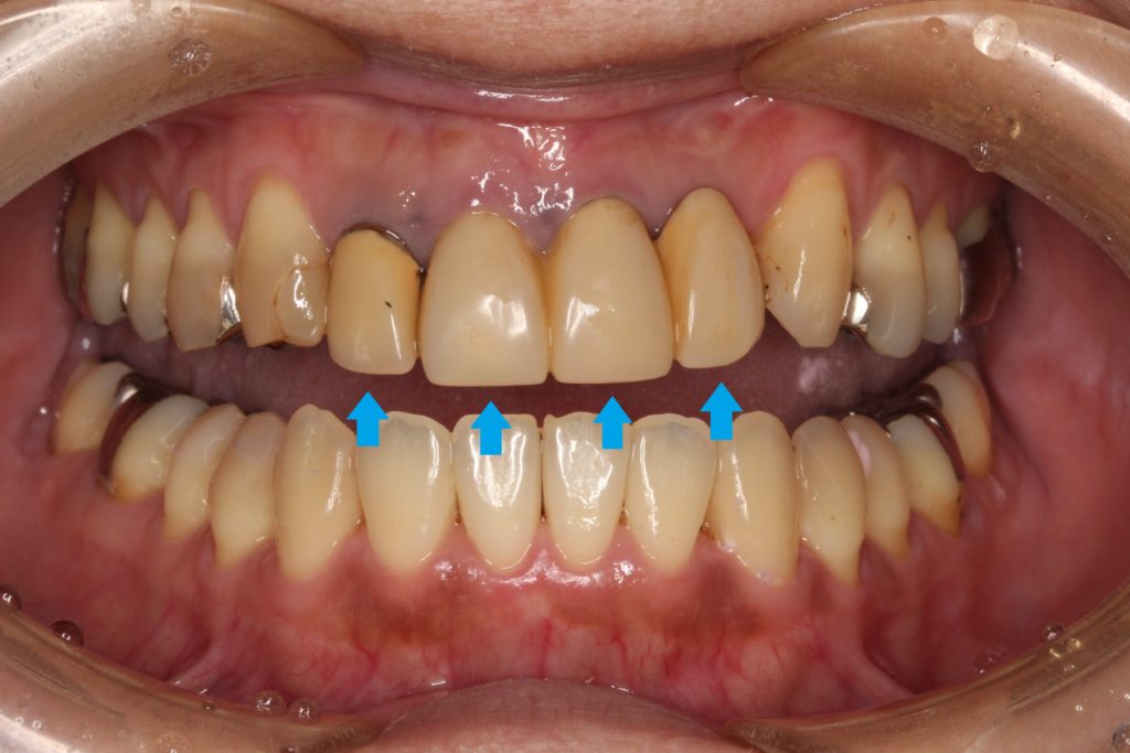
お口の中を見てみると、

このような状態です。
前歯の4本がぶせ物で治療がされています。

こちらの4本ですね。
20年以上まえの治療で、歯が黄色く黄ばんで、歯の根元が黒くなっている箇所もあります。
こちらは「レジン前装冠」というかぶせ物で、表面の見える所はレジンというプラスティック樹脂で、内部から裏側には金属が使われています。
保険の前歯(レジン前装冠)の説明はこちら☟

今ではCAD/CAM冠(キャドキャム)やレジン冠というプラスティックの人工歯も使われますが、前装冠は噛んだ衝撃で割れないように内部に金属が使われています。
今現在も保険で製作することのできる前歯の人工歯です。
※たまに、「前歯のかぶせ物は保険で出来ないので、自費で」と説明する歯医者がいるようですが(昔の歯医者です)、昔も今も、保険でも前歯のかぶせ物は出来ます。基本保険診療をしている歯科医院では、保険がきかないなんて事はありません。昔の先生ですが、患者さんは騙されています(笑)
レジンは経年劣化とともに、黄色く変色してくる欠点があります。
そのために、歯が黄色く変色して、他の歯と色の違いが出てきます。
また内部に金属が使われていると説明しましたが、金属が歯の根元で黒く見える場合があります。
治療説明に戻りまして、
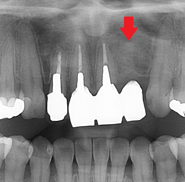
エックス線検査(レントゲン)で歯の中の状態を見てみると、

このような状態でした。

こちらの歯、3本が差し歯になっており、
後でお話しますが、メタルコアが入っています。

こちらの1本は歯が無く、ダミーの歯で繋がれています。昔に事故で抜いてしまったようです。

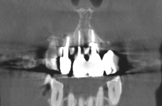
CT検査では、根の先に炎症などのトラブルはありませんでした。
もし炎症や、根の先で膿んでいる症状がある場合は、根管治療を行なう必要があります。
今回は根管治療は必要ないと判断して、かぶせ物だけをやり直すことを患者さんと相談しました。
※メタルコアとは
神経を取った歯を、いわゆる差し歯にするために、歯の中に金属の柱を植え込む治療法です。

現在でも行われる治療方法で、昔は金属を用いることが多かったですが、
近年ではファイバーコアという、グラスファイバーの材料を使うことが多くなってきました。

当院ではメタルコアを外して、治療をやり直すことが多いです。
せっかく歯を綺麗にやり直す場合、
例えば、家をリフォームする場合、家の基礎をやり直した方が、将来的に長持ちする可能性があります。特に古く保険でされた治療は精度が悪い場合も多く、新しい材料でやり直した方が安心だったりします。
しかし、メタルコアを外すことはリスクも伴います。
外す際に歯に負担がかかると、歯が割れてしまう場合もあります。
※メタルコアを外すブログも以前記載があります☟
太いメタルコアを外して、前歯をセラミックで綺麗に
太いメタルコアが入っているので抜歯?メタルコアを取り外して歯を残す
審美歯科ホワイトニング。銀歯をセラミックに。60代男性。
今回のケースですが、
結論はメタルコアを外さずに治療を行ないました。
エックス線を見てみると

こちらの矢印の歯のコアが、太く、適正な方向に入っていないためです。方向がそれています。
斜めに埋め込まれてしまっており、赤い矢印の部分の歯の残量が無いためです。既に穴が開いているかもしれません。
このコアを外す際に、赤い矢印の箇所に穴が開くか、割れる可能性があります。
現在、歯に症状が無いために、このまま現状を維持することを患者さんと相談しました。
以前のメタルコアについての説明のブログがあります☞メタルコアを外せない場合もあります
※患者さんの希望もあるとは思いますが、希望通りに治療が進むわけではありません。
特に当院では、やり直しを多く行っているので、歯の治療の専門である私が判断して、一人一人その方の歯の状態を考慮して、治療の提案をさせていただいています。
治療に戻りまして、
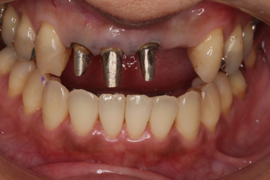
今回の計画は、かぶせ物をを外して→新しい人工歯に取り換えることを行います。
かぶせ物は削って外してしまいます。

このような状態です。
金属の支柱(コア)がしっかりと入っています。
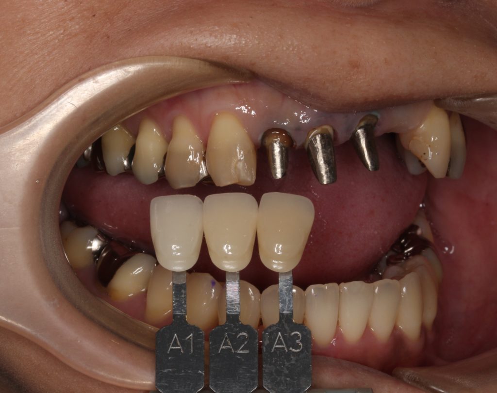
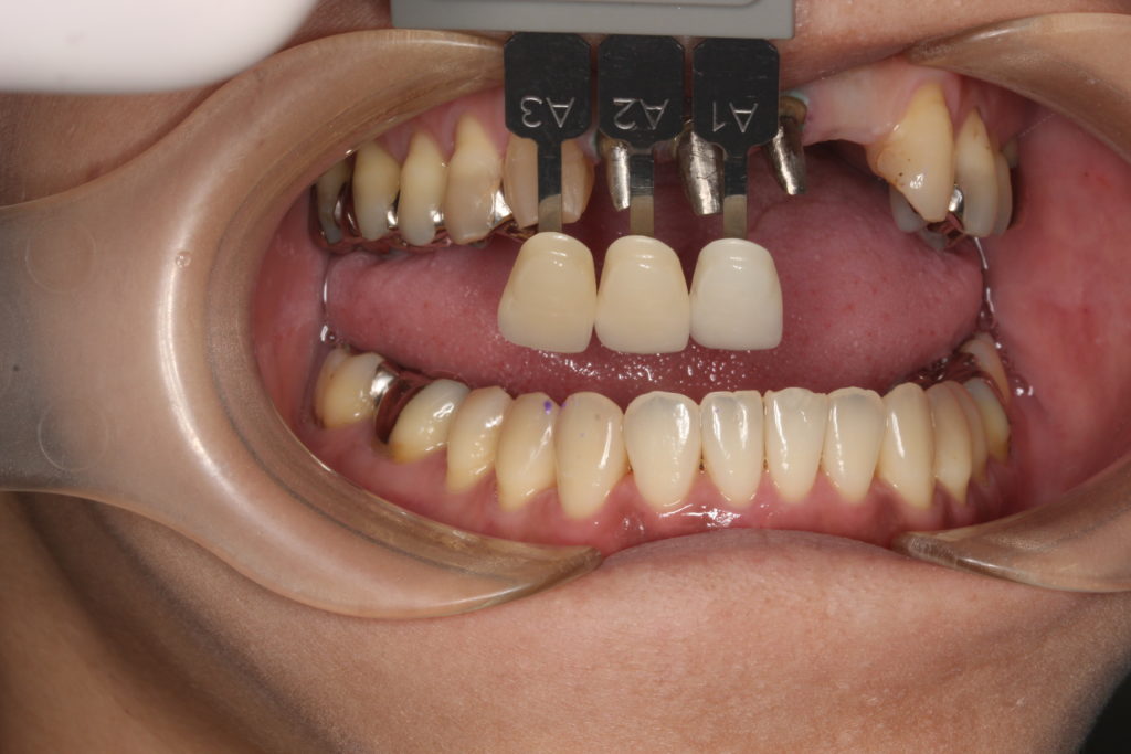
新しいかぶせ物が入るように形を整えます。
歯の色見本で、周囲の歯の色に合わせます。

人それぞれ歯の色が違います。指紋のようなものですね。
また歯の場所によっても色は違い、1本1本グラデーションが出ていています。

下の歯の色も参考にします。
お口の中、前歯の色味のバランスを考えて合わせていきます。
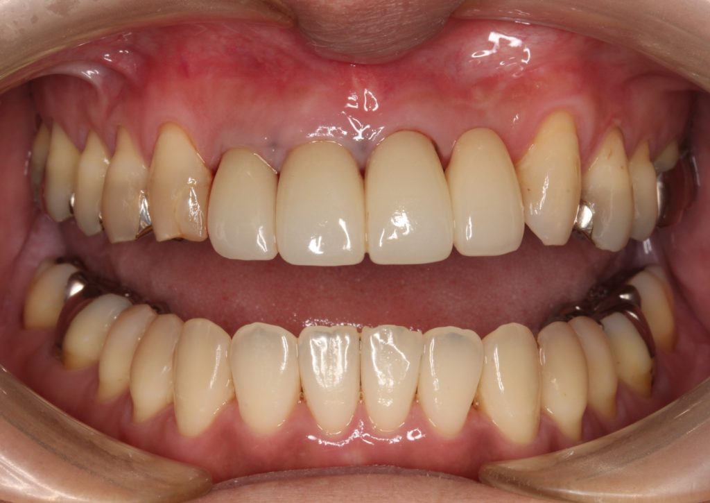
当院では自費専門の技工士がその方に合った歯を製作します。
材質はジルコニアセラミックを使い、綺麗に仕上げます。
後日出来上がった歯を装着します。

下の歯の色に合わせて、白めに仕上げています。
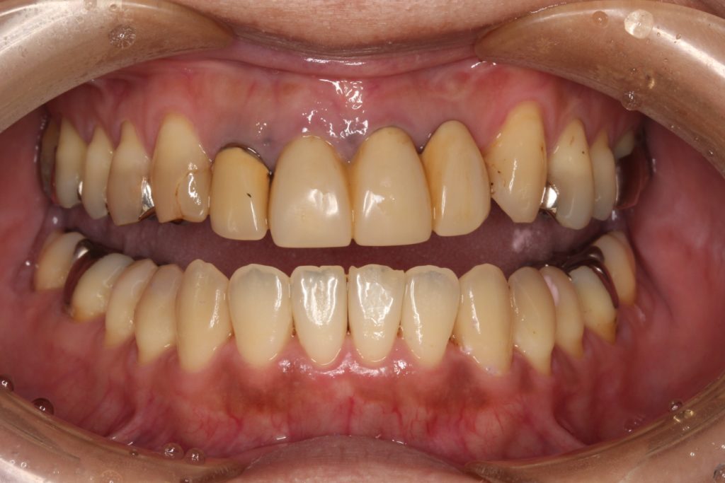
綺麗な歯になりましたね!
最初の状態を見てみましょう。

全体的な色も綺麗に明るくなりましたし、根元の黒さも目立たなくなりました。
今回は歯のもろさを考慮して、歯を連結して仕上げています。
歯を繋げるか?繋げないか?の問題に関しては、
基本は歯を繋げることはしません!
歯を繋げるデメリットは
・歯の清掃性が悪くなり、虫歯や歯周炎の原因になる
・連結した中の1本にトラブルが起こっても気づけない
・治療をやり直す場合、全ての歯をやり直さなければいけない
などが挙げられます。
そのために、基本は歯を繋げてはいけません。
今回は患者さんと相談した上で、歯の欠損があり、脆い歯があり、噛み合わせの負担を考慮して計画をたてています。
何でもかんでも歯を繋げる歯科医師がいます。
それは「審美歯科」を掲げた、「美容歯科」です。
彼らの治療の目的は、つなげることで綺麗に見せることができることや、治療した歯がすぐにトラブルにならないようにと、補強のために歯をつなげます。
患者さんの歯の寿命についてはあまり考えていません。
(この業界内の話ですが、〇〇美容歯科で治療を受ける歯科医師を聞いたことがありません。同業はほとんど行きません)
美容系の病院ではトラブルになると患者さんから訴えられる可能性があります。そのために、治療した箇所が、結果たとえ悪くなったとしても、すぐには症状が出ないような工夫をします。
大概、繋げた歯が悪くなるのは5年以上たってからです。年数がたってからのトラブルは患者さんのケア不足にされる事がほとんどです。
一般の方はそのような事は知らずに、広告に騙されて、キャンペーンなどに引っかかって、美容歯科へ行ってしまいます。
全てが悪いわけではありませんが、審美歯科の参考動画も紹介しておきます☟
歯を繋げて治療する際は、しっかりと自分での清掃をして、歯医者さんで定期的なケアを受けていく必要があります。
治療が終わったから終わりではありません。
歯が長持ちするためには継続したケアは必要になります(^^)/
【治療費】
・セラミックインレー
費用:752,400円 (税込)
【施術の副作用やリスク】
治療中の仮の状態では食事がしにくく、仮歯が外れる可能性があります。
治療中または治療後に歯のしみや痛みを伴う場合があります。
当院ではセカンドオピニオンを推奨しています。
お気軽にご相談ください。≫セカンドオピニオンはこちら
「デンタルアトリエ自由が丘歯科」小笠原院長の書籍

『歯のトリセツ』
誰もが嫌いな歯の治療。虫歯になる人には共通点があります。基本的な「歯」の扱い方がわかる1冊。あなたの歯の取扱説明書です。
書籍購入のURLはこちら>>>https://amzn.to/2ISey4G

『ホワイトニングはまだやるな!』
ネックになりやすい治療費の話も含め、一般の目線に立って、実践できる歯の守り方、歯医者との向き合い方を具体的に解説してくれる一冊です。
書籍購入のURLはこちら>>>https://amzn.to/3aFwYif
Youtubeチャンネルでは当院の治療の内容が見られます
≫デンタルアトリエYoutubeチャンネル
ご相談をお気軽にお問い合わせください。