世田谷・目黒区、自由が丘駅南口徒歩3分の歯医者
デンタルアトリエ自由が丘歯科の院長の小笠原です。
当院では虫歯治療を保険適応外で専門的に行っている歯科医院です。
歯の修復に使う材料も保険の制限内の決められた材料ではなく、自費で使える材料を取り扱います。材料に制限が無いという事は、より歯に優しい良いものを選択できるということです。
※現在保険で使える材料は「レジン」というプラスティックの合成樹脂と、一般的に「銀歯」という金属しか使えないという制限があります。
その中で患者さんからよく聞かれることがあります。それは、
・「詰める材料をセラミックか、金歯(ゴールド)のどっちにしようか悩んでいます」
・「歯ぎしりをするので金歯の方がいいですかね?」
といった相談です。
歯ぎしりや食いしばりは、国民の約7割の人がしているとも言われ、その影響からかインターネットで詰め物の材料を調べると
「金歯は歯ぎしりする人や、噛む力が強い人におすすめ」
「虫歯にもなりにくい」
などの記述がたくさん見受けられます。
またプロである歯科医師は「自分や家族には金歯(ゴールド)を使う」という歯医者さんが多くいます。
自費で治療を受ける場合、費用がかかりますので悩んでしまいますよね。
今回は「セラミック」と「金歯(ゴールド)」に焦点を当てて説明したいと思います。

目次
セラミックと金歯の特徴
まずは材料の特徴についてお話したいと思います。
金歯に関しては、金属加工によって製作される材料で歴史の古くから歯の治療に用いられたと言われます。
セラミックについては19世紀から登場し、当初は材料が脆く実用が難しかったようですが近年では天然の歯と同じくらいの強度を伴い、長期的に安定して用いられる材料となっています。
※ここでお話する「セラミック」ですが100%のオールセラミックについて記載しています。
たまに間違われる方がいるのですが、「ハイブリッドセラミック(ハイブリッドレジン)」とは違います。詳しい材料の説明に関してはこちらをご覧ください☟
虫歯の治療方法と、その費用と回数は?
・セラミックのメリット・デメリット
実はセラミックには種類があり、歯医者によって扱うセラミックが違う場合もあります。
現在使われるものを説明すると、1つは「e.max(イーマックス)」こちらはガラスセラミック系の材料で、歯科技工士がセラミックを焼き固めて製作します。歯と同等の強度を持ち、美観性に優れた材料とされます。
もう1つは「セレック」こちらは長石系のセラミックで、CAD/CAMシステムと言ってコンピューターと製作マシンを使い製作します。強度はe.amxに劣りますが、最短1度の来院で治療を終えることが出来る特徴があります。
歯医者によって扱うセラミックに違いがある場合があります。通院中の歯医者で確認するのがいいと思いますが、今回は一般的な「オールセラミック」のメリット・デメリットとして説明します。
【セラミックのメリット】
・審美性に優れる
・アレルギーの心配がない
・変色や劣化がない
・汚れが付きにくい
【セラミックのデメリット】
・衝撃で割れてたり、欠けたりすることがある
・金歯に比べ歯の削る範囲が多い

・金歯(ゴールド)のメリット・デメリット
金歯は「金(ゴールド)」を主な成分とした材料を言います。
純粋な「金」のみではなく「金合金」という別の種類の金属との混合物となります。ここでは割愛しますが、その方が歯に使う場合に優れているからです。
聞いたことがあるかもしれませんが、18K、14Kなど金の含有量によって分けられています。もちろんですが、金の含有量が高ければ値段が上がります。
つまり治療費が高くなるという事です。逆に言うと、金を使っていて安い場合は注意が必要という事ですね。
また一般的に「金歯」といっても、歯医者さんによっては「白金加金」といって、プラチナ(白金)を加えた材料を使っている場合もあります。こちらは他に「PGA」とも呼ばれます。
どの金合金を使うか?
これはその歯科医院の先生によって違います。その担当医が良いと思う金合金を使いますので、気になる場合は聞いてみるのもいいかもしれません。ただ、あまりにも金の含有量の低い不適当なもの。または安いまがい物を使っていなければ、どれが優れているという事ではありません。それよりも、取り扱う担当医の腕であったり、実際に製作する歯科技工士の腕による精度の方が重要だったりします。こちらに関しては後の記事で触れたいと思います。
一般的に言われる金歯のメリット・デメリットは
【金合金のメリット】
・耐久性が高い(壊れることがない)
・歯を削る量が少ない
・アレルギーは少ない
【金合金のデメリット】
・金色なので審美的にはよくない
・金の相場で値段が変わる場合がある

・セラミックと金歯の比較
セラミックと金歯の利点、欠点を比較して簡単にまとめてみます。
金歯の一番の欠点は「見た目」です。どうしても金色に光ってしまうので、お口の中でも上の歯や奥歯の見えにくい場所に使う分にはいいですが、笑った時に見える範囲に金歯が入っていると、目立ちやすい傾向にはあります。それに比べ、セラミックは歯と同じ色の白い材料ですので、どこに使用しても目立ちにくいです。
そして一般的に良く言われる金歯の優れている所は、「耐久性」です。金属材料はすり減ることはあっても、壊れることはありません。どういうことかと言うと、金属という物体の性質としてどんなに強い力がかかったとして、変形することはあっても折れたり破壊されることはほとんどありません。それに比べ、セラミックは強い衝撃に対して、欠けたり割れたりすることがあります。そのために、噛む力が強い人や、歯ぎしりをする人は金歯がいいと言われる理由となります。
しかし、これは絶対に悪いとも言い切れません。なぜかというと、その歯に過大な力がかかった時に代償として割れてくれる場合もあります。壊れない材料を使うという事は、材料は壊れなくても、歯が壊れる可能性があるという事です。材料が割れた場合は、まだ替えがききますが、歯が割れてしまった場合は、最悪の場合は抜歯になるかもしれません。

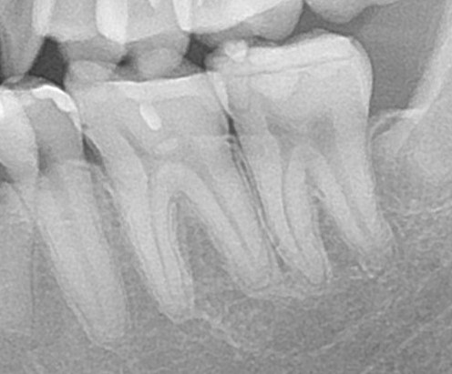
☝残った歯に亀裂がはしっている。(ヒビが入って割れている)
あと忘れてはいけないのは、「歯の削る量」です。
比較するとセラミックの方が歯を削る量は多くなります。金属は物性として薄く製作しても壊れるという心配はありません。それに比べ、セラミックは最低限の厚みを確保する必要があります。そうしないと欠けたり、割れたりするからです。そのためにセラミックの厚さ分、歯を削る必要があります。
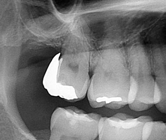
例えばという事で、クリニックにあった詰め物の厚みを計測してみると。(※全てがこの厚みではありません)


☝金属の詰め物の断面:この場合、厚さが0.3~0.4mm


☝セラミックの詰め物:この場合、厚さが1.3mm
セラミックの場合、材料の厚みの基準が決められており、薄い場合は割れてしまう可能性が高くなります。

セラミック材料の説明書を見てみると、最低限1mm前後の厚みを確保する必要がある。
※ちなみにCAD/CAMというレジン材料の場合、もう少し歯を削る必要がある場合もあります。
保険の材料で白い詰め物であるレジン・CAD/CAMを選択した場合、銀歯より、より歯を削る必要があります。
ただ、間違えていけないのは「歯を削らない=正義(正しい)」という事にはなりません。
ネットからの情報を信じすぎて、
「歯を削らない方がいいって聞きました。なるべく歯を削りたくないです」
と、かたくなに歯を削ることを嫌がる方がいます。
そのせいで、「虫歯を削らずに薬で治す」や「レーザーで治す」など、より歯が悪くなる可能性のある治療方法を選択する方も多くいらっしゃいます。
上記の説明書を見ても分かりますが、医学的な根拠を元に、世界的な基準で、現在世界的に用いられている治療方法です。適切に削って治療をすることで、その歯を長持ちさせることが可能となります。
あくまで、金歯とセラミックを比較しての「差」というだけです。
セラミックと金歯はどちらがいい?おすすめ
「結局、何を選べばいいの?」
というところでしょうか。ここからは、私がおすすめする、また実際に患者さんにお話ししている内容を説明していきます。
・第一選択肢としてセラミック
迷った方は、セラミックを選択してはいかがでしょうか?もし強い歯ぎしりがあるからという理由で金歯を選択する場合、金歯もすり減る可能性はあります。そもそも歯ぎしりに関してはナイトガードというマウスピースを使用する方が治療の選択肢として正しいように思います。
また、もしセラミックが割れてしまった場合、次は金歯を使うという選択もあります。(※詰め物の保証内容をしっかり確認しておきましょう。)
実はセラミックの扱いは担当医の技術力によって予後に差があります。海外の論文を見ると、e.max(セラミック)の10年以上の成功率は90%を超えています。しかし、保険治療の延長で施術される日本では5年以内に割れる、壊れるといった不具合が多い特徴があります。セラミックの扱いが下手な先生に治療されると割れます。しかし、しっかりと施術してくれる先生の場合は予後は良いです。審美的にも第一選択になるのがセラミックと思います。
・金歯を使用しない方が良いケース
逆に金歯を使わない方が良い場合もあります。
それは、噛む相手の歯にジルコニアが入っている場合です。ジルコニアは人工ダイヤモンドとも呼ばれ、歯よりも硬いのが特徴です。金歯とジルコニアが毎日擦れた場合、金歯は痛んでしまう可能性が高いです。
最近ではジルコニアによる治療がされることが多く、既にお口の中にジルコニアが多く入っている方が多くいます。(ここではジルコニアについて説明は割愛しますが、セラミックが割れることが多い(技術力が無い)歯医者は安易にジルコニアを勧めます。そのような歯医者が現在とても多いです。)
あまり材料の性質を理解していない歯医者で治療をされた場合、噛み合わせを確認せずに材料だけ患者さんに選ばせることが多いです。注意が必要です。
・金歯を入れる際に必要な処置
金歯のインレー(部分的な詰め物)を入れる際に必要な追加処置があります。それは「バーニッシュ」と言い、延びる性質のある金を歯になじませる作業です。「マジックマージン」とも呼ばれ、金の利点を最大限利用した修復となります。と、私も考えています。
実は、ほとんどの歯医者でこの処置がされません。理解した上でやらないという先生もいるかもしれませんが、大半が面倒だからやらないということです。(※保険治療をメインで行う歯医者は、時間がないので処置を端折られることが多いです)
金の性質を熟知していて、患者さんの大切な歯を長持ちさせてあげたいと考えている先生はやってくれていると思います。
ゴールドインレーを入れる際には、バーニッシュしてもらえるか担当医に聞いてみてはいかがでしょうか?
自費で歯を治療する上で一番重要なこと
・どちらにせよ担当医と技工士の腕次第
正直なお話をすると、歯の詰め物の持ちは、担当医の技術力によって変わります。
多くの日本の方は「歯医者はどこへ行ってもそう変わらない」と思っていることが多く、今通っている歯医者へ行ったきっかけが、「近所だから(家から近いから)」という理由で行っている方が非常に多いです。
日本では医療費が国民保険制度でまかなわれているため、どこの歯医者さんも、「虫歯1本治すと〇〇円」と報酬が決められています。
つまり、腕のいい歯医者も、腕の悪い歯医者も、先生の報酬は一緒という事です。
そのため、免許を取ってから技術の向上に努め勉強する歯医者と、まったく勉強をしない歯医者の両極に分かれます。
また元々、器用な人、不器用な人がいるのは事実です。
Q.「えっ、腕の悪い歯医者がいるんですか?」
A.「物凄い沢山います」
残念ながら患者さんは先生の腕の良し悪しは分かりません。
お口の中という環境は、詰め物の状態を自分でチェックするのが難しいことや、もし何かトラブルがあったとしても、数年後に発症することが多く、その時期には責任の所在があいまいになっています。
当院では自由診療での診療方針を取っているために、保険治療では治らなかった方々が全国からお越しいただきます。
ですので、現に当院には前医でのトラブル患者さんが大勢いらっしゃいます。
例えば、
・セラミックインレーがずれて付けられている
先日、セラミックインレーで治療をしてもらうも違和感があるという患者さん。


奥歯の2本の歯にセラミックインレーが入っている。
患者さんは、セラミックが浮いて合っていない感じがすると訴えている。
エックス線写真(レントゲン)で確認してみると、


歯とインレーの間に隙間や、ズレを認める。
担当医でやり直しはしてもらえず、当院で再治療を行う。
こちらは歯科医師の技術力による不具合。
・ジルコニアインレーが合っていない
ジルコニアインレーを入れてもらうも、歯ブラシが引っかかり、冷たいものがしみて痛いという患者さん。

一番奥の歯に白いジルコニアインレーが入っている。
エックス線写真で歯の中を検査してみると、


ジルコニアインレーが大きく作られており、歯との間に隙間が出来ている。ここに歯ブラシの毛先が引っかかり、冷たいものが入ると痛む原因。
こちらは担当医と、製作した歯科技工士の技術力による不具合。
さらに、治療のためにジルコニアを外してみると、

ジルコニアインレーの下に虫歯が残っている。
つまり、腕の悪い歯医者でも「セラミック」や「金歯」の取り扱いがあり、患者さんが選べば自費で治療が受けられるという事です。
詰め物、被せ物の人工歯を製作する歯科技工士も、歯医者同様に、技術力つまり腕に違いがあり、作られた歯のクオリティーに違いがあります。
・セラミックや金歯を入れようが、虫歯になる人は虫歯になる
セラミックや金歯の利点として「虫歯になりにくい」「汚れが付きにくい」という利点があります。
しかし、あくまで「銀歯」と比較して虫歯になりにくいと言っているだけであって、「虫歯にならない」とは言っていません。
実際に、セラミックでも金歯でも虫歯になっているケースは多くあります。
こちらに関しては別のブログでも紹介しています
☞ゴールドインレー(金合金)が虫歯?その原因は?
☞金歯(ゴールドインレー)の虫歯
正直なところ、残念ですが虫歯の治療をしなくてはいけないということは、「虫歯になる人」という事が言えます。
虫歯にならない人は、虫歯になりません。
虫歯が見つかり、虫歯の治療をするという時点で普段の生活習慣を見直し、改善しなくては、再度虫歯になるという事です。
「いい材料を使えば、虫歯の心配はなくなって安心!」と都合の良い話にはなりません。
虫歯にならないようにするには?
こちらも別の記事で記載がありますので是非知識としてご理解ください
☞歯医者へ行くたびに虫歯が見つかる(解決法‼) どこよりも分かる虫歯の解説
《まとめ》
いかがでしたでしょうか?余計悩んでしまったようでしたら申し訳ありません。しかし、しっかりと理解した上で、信頼できる先生に治療してもらうことがとても大切となります。もし失敗されてしまった場合、時間と、お金と、精神的にも大きな負担がかかります。そして大切なことは、歯は削ってしまうと元に戻らないという事を忘れてはいけません。安易に歯を削る歯医者が日本にはたくさんいます。日本の制度では歯を削らないと歯医者はお金をもらえません。説明もなくいきなり治療が始まる先生は特に注意が必要です。不安を感じた場合は別の歯医者に転院することも大切です。治療の途中でも問題ありません。
少しでも歯の大切さを理解してもらえることを願っています。
ここまでお読みいただきありがとうございます。
もし他にも分からないこと、歯の治療で気になること、質問などがありましたらブログでコラム記事として解説させていただきます。
✉dental.atelier.j@gmail.com までご連絡ください。
※現在他院通院中で治療の個人的な悩みに関しては当然ながら診療報酬が発生しますので、ご予約をお願いいたします。
当院ではセカンドオピニオンを推奨しています。
お気軽にご相談ください。≫こちら
「デンタルアトリエ自由が丘歯科」小笠原院長の書籍

『歯のトリセツ』
誰もが嫌いな歯の治療。虫歯になる人には共通点があります。基本的な「歯」の扱い方がわかる1冊。あなたの歯の取扱説明書です。
書籍購入のURLはこちら>>>https://amzn.to/2ISey4G

『ホワイトニングはまだやるな!』
ネックになりやすい治療費の話も含め、一般の目線に立って、実践できる歯の守り方、歯医者との向き合い方を具体的に解説してくれる一冊です。
書籍購入のURLはこちら>>>https://amzn.to/3aFwYif
当院の治療の内容が動画で見られます≫デンタルアトリエYoutubeチャンネル
・公式ホームページ
・アメブロ
デンタルアトリエ自由が丘歯科
自由が丘駅から徒歩3分
世田谷区奥沢-30-8-2F
診療時間9:30~18:00
☎03-6715-6603
この記事の作成者