虫歯

むし歯の症例

  • Before
    After

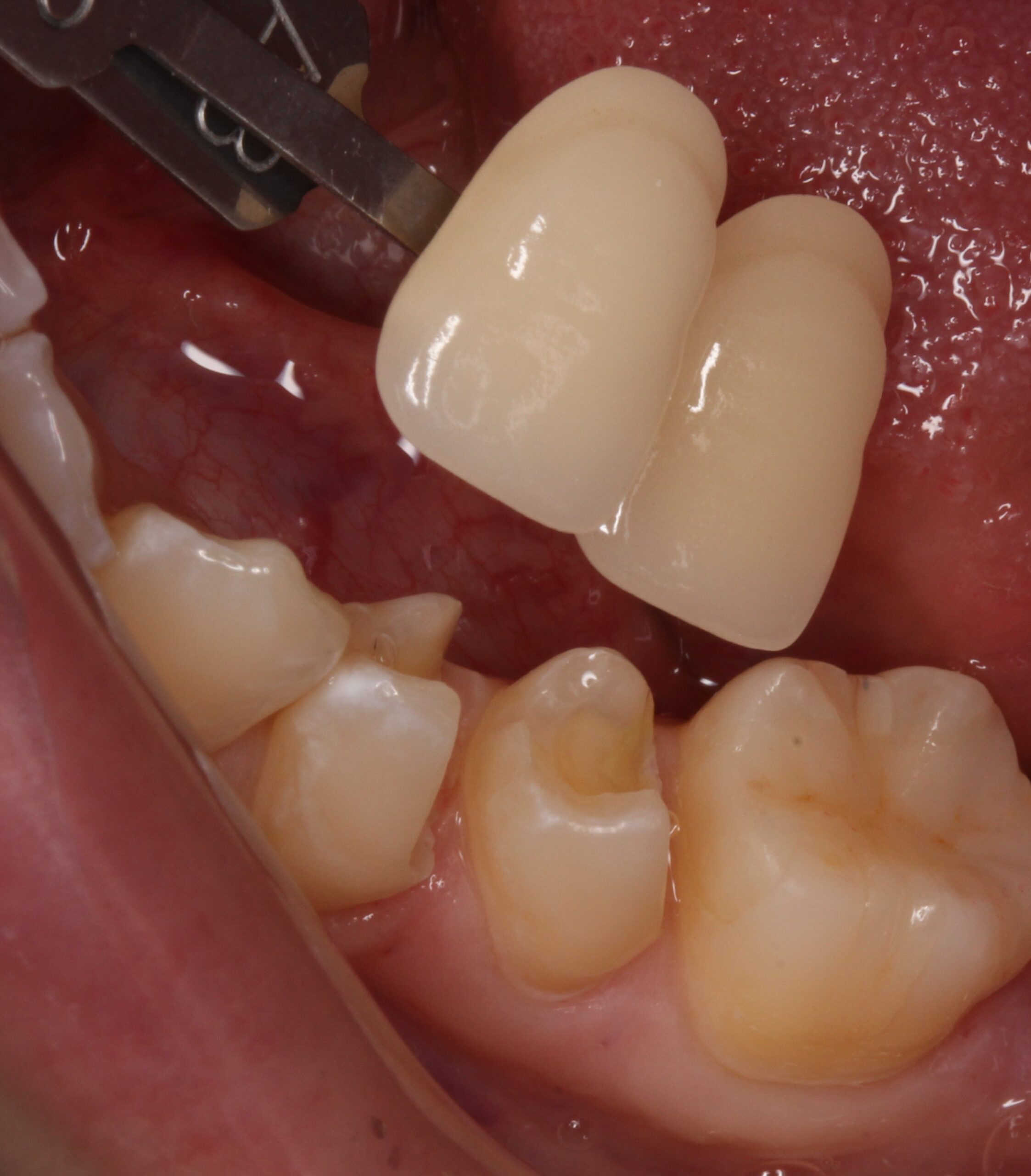
    ドックスベストセメントの中が虫歯だらけ。ドックスベスト治療の失敗?

  • Before
    After

    銀歯が取れたままの状態。虫歯をちゃんと治したい。

  • Before
    After

    ゴールドインレー(金合金)が虫歯?その原因は?

  • Before
    After

    ハイブリッドインレーの詰め物に隙間⇒セラミックインレーで改善

  • Before
    After

    レジンの中の虫歯。セラミック治療30代女性

  • Before
    After

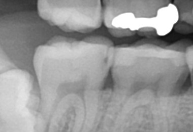
    銀歯が取れた原因は?実は銀歯の中で虫歯が進行していました。

  • Before
    After

    歯に黒い線がある。虫歯?20代男性

  • Before
    After

    レジンの中で虫歯が進行している?20代女性。

  • Before
    After

    ダイレクトボンディングで虫歯修復 20代男性

  • Before
    After

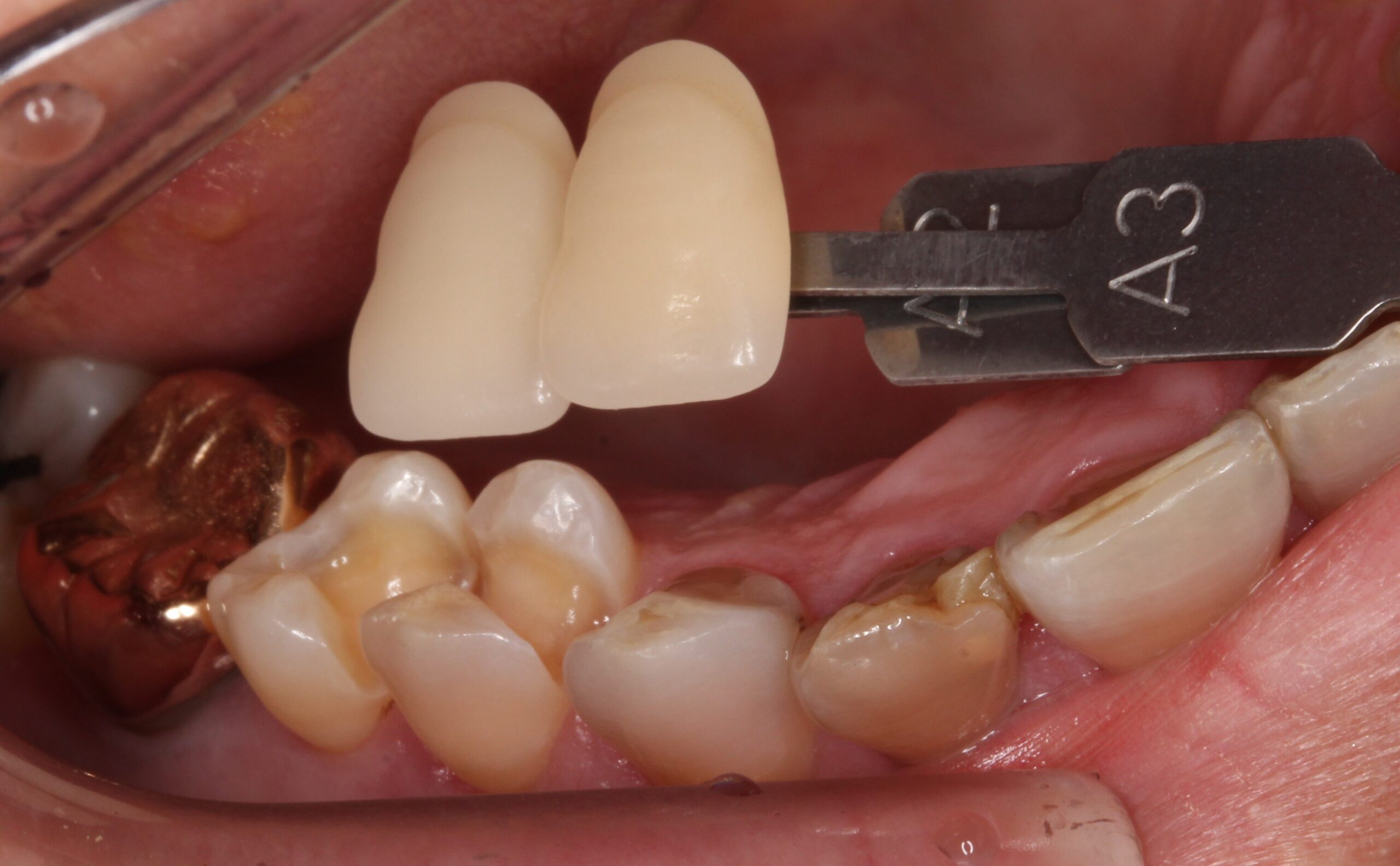
    銀歯の虫歯の原因は?40代女性

  • Before
    After

    治した歯がフロスで引っかかる

  • Before
    After

    虫歯の治療方法と、その費用と回数は?

ご予約・お問合せ

dentalatelierロゴ

デンタルアトリエ自由が丘歯科

03-6715-6603
平日9:30-13:00 / 14:30-18:00 9:30-13:00 / 14:30-17:00 水日祝休診

〒158-0083
東京都世田谷区奥沢5丁目30−8
アプロード自由が丘 2階

診療時間
【水日祝】休診
【土】は17時まで

電車電車でお越しの場合

東急東横線・大井町線
「自由が丘駅」南口or北口(正面口)
より徒歩3分

お車お車でお越しの場合

  • 環七通りからは、柿の木坂陸橋を右左折し、目黒通り⇒学園通りへ、or南千束(長原陸橋)を右左折し、中原街道⇒学園通りへ
  • 環八通りからは、等々力不動前(等々力不動陸橋)を右左折し等々力通りへ、o玉川田園都市を右左折し学園通りへ

※駐車場はございませんので、自由が丘駅周辺の有料駐車場をご利用ください